Tested Applications
| Positive WB detected in | HeLa cells, L02 cells, mouse brain tissue, mouse kidney tissue, mouse liver tissue, NIH/3T3 cells, rat liver tissue, HepG2 cells, rat kidney tissue |
| Positive IP detected in | L02 cells |
| Positive IHC detected in | mouse brain tissue, human liver tissue, human testis tissue Note: suggested antigen retrieval with TE buffer pH 9.0; (*) Alternatively, antigen retrieval may be performed with citrate buffer pH 6.0 |
| Positive IF/ICC detected in | hTERT-RPE1 cells, NIH3T3 cells, MDCK cells |
Recommended dilution
| Application | Dilution |
|---|---|
| Western Blot (WB) | WB : 1:2000-1:10000 |
| Immunoprecipitation (IP) | IP : 0.5-4.0 ug for 1.0-3.0 mg of total protein lysate |
| Immunohistochemistry (IHC) | IHC : 1:50-1:500 |
| Immunofluorescence (IF)/ICC | IF/ICC : 1:200-1:800 |
| It is recommended that this reagent should be titrated in each testing system to obtain optimal results. | |
| Sample-dependent, Check data in validation data gallery. | |
Published Applications
| KD/KO | See 14 publications below |
| WB | See 100 publications below |
| IHC | See 39 publications below |
| IF | See 785 publications below |
| IP | See 3 publications below |
Product Information
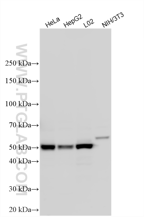
17711-1-AP targets ARL13B in WB, IHC, IF/ICC, IP, ELISA applications and shows reactivity with human, mouse, rat, canine samples.
| Tested Reactivity | human, mouse, rat, canine |
| Cited Reactivity | human, mouse, rat, pig, canine, monkey, chicken, zebrafish, sheep, xenopus |
| Host / Isotype | Rabbit / IgG |
| Class | Polyclonal |
| Type | Antibody |
| Immunogen |
CatNo: Ag12015 Product name: Recombinant human ARL13B protein Source: e coli.-derived, PGEX-4T Tag: GST Domain: 1-321 aa of BC094725 Sequence: MFSLMASCCGWFKRWREPVRLANKQDKEGALGEADVIECLSLEKLVNEHKCLCQIEPCSAISGYGKKIDKSIKKGLYWLLHVIARDFDALNERIQKETTEQRALEEQEKQERAERVRKLREERKQNEQEQAELDGTSGLAELDPEPTNPFQPIASVIIENEGKLEREKKNQKMEKDSDGCHLKHKMEHEQIETQGQVNHNGQKNNEFGLVENYKEALTQQLKNEDETDRPSLESANGKKKTKKLRMKRNHRVEPLNIDDCAPESPTPPPPPPPVGWGTPKVTRLPKLEPLGETHHNDFYRKPLPPLAVPQRPNSDAHDVIS Predict reactive species |
| Full Name | ADP-ribosylation factor-like 13B |
| Calculated Molecular Weight | 48 kDa |
| Observed Molecular Weight | 40-48 kDa, 60 kDa |
| GenBank Accession Number | BC094725 |
| Gene Symbol | ARL13B |
| Gene ID (NCBI) | 200894 |
| RRID | AB_2060867 |
| Conjugate | Unconjugated |
| Form | Liquid |
| Purification Method | Antigen affinity purification |
| UNIPROT ID | Q3SXY8 |
| Storage Buffer | PBS with 0.02% sodium azide and 50% glycerol, pH 7.3. |
| Storage Conditions | Store at -20°C. Stable for one year after shipment. Aliquoting is unnecessary for -20oC storage. 20ul sizes contain 0.1% BSA. |
Background Information
ARL13B, also named ARL2L1, is the Ras superfamily's small ciliary G protein. Localized in the cilia, it is required for cilium biogenesis and sonic hedgehog signaling. Defects in ARL13B cause Joubert syndrome (JS), an autosomal recessive disorder characterized by a distinctive cerebellar malformation (PMID: 19906870). This antibody detects two specific bands at 60 kDa and 48 kDa. Arl13b is predicted to be a 48 kDa protein, and the 60 kDa band will likely represent a modified form of Arl13b. ARL13B can be used to mark the cilia (PMID:22072986).
Protocols
| Product Specific Protocols | |
|---|---|
| IF protocol for ARL13B antibody 17711-1-AP | Download protocol |
| IHC protocol for ARL13B antibody 17711-1-AP | Download protocol |
| IP protocol for ARL13B antibody 17711-1-AP | Download protocol |
| WB protocol for ARL13B antibody 17711-1-AP | Download protocol |
| Standard Protocols | |
|---|---|
| Click here to view our Standard Protocols |
Publications
| Species | Application | Title |
|---|---|---|
Nat Biotechnol Guided self-organization and cortical plate formation in human brain organoids. | ||
Nature Quantitative lineage analysis identifies a hepato-pancreato-biliary progenitor niche. | ||
Science Control of meiotic chromosomal bouquet and germ cell morphogenesis by the zygotene cilium. | ||
Nature A slow-cycling LGR5 tumour population mediates basal cell carcinoma relapse after therapy. | ||
Nature Aspm knockout ferret reveals an evolutionary mechanism governing cerebral cortical size. |
Reviews
The reviews below have been submitted by verified Proteintech customers who received an incentive for providing their feedback.
FH Zahra (Verified Customer) (02-11-2026) | This antibody has become a staple in our lab! It works well for IF and IHC, and we reorder it frequently.
|
FH Lola (Verified Customer) (10-23-2025) | This antibody works perfectly each time. I use it for immunofluorescence as well as expansion microscopy.
![]() |
FH Ludovic (Verified Customer) (12-10-2023) | The perfect antibody, works each time!
|
FH Gagan (Verified Customer) (07-02-2023) | Antibody gives good staining for cilia.
![]() |
FH Mi (Verified Customer) (05-29-2023) | An excellent antibody, it works pretty well in human white adipocytes!
|
FH Elisa (Verified Customer) (03-17-2023) | Great antibody for centrosome and cilia visualizationin RPE1 cells. Cells were fixed in cold methanol for 10' at -20C, rehydrated with PBS for 5', and permeabilized with 0.1% Triton + 0.1% Tween +0.01%SDS in PBS for 5'. Cells were finally incubated with blocking buffer (5% BSA+ 0.1% Tween in PBS) for 30' at RT. Primary antibody was diluted in blocking buffer 1:200 and incubated for 1h at room temperature. Alexa-555-Anti-rabbit was used as secondary antibody (1:600 dilution) (1h at room temperature). Image show Arl13b (in magenta), DNA (Hoechst in blue) and g-tubulin (in green).
![]() |
FH Serhiy (Verified Customer) (12-21-2022) | Excellent for immunofluorescent staining of ciliary Arl13b in mouse cells. Image shows ciliary axonemes immunostained for Arl13b (red).
![]() |
FH Kaviya (Verified Customer) (09-19-2022) | I use this antibody for IHC on brain tissue sections and it generally works well.
|
FH Charlotte (Verified Customer) (07-29-2022) | NIH-3T3 stained in DAPI (nucleus), FITC (gamma tubulin), Cy3 (Arl13b). The last picture is the merged channels (FITC and Cy3). On the merged channel, we can conclude that all Cy3 signal is validated by the FITC one (gamma tubulin is present at the base of the primary cilia). Perfect antibody !
![]() |
FH Sarah (Verified Customer) (02-16-2021) | Works beautifully in all cell types I've tried. Specifically great to see it work in primary cells (glioblastoma, pictured) as well as iPSCs
![]() |
FH deng (Verified Customer) (01-30-2020) | Very good for cilia staining
![]() |
FH Gabriela (Verified Customer) (01-01-2020) | Very specific antibody for primary cilia. We use it in chicken embryos spinal cord.
|
FH KARTHIKEYAN (Verified Customer) (11-20-2019) | This antibody works really well in human and mouse cell lines and in zebrafish samples, we used this antibody for WB, IF and Flow cytometry.
![]() |
FH Rebeca (Verified Customer) (09-26-2019) | I have used this antibody for several immunofluorescence stainings of primary cilia. The antibody works beautifully, would definitely recommend!
|
FH Pavel (Verified Customer) (09-18-2019) | Strong ciliary staining in MDCK cells. Works both with PFA and MeOH fixation.
|
FH Lindsey (Verified Customer) (02-04-2019) | Excellent specificity with minimal background/nonspecific binding; This antibody is ideal because it works just as well in embryonic mouse tissue as it does in adult. I couldn't recommend this product more!
![]() |
FH Kishor (Verified Customer) (01-30-2019) | I am very much satisfied with this produced, working good for WB (1:1000) and for IF (1:200)
|


























































