AWAT1 Polyclonal antibody

AWAT1 Polyclonal Antibody for WB, IHC, ELISA
Cat No. 24704-1-AP

Host / Isotype

Rabbit / IgG

Reactivity

human, mouse

Applications

WB, IHC, ELISA

DGA2, DGAT2L3

Formulation:  PBS, Azide, Glycerol
PBS, Azide, Glycerol
Conjugate:  Unconjugated
Unconjugated
Size/Concentration: 

-/ -

Freight/Packing: -

Quantity

Please visit your regions distributor:


Tested Applications

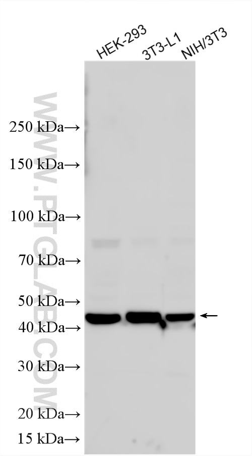
Positive WB detected inHEK-293 cells, 3T3-L1 cells, NIH/3T3 cells
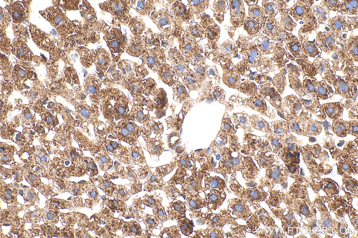
Positive IHC detected inmouse liver tissue
Note: suggested antigen retrieval with TE buffer pH 9.0; (*) Alternatively, antigen retrieval may be performed with citrate buffer pH 6.0

Recommended dilution

ApplicationDilution
Western Blot (WB)WB : 1:500-1:2000
Immunohistochemistry (IHC)IHC : 1:50-1:500
It is recommended that this reagent should be titrated in each testing system to obtain optimal results.
Sample-dependent, Check data in validation data gallery.

Product Information

24704-1-AP targets AWAT1 in WB, IHC, ELISA applications and shows reactivity with human, mouse samples.

Tested Reactivity human, mouse
Host / Isotype Rabbit / IgG
Class Polyclonal
Type Antibody
Immunogen

CatNo: Ag20183

Product name: Recombinant human AWAT1 protein

Source: e coli.-derived, PGEX-4T

Tag: GST

Domain: 134-195 aa of BC153034

Sequence: LATLSWFFKIPFVREYLMAKGVCSVSQPAINYLLSHGTGNLVGIVVGGVGEALQSVPNTTTL

Predict reactive species
Full Name acyl-CoA wax alcohol acyltransferase 1
Calculated Molecular Weight 328 aa, 38 kDa
Observed Molecular Weight45 kDa
GenBank Accession NumberBC153034
Gene Symbol AWAT1
Gene ID (NCBI) 158833
Conjugate Unconjugated
FormLiquid
Purification MethodAntigen affinity purification
UNIPROT IDQ58HT5
Storage Buffer PBS with 0.02% sodium azide and 50% glycerol, pH 7.3.
Storage ConditionsStore at -20°C. Stable for one year after shipment. Aliquoting is unnecessary for -20oC storage. 20ul sizes contain 0.1% BSA.

Background Information

AWAT1 is an ER-localized acyltransferase specialized for wax ester biosynthesis in sebaceous and meibomian glands. By esterifying long-chain fatty acyl-CoAs with fatty alcohols, AWAT1 generates crucial lipids that maintain skin barrier function, sebaceous secretion, and tear film stability. Dysregulation of AWAT1 contributes to meibomian gland dysfunction, dry eye disease, and sebaceous lipid imbalance, positioning AWAT1 as a key enzymatic regulator of surface lipid homeostasis.

Protocols

Product Specific Protocols
IHC protocol for AWAT1 antibody 24704-1-APDownload protocol
WB protocol for AWAT1 antibody 24704-1-APDownload protocol
Standard Protocols
Click here to view our Standard Protocols
Loading...
||
New chat

Able

正在加载,请稍候...