Tested Applications
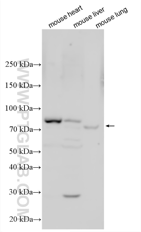
| Positive WB detected in | mouse heart tissue, mouse liver tissue, mouse lung tissue |
Recommended dilution
| Application | Dilution |
|---|---|
| Western Blot (WB) | WB : 1:500-1:1000 |
| It is recommended that this reagent should be titrated in each testing system to obtain optimal results. | |
| Sample-dependent, Check data in validation data gallery. | |
Product Information
34031-1-AP targets CD96 in WB, ELISA applications and shows reactivity with mouse samples.
| Tested Reactivity | mouse |
| Host / Isotype | Rabbit / IgG |
| Class | Polyclonal |
| Type | Antibody |
| Immunogen |
CatNo: Eg5283 Product name: Recombinant mouse CD96 protein Source: mammalian cells-derived, V37 Tag: C-rFc Domain: 22-536 aa of NM_032465.2 Sequence: VWEELFNVGDDVYALPGSDINLTCQTKEKNFLVQMQWSKVTDKNDMIALYHPQYGLYCGQEHACESQVAATETEKGVTNWTLYLRNISSALGGKYECIFTLYPEGIKTTVYNLIVEPYTQDEHNYTIEIETNRTLEIPCFQNTSSEIPPRFTFSWLVEKDGVEEVLFTHHHHVNNSTSFKGRIRLGGDYRLHLSPVQIQDDGRTFSCHLTVNPLKAWKMSTTVKVFAKPEILMTVENSTMDVLGERVFTCLLKNVFPKANITWFIDGRFLQGNEEGIYITNEEKNCSSGFWELKSVLTRMHSGPSQSNNMTAWCMALSPGPRNKMWNTSSQPITVSFDSVIAPTKHLPTVTGSTLGTQPFSDAGVSPTGYLATPSVTIVDENGLTPDATPQTSNSSMTTKDGNYLEASSGTDAKNSSRAAASSKSGSWPFPFTSPPEWHSLPGTSTGPQEPDSPVSWIPSEVHTSAPLDASLAPHDTIISTTTEFPNVLTTANGTTKIDHGPITSIIVNQPSDGM Predict reactive species |
| Full Name | CD96 antigen |
| Calculated Molecular Weight | 67 kDa |
| Observed Molecular Weight | 72 kDa |
| GenBank Accession Number | NM_032465.2 |
| Gene Symbol | Cd96 |
| Gene ID (NCBI) | 84544 |
| Conjugate | Unconjugated |
| Form | Liquid |
| Purification Method | Antigen affinity Purification |
| UNIPROT ID | Q3U0X8 |
| Storage Buffer | PBS with 0.02% sodium azide and 50% glycerol, pH 7.3. |
| Storage Conditions | Store at -20°C. Stable for one year after shipment. Aliquoting is unnecessary for -20oC storage. 20ul sizes contain 0.1% BSA. |
Background Information
CD96 (also known as TACTILE) is a type I trans-membrane glycoprotein of the immunoglobulin superfamily (IgSF). Expression is largely restricted to activated T cells, NK cells and a subset of NKT cells. On these cells CD96 functions as an adhesion and immunomodulatory receptor that binds the nectin-family ligand CD155 (PVR) with high affinity. (PMID: 30528596)
Protocols
| Product Specific Protocols | |
|---|---|
| WB protocol for CD96 antibody 34031-1-AP | Download protocol |
| Standard Protocols | |
|---|---|
| Click here to view our Standard Protocols |

