Tested Applications
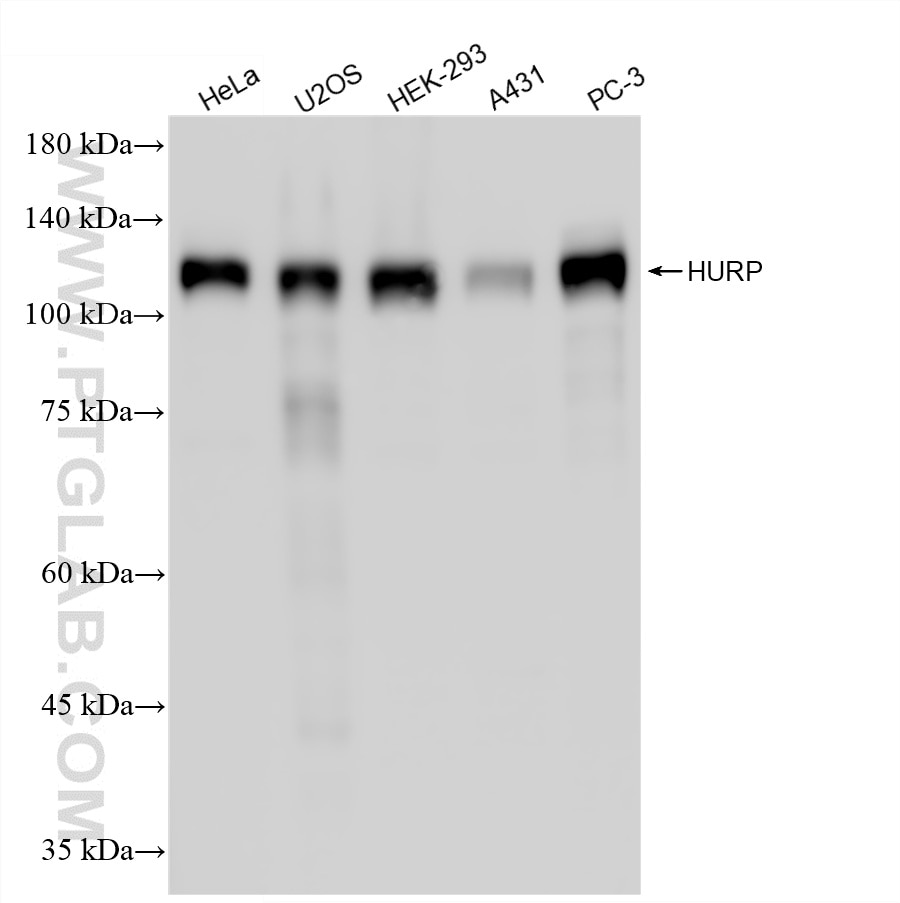
| Positive WB detected in | HeLa cells, U2OS cells, HEK-293 cells, A431 cells, PC-3 cells |
| Positive IF/ICC detected in | HEK-293 cells |
Recommended dilution
| Application | Dilution |
|---|---|
| Western Blot (WB) | WB : 1:500-1:2000 |
| Immunofluorescence (IF)/ICC | IF/ICC : 1:50-1:500 |
| It is recommended that this reagent should be titrated in each testing system to obtain optimal results. | |
| Sample-dependent, Check data in validation data gallery. | |
Published Applications
| KD/KO | See 8 publications below |
| WB | See 12 publications below |
| IHC | See 5 publications below |
| IF | See 2 publications below |
Product Information
12038-1-AP targets HURP in WB, IHC, IF/ICC, ELISA applications and shows reactivity with human samples.
| Tested Reactivity | human |
| Cited Reactivity | human, pig |
| Host / Isotype | Rabbit / IgG |
| Class | Polyclonal |
| Type | Antibody |
| Immunogen |
CatNo: Ag2667 Product name: Recombinant human HURP protein Source: e coli.-derived, PGEX-4T Tag: GST Domain: 498-847 aa of BC010658 Sequence: IKETTCTDLDGFWDMVSFQIEDVIHKFNNLIKLEESGWQVNNNMNHNMNKNVFRKKVVSGIASKPKQDDAGRIAARNRLAAIKNAMRERIRQEECAETAVSVIPKEVDKIVFDAGFFRVESPVKLFSGLSVSSEGPSQRLGTPKSVNKAVSQSRNEMGIPQQTTSPENAGPQNTKSEHVKKTLFLSIPESRSSIEDAQCPGLPDLIEENHVVNKTDLKVDCLSSERMSLPLLAGGVADDINTNKKEGISDVVEGMELNSSITSQDVLMSSPEKNTASQNSILEEGETKISQSELFDNKSLTTECHLLDSPGLNCSNPFTQLERRHQEHARHISFGGNLITFSPLQPGEF Predict reactive species |
| Full Name | discs, large (Drosophila) homolog-associated protein 5 |
| Calculated Molecular Weight | 846 aa, 95 kDa |
| Observed Molecular Weight | 120 kDa |
| GenBank Accession Number | BC010658 |
| Gene Symbol | HURP |
| Gene ID (NCBI) | 9787 |
| RRID | AB_10665363 |
| Conjugate | Unconjugated |
| Form | Liquid |
| Purification Method | Antigen affinity purification |
| UNIPROT ID | Q15398 |
| Storage Buffer | PBS with 0.02% sodium azide and 50% glycerol, pH 7.3. |
| Storage Conditions | Store at -20°C. Stable for one year after shipment. Aliquoting is unnecessary for -20oC storage. 20ul sizes contain 0.1% BSA. |
Background Information
DLGAP5, also named as DAP 5 or DLG7, is a kinetochore protein that stabilizes microtubules in vicinity of chromosomes. DLG7 controls spindle dynamics, promotes interkinetochore tension and efficient kinetochore capture. DGL7 is a part of Ran-dependent complex. Expression of DGL7 is found in cancer and stem cells. DLGAP5 contributes to hepatocellular carcinoma tumorigenesis by promoting cell proliferation (PMID: 24324629).
Protocols
| Product Specific Protocols | |
|---|---|
| IF protocol for HURP antibody 12038-1-AP | Download protocol |
| WB protocol for HURP antibody 12038-1-AP | Download protocol |
| Standard Protocols | |
|---|---|
| Click here to view our Standard Protocols |
Publications
| Species | Application | Title |
|---|---|---|
Nat Commun HURP facilitates spindle assembly by stabilizing microtubules and working synergistically with TPX2 | ||
J Transl Med DLGAP5 promotes lung adenocarcinoma growth via upregulating PLK1 and serves as a therapeutic target
| ||
J Transl Med Integrative multi-omics analysis unveils stemness-associated molecular subtypes in prostate cancer and pan-cancer: prognostic and therapeutic significance | ||
Cells Mitotic Acetylation of Microtubules Promotes Centrosomal PLK1 Recruitment and Is Required to Maintain Bipolar Spindle Homeostasis. | ||
Life Sci Pan-cancer analysis and experiments with cell lines reveal that the slightly elevated expression of DLGAP5 is involved in clear cell renal cell carcinoma progression.
| ||
Front Endocrinol (Lausanne) Whole Genome Transcriptomic Analysis of Ovary Granulosa Cells Revealed an Anti-Apoptosis Regulatory Gene DLGAP5 in Polycystic Ovary Syndrome. |



