Tested Applications
| Positive WB detected in | A549 cells, mouse liver tissue, HepG2 cells, A431 cells |
| Positive IP detected in | HepG2 cells |
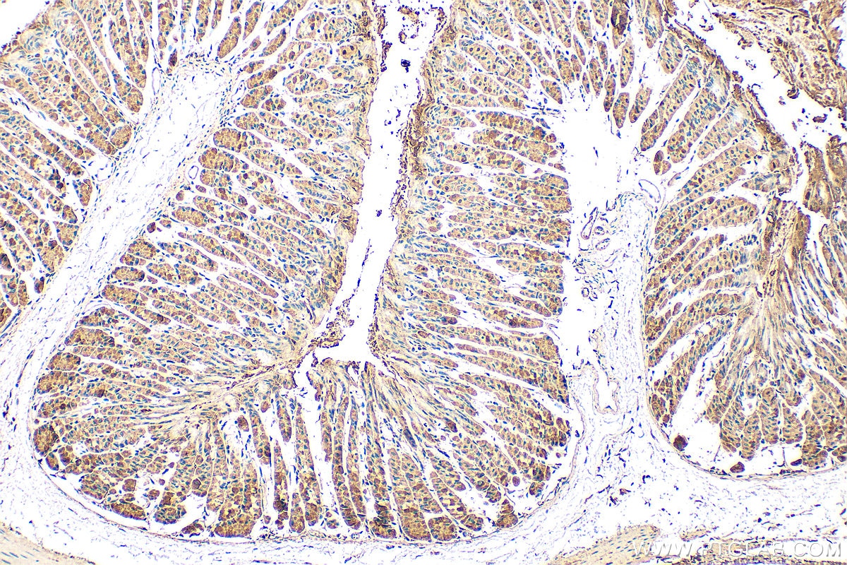
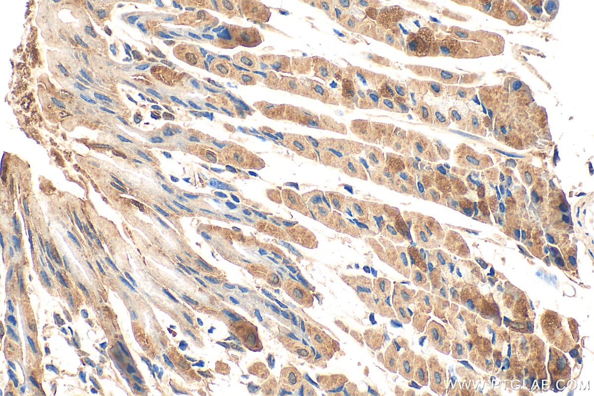
| Positive IHC detected in | mouse stomach tissue Note: suggested antigen retrieval with TE buffer pH 9.0; (*) Alternatively, antigen retrieval may be performed with citrate buffer pH 6.0 |
Recommended dilution
| Application | Dilution |
|---|---|
| Western Blot (WB) | WB : 1:1000-1:4000 |
| Immunoprecipitation (IP) | IP : 0.5-4.0 ug for 1.0-3.0 mg of total protein lysate |
| Immunohistochemistry (IHC) | IHC : 1:200-1:800 |
| It is recommended that this reagent should be titrated in each testing system to obtain optimal results. | |
| Sample-dependent, Check data in validation data gallery. | |
Published Applications
| KD/KO | See 2 publications below |
| WB | See 5 publications below |
| IHC | See 1 publications below |
Product Information
18252-1-AP targets AKR1B10 in WB, IHC, IP, ELISA applications and shows reactivity with human, mouse, rat samples.
| Tested Reactivity | human, mouse, rat |
| Cited Reactivity | human, mouse, rat |
| Host / Isotype | Rabbit / IgG |
| Class | Polyclonal |
| Type | Antibody |
| Immunogen |
CatNo: Ag13042 Product name: Recombinant human AKR1B10 protein Source: e coli.-derived, PGEX-4T Tag: GST Domain: 1-316 aa of BC008837 Sequence: MATFVELSTKAKMPIVGLGTWKSPLGKVKEAVKVAIDAGYRHIDCAYVYQNEHEVGEAIQEKIQEKAVKREDLFIVSKLWPTFFERPLVRKAFEKTLKDLKLSYLDVYLIHWPQGFKSGDDLFPKDDKGNAIGGKATFLDAWEAMEELVDEGLVKALGVSNFSHFQIEKLLNKPGLKYKPVTNQVECHPYLTQEKLIQYCHSKGITVTAYSPLGSPDRPWAKPEDPSLLEDPKIKEIAAKHKKTAAQVLIRFHIQRNVIVIPKSVTPARIVENIQVFDFKLSDEEMATILSFNRNWRACNVLQSSHLEDYPFDAEY Predict reactive species |
| Full Name | aldo-keto reductase family 1, member B10 (aldose reductase) |
| Calculated Molecular Weight | 316 aa, 36 kDa |
| Observed Molecular Weight | 35 kDa |
| GenBank Accession Number | BC008837 |
| Gene Symbol | AKR1B10 |
| Gene ID (NCBI) | 57016 |
| RRID | AB_2878524 |
| Conjugate | Unconjugated |
| Form | Liquid |
| Purification Method | Antigen affinity purification |
| UNIPROT ID | O60218 |
| Storage Buffer | PBS with 0.02% sodium azide and 50% glycerol, pH 7.3. |
| Storage Conditions | Store at -20°C. Stable for one year after shipment. Aliquoting is unnecessary for -20oC storage. 20ul sizes contain 0.1% BSA. |
Background Information
Aldo-keto reductase family 1 member B10 (AKR1B10) is a member of the AKR1B subfamily. It is mainly found in cytoplasm, and it is typically expressed in the stomach and intestines. Given that its expression is low or absent in other tissues, AKR1B10 is a potential diagnostic and therapeutic biomarker for various digestive system diseases.
Protocols
| Product Specific Protocols | |
|---|---|
| IHC protocol for AKR1B10 antibody 18252-1-AP | Download protocol |
| IP protocol for AKR1B10 antibody 18252-1-AP | Download protocol |
| WB protocol for AKR1B10 antibody 18252-1-AP | Download protocol |
| Standard Protocols | |
|---|---|
| Click here to view our Standard Protocols |
Publications
| Species | Application | Title |
|---|---|---|
Cell Death Dis Matrix stiffness regulates glucose-6-phosphate dehydrogenase expression to mediate sorafenib resistance in hepatocellular carcinoma through the ITGB1-PI3K/AKT pathway | ||
J Pharmacol Exp Ther Mechanistic Analysis of an Extracellular Signal-Regulated Kinase 2-Interacting Compound that Inhibits Mutant BRAF-Expressing Melanoma Cells by Inducing Oxidative Stress. | ||
NPJ Precis Oncol Dual tissue mRNA and serum protein signatures improve risk stratification in hepatocellular carcinoma.
| ||
Front Biosci (Landmark Ed) Aldo-keto Reductase 1B10 (AKR1B10) Suppresses Sensitivity of Ferroptosis in TNBC by Activating the AKT/GSK3β/Nrf2/GPX4 Axis | ||
Hypertension Mild Hyperuricemia Attenuates Salt-Sensitive Hypertension and Kidney Damage. | ||
J Ethnopharmacol Berberine directly targets AKR1B10 protein to modulate lipid and glucose metabolism disorders in NAFLD
|
Reviews
The reviews below have been submitted by verified Proteintech customers who received an incentive for providing their feedback.
FH Shinford (Verified Customer) (10-26-2023) | In tissues, we detected bands at different positions, but in cancer cell lines, the bands appeared notably clearer. The optimal concentration was determined to be higher, specifically at 1:1000.
![]() |












