Tested Applications
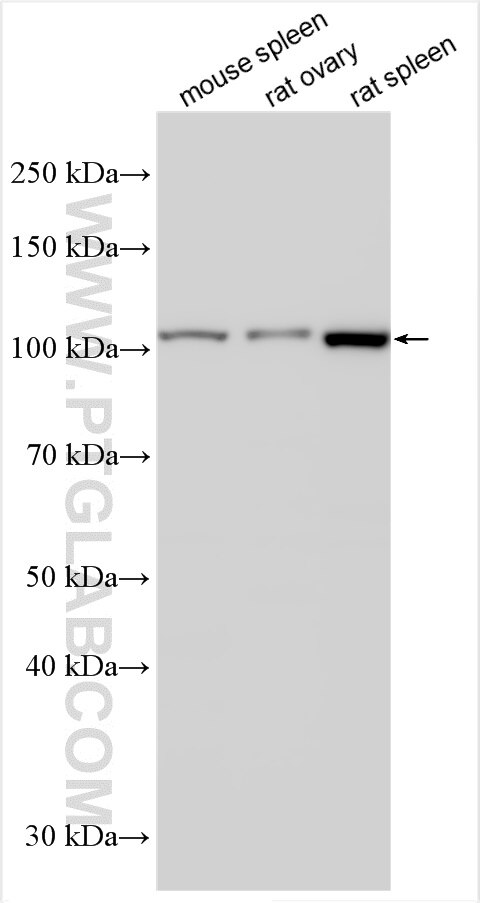
| Positive WB detected in | mouse spleen tissue, rat ovary tissue, rat spleen tissue |
Recommended dilution
| Application | Dilution |
|---|---|
| Western Blot (WB) | WB : 1:500-1:1000 |
| It is recommended that this reagent should be titrated in each testing system to obtain optimal results. | |
| Sample-dependent, Check data in validation data gallery. | |
Product Information
31148-1-AP targets C18orf34 in WB, ELISA applications and shows reactivity with Human, mouse, rat samples.
| Tested Reactivity | Human, mouse, rat |
| Host / Isotype | Rabbit / IgG |
| Class | Polyclonal |
| Type | Antibody |
| Immunogen |
CatNo: Ag33847 Product name: Recombinant human C18orf34 protein Source: e coli.-derived, PGEX-4T Tag: GST Domain: 1-350 aa of BC130535 Sequence: MTENKTVSSSSTRDDQTNIGLTCQEVKALREKAWSRTNEGNAMSQSLVLYGASKENSEGFHESKMTNTEGVNKGIYFSYPCRRHSCAVVNIPAPCVNKMISHIQDVESKIQEHLKRFETSFEEWSRTSSTKDLKEDWSVTTPVKEVKPGEKRDEKCPELKQEMETLLSEAIRLIKSLETDRADAEEALKQQRSRKNMINMKIDSWSVWKLQELPLAVQKEHEAYLSDVIELQWHLEDKANQLQHFEKQKTELEEANAKIQADIDYMNEHGPLLDSKQNQELQDLKNHYKKKMEVMDLHRKVNEELEEALEACENARLKAQQIKEEIDKDIYQDEKTIEAYKREIYQLNSL Predict reactive species |
| Full Name | chromosome 18 open reading frame 34 |
| Observed Molecular Weight | 95-102 kDa |
| GenBank Accession Number | BC130535 |
| Gene Symbol | C18orf34 |
| Gene ID (NCBI) | 374864 |
| RRID | AB_3669871 |
| Conjugate | Unconjugated |
| Form | Liquid |
| Purification Method | Antigen affinity Purification |
| UNIPROT ID | Q5BJE1 |
| Storage Buffer | PBS with 0.02% sodium azide and 50% glycerol, pH 7.3. |
| Storage Conditions | Store at -20°C. Stable for one year after shipment. Aliquoting is unnecessary for -20oC storage. 20ul sizes contain 0.1% BSA. |
Protocols
| Product Specific Protocols | |
|---|---|
| WB protocol for C18orf34 antibody 31148-1-AP | Download protocol |
| Standard Protocols | |
|---|---|
| Click here to view our Standard Protocols |

