Tested Applications
| Positive WB detected in | human heart tissue, fetal human brain tissue, HeLa cells, Caki-1 cells, human skeletal muscle tissue, TF-1 cells, Rabbit heart tissue, Pig heart tissue |
| Positive IHC detected in | human liver cancer tissue Note: suggested antigen retrieval with TE buffer pH 9.0; (*) Alternatively, antigen retrieval may be performed with citrate buffer pH 6.0 |
| Positive IF/ICC detected in | HepG2 cells |
| Positive FC (Intra) detected in | HeLa cells |
Recommended dilution
| Application | Dilution |
|---|---|
| Western Blot (WB) | WB : 1:500-1:2000 |
| Immunohistochemistry (IHC) | IHC : 1:100-1:400 |
| Immunofluorescence (IF)/ICC | IF/ICC : 1:50-1:500 |
| Flow Cytometry (FC) (INTRA) | FC (INTRA) : 0.40 ug per 10^6 cells in a 100 µl suspension |
| It is recommended that this reagent should be titrated in each testing system to obtain optimal results. | |
| Sample-dependent, Check data in validation data gallery. | |
Published Applications
| WB | See 4 publications below |
Product Information
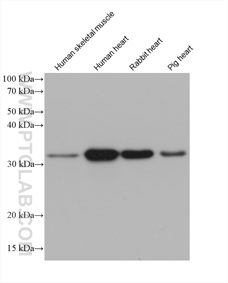
60284-1-Ig targets ATP5C1 in WB, IHC, IF/ICC, FC (Intra), ELISA applications and shows reactivity with human, pig, rabbit samples.
| Tested Reactivity | human, pig, rabbit |
| Cited Reactivity | human, zebrafish |
| Host / Isotype | Mouse / IgG2a |
| Class | Monoclonal |
| Type | Antibody |
| Immunogen |
CatNo: Ag1343 Product name: Recombinant human ATP5C1 protein Source: e coli.-derived, PGEX-4T Tag: GST Domain: 1-298 aa of BC000931 Sequence: MFSRAGVAGLSAWTLQPQWIQVRNMATLKDITRRLKSIKNIQKITKSMKMVAAAKYARAERELKPARIYGLGSLALYEKADIKGPEDKKKHLLIGVSSDRGLCGAIHSSIAKQMKSEVATLTAAGKEVMLVGIGDKIRGILYRTHSDQFLVAFKEVGRKPPTFGDASVIALELLNSGYEFDEGSIIFNKFRSVISYKTEEKPIFSLNTVASADSMSIYDDIDADVLQNYQEYNLANIIYYSLKESTTSEQSARMTAMDNASKNASEMIDKLTLTFNRTRQAVITKELIEIISGAAALD Predict reactive species |
| Full Name | ATP synthase, H+ transporting, mitochondrial F1 complex, gamma polypeptide 1 |
| Calculated Molecular Weight | 33 kDa |
| Observed Molecular Weight | 33 kDa |
| GenBank Accession Number | BC000931 |
| Gene Symbol | ATP5C1 |
| Gene ID (NCBI) | 509 |
| RRID | AB_2881402 |
| Conjugate | Unconjugated |
| Form | Liquid |
| Purification Method | Protein A purification |
| UNIPROT ID | P36542 |
| Storage Buffer | PBS with 0.02% sodium azide and 50% glycerol, pH 7.3. |
| Storage Conditions | Store at -20°C. Stable for one year after shipment. Aliquoting is unnecessary for -20oC storage. 20ul sizes contain 0.1% BSA. |
Background Information
ATP5C1(ATP synthase subunit gamma, mitochondrial) is also named as ATP5C, ATP5CL1 and belongs to the ATPase gamma chain family. Some scientists reported the complete sequence of the gene for the human ATP synthase gamma subunit and described tissue-specific isoforms of the subunit generated by alternative splicing of exon 9. The liver (L) isoform differed from the heart (H) isoform by the addition of a single amino acid (asp273) at the C terminus. (PMID:8227057).
Protocols
| Product Specific Protocols | |
|---|---|
| FC protocol for ATP5C1 antibody 60284-1-Ig | Download protocol |
| IF protocol for ATP5C1 antibody 60284-1-Ig | Download protocol |
| IHC protocol for ATP5C1 antibody 60284-1-Ig | Download protocol |
| WB protocol for ATP5C1 antibody 60284-1-Ig | Download protocol |
| Standard Protocols | |
|---|---|
| Click here to view our Standard Protocols |
Publications
| Species | Application | Title |
|---|---|---|
Nucleic Acids Res Ablation of Mto1 in zebrafish exhibited hypertrophic cardiomyopathy manifested by mitochondrion RNA maturation deficiency. | ||
Autophagy AKT-mediated phosphorylation of ATG4B impairs mitochondrial activity and enhances the Warburg effect in hepatocellular carcinoma cells. | ||
Nucleic Acids Res Deletion of Gtpbp3 in zebrafish revealed the hypertrophic cardiomyopathy manifested by aberrant mitochondrial tRNA metabolism. | ||
Nat Cell Biol Small heat shock proteins operate as molecular chaperones in the mitochondrial intermembrane space |



















