Anti-Human CD15 Rabbit Recombinant Antibody, PBS Only

CD15 Uni-rAb® Recombinant Antibody for IHC, FC
Cat No. 98616-1-PBS
Clone No.252342A1

Host / Isotype

Rabbit / IgG

Reactivity

human

Applications

IHC, FC

Lewis X, SSEA-1

Formulation:  PBS Only
PBS, Azide
PBS Only
Conjugate:  Unconjugated
Size/Concentration: 

-/ -

Freight/Packing: -

Quantity

Please visit your regions distributor:


Product Information

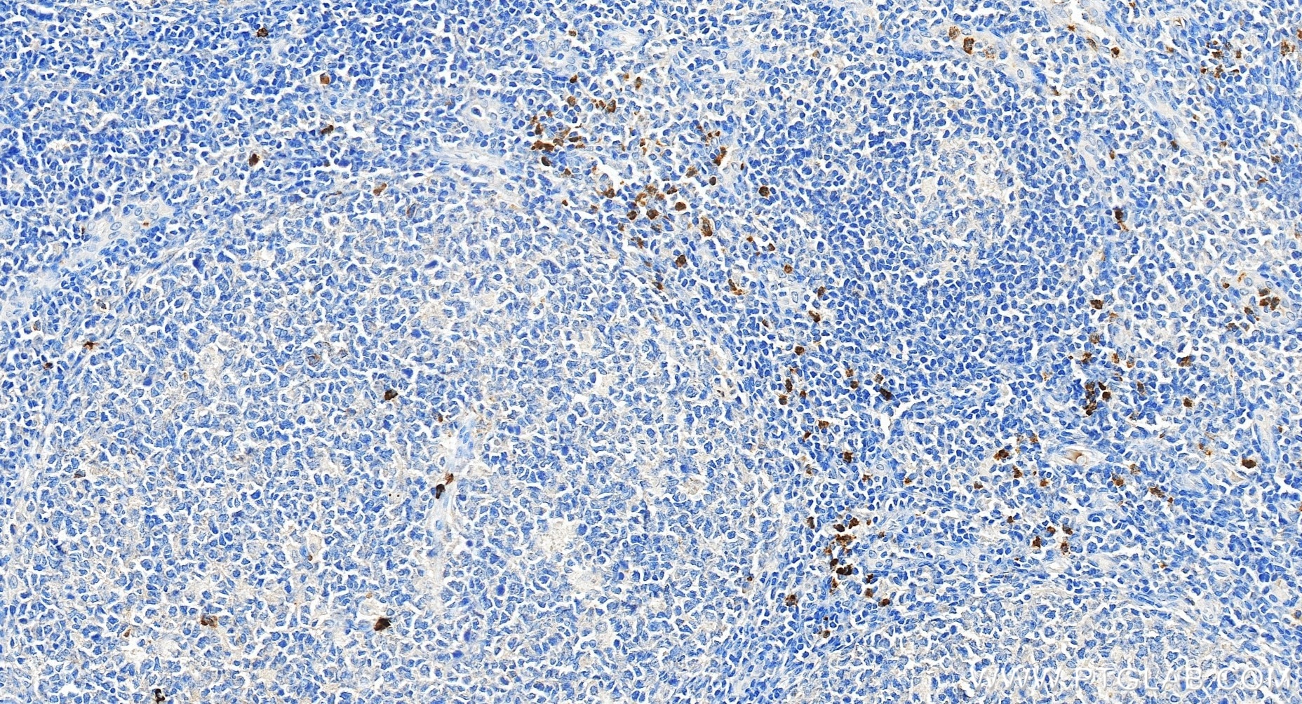
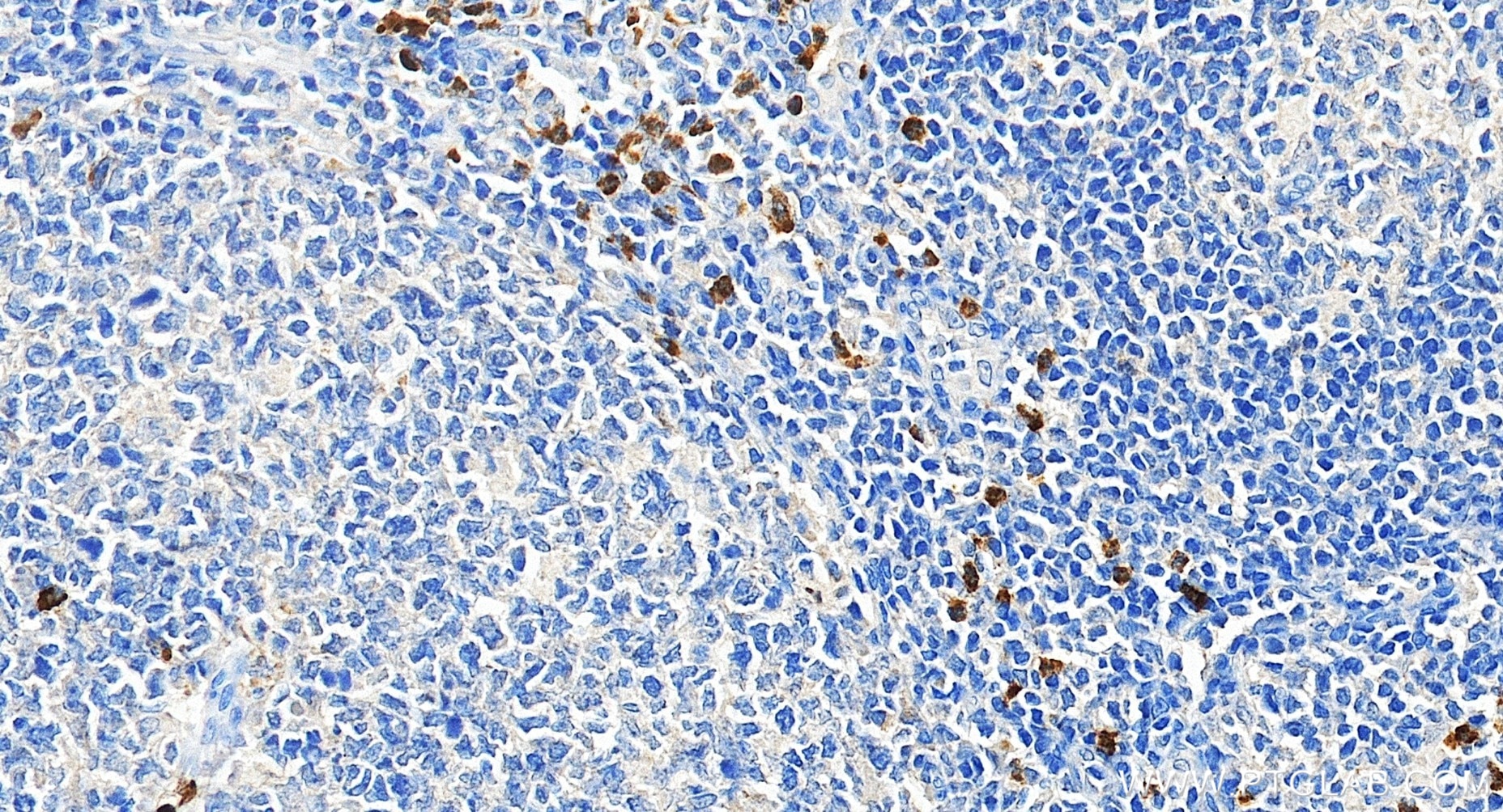
98616-1-PBS targets CD15 in IHC, FC applications and shows reactivity with human samples.

Tested Reactivity human
Host / Isotype Rabbit / IgG
Class Recombinant
Type Antibody
Immunogen

unknow

Predict reactive species
Full Name CD15
Gene Symbol
Gene ID (NCBI)
Conjugate Unconjugated
FormLiquid
Purification MethodProtein A purification
Storage Buffer PBS only, pH 7.3.
Storage ConditionsStore at -80°C.

Background Information

CD15, also known as stage-specific embryonic antigen-1 (SSEA-1) or Lewis X (LeX), is a cell surface glycan consisting of a trisaccharide with the structure Galβ1-4[Fucα1-3]GlcNAc (PMID: 18953356). CD15 is expressed on most terminally differentiated myeloid cells, including neutrophils, eosinophils, monocytes, macrophages, mast cells, and Langerhans cells. It has also been shown to be expressed on stem cells and progenitors in the embryonic and adult nervous system, Hodgkin's lymphoma cells, and cells from a variety of solid cancers (PMID: 19185848). CD15 acts as a ligand for selectins in transendothelial migration and is involved in phagocytosis and chemotaxis (PMID: 1362195).

Loading...
||
New chat

Able

正在加载,请稍候...