ADGB Polyclonal antibody

ADGB Polyclonal Antibody for WB, IHC, IF-P, ELISA
Cat No. 31756-1-AP

Host / Isotype

Rabbit / IgG

Reactivity

human, mouse, rat

Applications

WB, IHC, IF-P, ELISA

C6orf103, Androglobin, Calpain 7 like protein, Calpain-7-Like Protein, CAPN7L

Formulation:  PBS, Azide, Glycerol
PBS, Azide, Glycerol
Conjugate:  Unconjugated
Unconjugated
Size/Concentration: 

-/ -

Freight/Packing: -

Quantity

Please visit your regions distributor:


Tested Applications

Positive WB detected inA431 cells
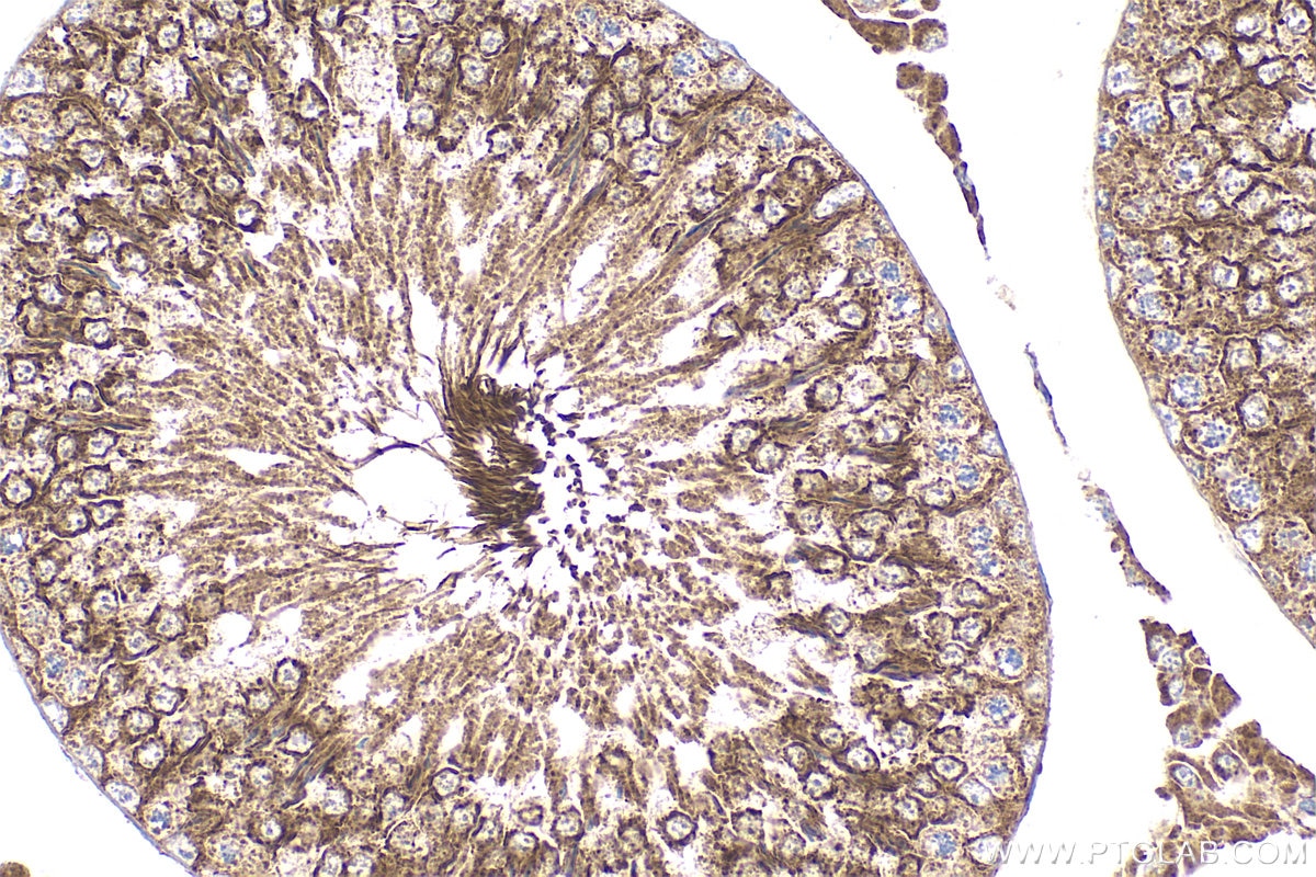
Positive IHC detected inrat testis tissue, mouse testis tissue
Note: suggested antigen retrieval with TE buffer pH 9.0; (*) Alternatively, antigen retrieval may be performed with citrate buffer pH 6.0
Positive IF-P detected inmouse testis tissue

Recommended dilution

ApplicationDilution
Western Blot (WB)WB : 1:500-1:1000
Immunohistochemistry (IHC)IHC : 1:50-1:500
Immunofluorescence (IF)-PIF-P : 1:50-1:500
It is recommended that this reagent should be titrated in each testing system to obtain optimal results.
Sample-dependent, Check data in validation data gallery.

Product Information

31756-1-AP targets ADGB in WB, IHC, IF-P, ELISA applications and shows reactivity with human, mouse, rat samples.

Tested Reactivity human, mouse, rat
Host / Isotype Rabbit / IgG
Class Polyclonal
Type Antibody
Immunogen

CatNo: Ag36246

Product name: Recombinant human C6orf103 protein

Source: e coli.-derived, PET28a

Tag: 6*His

Domain: 550-700 aa of NM_024694

Sequence: ETATHSQTDLSQITKATSQGNTASQVILGKGTDEQTDFGLGDAHQSDGLNLEREIVSQTTATQEKSQEELPTTNNSVSKEIWLDFEDFCVCFQNIYIFHKPSSYCLNFQKSEFKFSEERVSYYLFVDSLKPIELLVCFSALVRWGEYGAL

Predict reactive species
Full Name chromosome 6 open reading frame 103
Calculated Molecular Weight189kDa
Observed Molecular Weight235 kDa
GenBank Accession NumberNM_024694
Gene Symbol C6orf103
Gene ID (NCBI) 79747
Conjugate Unconjugated
FormLiquid
Purification MethodAntigen affinity Purification
UNIPROT IDQ8N7X0
Storage Buffer PBS with 0.02% sodium azide and 50% glycerol, pH 7.3.
Storage ConditionsStore at -20°C. Stable for one year after shipment. Aliquoting is unnecessary for -20oC storage. 20ul sizes contain 0.1% BSA.

Background Information

ADGB (Androglobin) is an evolutionarily conserved member of the globin protein family. It is specifically and highly expressed in spermatogenic cells (particularly sperm cells) of mammalian testes and in ciliated cells across various tissues. The ADGB protein possesses a unique structure, comprising a globin domain and a calmodulin-binding domain, suggesting its potential role in integrating gas (such as oxygen) sensing with calcium ion signaling functions. Current research indicates that ADGB plays a critical role in spermatogenesis within the male reproductive system, as well as in the formation and functional maintenance of cilia. Its functional deficiency may lead to abnormal sperm morphology and motility defects, thereby affecting male fertility. The target protein ADGB has a size of 235 kDa. This protein is unstable and prone to degradation, with degradation bands observed at 135 kDa, 70 kDa, and 55 kDa. (PMID: 36995441)

Protocols

Product Specific Protocols
IF protocol for ADGB antibody 31756-1-APDownload protocol
IHC protocol for ADGB antibody 31756-1-APDownload protocol
WB protocol for ADGB antibody 31756-1-APDownload protocol
Standard Protocols
Click here to view our Standard Protocols
Loading...
||
New chat

Able

正在加载,请稍候...