Product Information
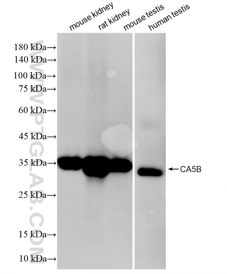
86996-1-PBS targets CA5B in WB, Indirect ELISA applications and shows reactivity with human, mouse, rat samples.
| Tested Reactivity | human, mouse, rat |
| Host / Isotype | Rabbit / IgG |
| Class | Recombinant |
| Type | Antibody |
| Immunogen |
CatNo: Ag4166 Product name: Recombinant human CA5B protein Source: e coli.-derived, PGEX-4T Tag: GST Domain: 1-317 aa of BC028142 Sequence: MVVMNSLRVILQASPGKLLWRKFQIPRFMPARPCSLYTCTYKTRNRALHPLWESVDLVPGGDRQSPINIRWRDSVYDPGLKPLTISYDPATCLHVWNNGYSFLVEFEDSTDKSVIKGGPLEHNYRLKQFHFHWGAIDAWGSEHTVDSKCFPAELHLVHWNAVRFENFEDAALEENGLAVIGVFLKLGKHHKELQKLVDTLPSIKHKDALVEFGSFDPSCLMPTCPDYWTYSGSLTTPPLSESVTWIIKKQPVEVDHDQLEQFRTLLFTSEGEKEKRMVDNFRPLQPLMNRTVRSSFRHDYVLNVQAKPKPATSQATP Predict reactive species |
| Full Name | carbonic anhydrase VB, mitochondrial |
| Calculated Molecular Weight | 317 aa, 36 kDa |
| Observed Molecular Weight | 32-35 kDa |
| GenBank Accession Number | BC028142 |
| Gene Symbol | CA5B |
| Gene ID (NCBI) | 11238 |
| Conjugate | Unconjugated |
| Form | Liquid |
| Purification Method | Protein A purification |
| UNIPROT ID | Q9Y2D0 |
| Storage Buffer | PBS only, pH 7.3. |
| Storage Conditions | Store at -80°C. |
Background Information
CA5B(Carbonic anhydrase 5B, mitochondrial) is also named as CA-VB and belongs to the alpha-carbonic anhydrase family.CA5B encodes a 317-amino acid protein that has 64% sequence similarity with CA5 (114761), a mitochondrial CA, and contains a 33-amino-acid residue signal sequence. Western blot analysis revealed a 36-kD protein precursor and a 32-kD mature protein (PMID:10409679).

