Tested Applications
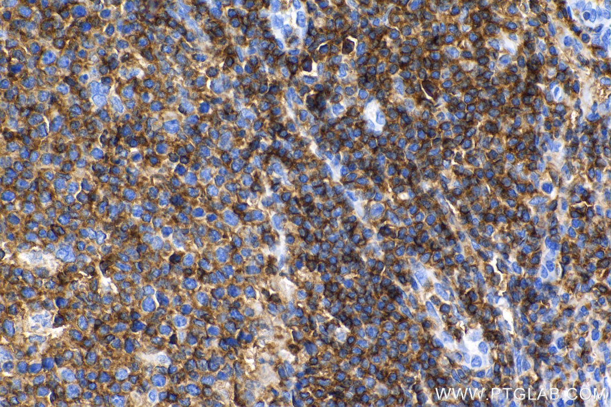
| Positive IHC detected in | human tonsil tissue Note: suggested antigen retrieval with TE buffer pH 9.0; (*) Alternatively, antigen retrieval may be performed with citrate buffer pH 6.0 |
| Positive IF/ICC detected in | Jurkat cells |
| Positive FC detected in | human peripheral blood leukocytes |
Recommended dilution
| Application | Dilution |
|---|---|
| Immunohistochemistry (IHC) | IHC : 1:250-1:1000 |
| Immunofluorescence (IF)/ICC | IF/ICC : 1:125-1:500 |
| Flow Cytometry (FC) | FC : 0.25 ug per 10^6 cells in 100 μl suspension |
| This reagent has been tested for flow cytometric analysis. It is recommended that this reagent should be titrated in each testing system to obtain optimal results. | |
| Sample-dependent, Check data in validation data gallery. | |
Published Applications
| FC | See 1 publications below |
Product Information
98117-1-RR targets CD45 in IHC, IF/ICC, FC applications and shows reactivity with human samples.
| Tested Reactivity | human |
| Cited Reactivity | human |
| Host / Isotype | Rabbit / IgG |
| Class | Recombinant |
| Type | Antibody |
| Immunogen |
CatNo: Eg2486 Product name: recombinant human CD45(220-577) protein Source: mammalian cells-derived, pHZ-KIsec-C-6*HIS Tag: C-6*HIS Sequence: Predict reactive species |
| Full Name | protein tyrosine phosphatase, receptor type, C |
| Calculated Molecular Weight | 147 kDa |
| Gene Symbol | CD45 |
| Gene ID (NCBI) | 5788 |
| ENSEMBL Gene ID | ENSG00000081237 |
| RRID | AB_3672264 |
| Conjugate | Unconjugated |
| Form | Liquid |
| Purification Method | Protein A purfication |
| UNIPROT ID | P08575 |
| Storage Buffer | PBS with 0.09% sodium azide, pH 7.3. |
| Storage Conditions | Store at 2 - 8°C. Stable for one year after shipment. |
Background Information
CD45, also known as protein tyrosine phosphatase, receptor type C, is a type I transmembrane protein expressed on the surface of all haematopoietic cells with the exception of erythrocytes and platelets (PMID: 3489673; 28615666). CD45 is a pan-haematopoietic cell marker and has been shown to be essential for T- and B-cell activation and signalling (PMID: 9429890; 16378097).
Protocols
| Product Specific Protocols | |
|---|---|
| FC protocol for CD45 antibody 98117-1-RR | Download protocol |
| IF protocol for CD45 antibody 98117-1-RR | Download protocol |
| IHC protocol for CD45 antibody 98117-1-RR | Download protocol |
| Standard Protocols | |
|---|---|
| Click here to view our Standard Protocols |









