Tested Applications
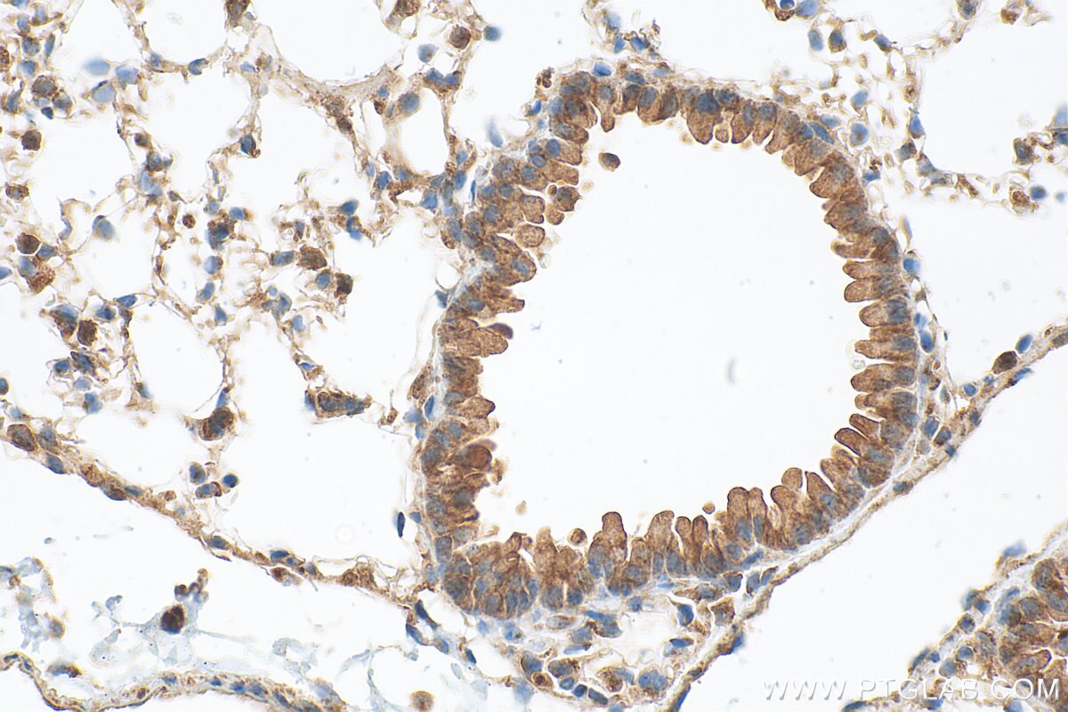
| Positive IHC detected in | mouse lung tissue Note: suggested antigen retrieval with TE buffer pH 9.0; (*) Alternatively, antigen retrieval may be performed with citrate buffer pH 6.0 |
Recommended dilution
| Application | Dilution |
|---|---|
| Immunohistochemistry (IHC) | IHC : 1:500-1:2000 |
| It is recommended that this reagent should be titrated in each testing system to obtain optimal results. | |
| Sample-dependent, Check data in validation data gallery. | |
Product Information
24504-1-AP targets DCBLD1 in IHC, ELISA applications and shows reactivity with human, mouse samples.
| Tested Reactivity | human, mouse |
| Host / Isotype | Rabbit / IgG |
| Class | Polyclonal |
| Type | Antibody |
| Immunogen |
CatNo: Ag21352 Product name: Recombinant human DCBLD1 protein Source: e coli.-derived, PET28a Tag: 6*His Domain: 240-317 aa of BC035671 Sequence: DGSLSDKRFLFTSNGCSRSLSFEPDGQIRASSSWQSVNESGDQVHWSPGQARLQDQGPSWASGDSSNNHKPREWLEID Predict reactive species |
| Full Name | discoidin, CUB and LCCL domain containing 1 |
| Calculated Molecular Weight | 715 aa, 78 kDa |
| Observed Molecular Weight | 68 kDa |
| GenBank Accession Number | BC035671 |
| Gene Symbol | DCBLD1 |
| Gene ID (NCBI) | 285761 |
| RRID | AB_3085737 |
| Conjugate | Unconjugated |
| Form | Liquid |
| Purification Method | Antigen affinity purification |
| UNIPROT ID | Q8N8Z6 |
| Storage Buffer | PBS with 0.02% sodium azide and 50% glycerol, pH 7.3. |
| Storage Conditions | Store at -20°C. Stable for one year after shipment. Aliquoting is unnecessary for -20oC storage. 20ul sizes contain 0.1% BSA. |
Background Information
DCBLD1, a transmembrane protein with extracellular CUB (an extracellular domain of approximately 110 residues that is found in functionally diverse, mostly developmentally regulated proteins), LCCL (including 94-97 amino acids, non-cytoplasmic but the function is undefined), and F5/8 type C domains 8, is a type I transmembrane protein (A-D) that binds to semaphorins, belonging to the DCBLD family, and is rarely studied and poorly characterized.
Protocols
| Product Specific Protocols | |
|---|---|
| IHC protocol for DCBLD1 antibody 24504-1-AP | Download protocol |
| Standard Protocols | |
|---|---|
| Click here to view our Standard Protocols |



