Mouse CD93 Recombinant monoclonal antibody, PBS Only

CD93 Uni-rAb® Recombinant Antibody for WB, IHC, Indirect ELISA
Cat No. 86071-4-PBS
Clone No.250526C6

Host / Isotype

Rabbit / IgG

Reactivity

mouse, rat

Applications

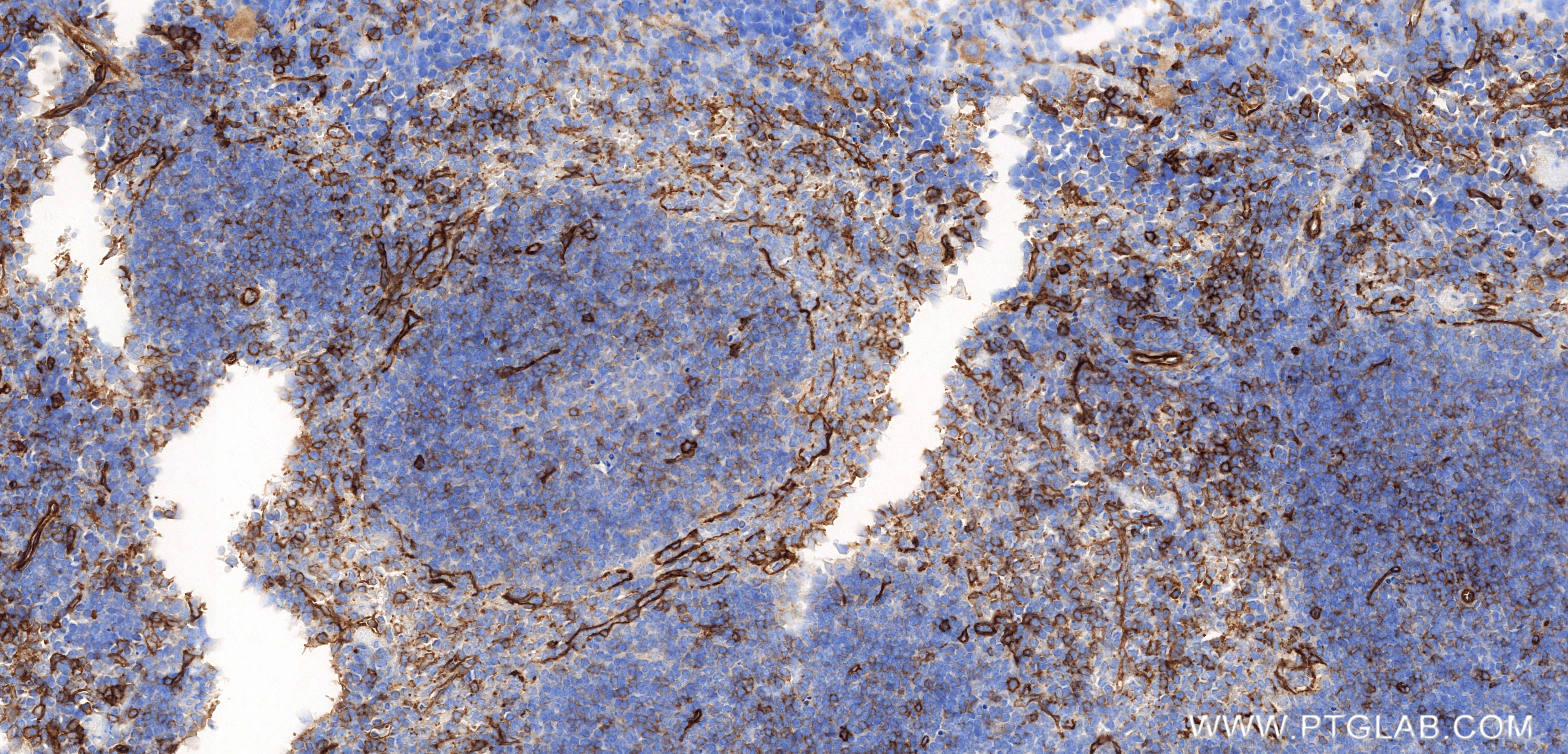
WB, IHC, Indirect ELISA

Aa4, C1q/MBL/SPA receptor, C1qR(p), C1qr1, C1qRp

Formulation:  PBS Only
Conjugate:  Unconjugated
Size/Concentration: 

-/ -

Freight/Packing: -

Quantity

Please visit your regions distributor:


Product Information

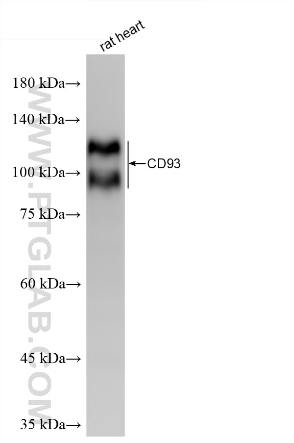
86071-4-PBS targets CD93 in WB, IHC, Indirect ELISA applications and shows reactivity with mouse, rat samples.

Tested Reactivity mouse, rat
Host / Isotype Rabbit / IgG
Class Recombinant
Type Antibody
Immunogen

CatNo: Eg3116

Product name: Recombinant Mouse CD93 protein (rFc Tag) (HPLC verified)

Source: mammalian cells-derived, V37

Tag: C-rFc

Domain: 23-572 aa of NM_010740.3

Sequence: ADSQAVVCEGTACYTAHWGKLSAAEAQHRCNENGGNLATVKSEEEARHVQQALTQLLKTKAPLEAKMGKFWIGLQREKGNCTYHDLPMRGFSWVGGGEDTAYSNWYKASKSSCIFKRCVSLILDLSLTPHPSHLPKWHESPCGTPEAPGNSIEGFLCKFNFKGMCRPLALGGPGRVTYTTPFQATTSSLEAVPFASVANVACGDEAKSETHYFLCNEKTPGIFHWGSSGPLCVSPKFGCSFNNGGCQQDCFEGGDGSFRCGCRPGFRLLDDLVTCASRNPCSSNPCTGGGMCHSVPLSENYTCRCPSGYQLDSSQVHCVDIDECQDSPCAQDCVNTLGSFHCECWVGYQPSGPKEEACEDVDECAAANSPCAQGCINTDGSFYCSCKEGYIVSGEDSTQCEDIDECSDARGNPCDSLCFNTDGSFRCGCPPGWELAPNGVFCSRGTVFSELPARPPQKEDNDDRKESTMPPTEMPSSPSGSKDVSNRAQTTGLFVQSDIPTASVPLEIEIPSEVSDVWFELGTYLPTTSGHSKPTHEDSVSAHSDTDGQN

Predict reactive species
Full Name CD93 antigen
Calculated Molecular Weight69 kDa
Observed Molecular Weight90-120 kDa
GenBank Accession NumberNM_010740.3
Gene Symbol Cd93
Gene ID (NCBI) 17064
Conjugate Unconjugated
FormLiquid
Purification MethodProtein A purification
UNIPROT IDO89103
Storage Buffer PBS only, pH 7.3.
Storage ConditionsStore at -80°C.

Background Information

CD93, also known as C1qR or C1qR(p), is a single-pass type I transmembrane glycoprotein and a member of the group 14 of the C-type lectin-like domain (CTLD) superfamily, which also includes endosialin/CD248, thrombomodulin, and CLEC14A (PMID: 31287944). CD93 consists of a C-type lectin-like domain, five EGF-like repeats, a mucin-like domain, a transmembrane domain and a cytoplasmic domain (PMID: 28912033). CD93 is mainly expressed on endothelial cells and has been reported to be expressed by neurons and various cells of the hematopoietic system, including monocytes, neutrophils, B cells, natural killer cells, platelets and hematopoietic stem cells (PMID: 37443812). CD93 plays a role in various physiological processes including angiogenesis, inflammation, and cell adhesion (PMID: 31287944).

Loading...
||
New chat

Able

正在加载,请稍候...