DLST Polyclonal antibody

DLST Polyclonal Antibody for WB, IHC, IF/ICC, ELISA
Cat No. 31174-1-AP

Host / Isotype

Rabbit / IgG

Reactivity

human

Applications

WB, IHC, IF/ICC, ELISA

DLTS, OGDC E2

Formulation:  PBS, Azide, Glycerol
PBS, Azide, Glycerol
Conjugate:  Unconjugated
Unconjugated
Size/Concentration: 

-/ -

Freight/Packing: -

Quantity

Please visit your regions distributor:


Tested Applications

Positive WB detected inHeLa cells, HepG2 cells, MCF-7 cells
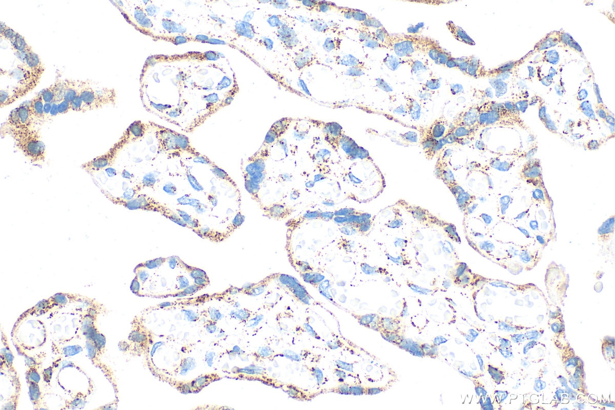
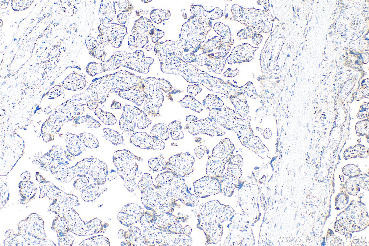
Positive IHC detected inhuman placenta tissue
Note: suggested antigen retrieval with TE buffer pH 9.0; (*) Alternatively, antigen retrieval may be performed with citrate buffer pH 6.0
Positive IF/ICC detected inHeLa cells

Recommended dilution

ApplicationDilution
Western Blot (WB)WB : 1:5000-1:50000
Immunohistochemistry (IHC)IHC : 1:300-1:1200
Immunofluorescence (IF)/ICCIF/ICC : 1:200-1:800
It is recommended that this reagent should be titrated in each testing system to obtain optimal results.
Sample-dependent, Check data in validation data gallery.

Product Information

31174-1-AP targets DLST in WB, IHC, IF/ICC, ELISA applications and shows reactivity with human samples.

Tested Reactivity human
Host / Isotype Rabbit / IgG
Class Polyclonal
Type Antibody
Immunogen

CatNo: Ag34753

Product name: Recombinant human DLST protein

Source: e coli.-derived, PGEX-4T

Tag: GST

Domain: 212-366 aa of BC001922

Sequence: EPGAGKGLRSEHREKMNRMRQRIAQRLKEAQNTCAMLTTFNEIDMSNIQEMRARHKEAFLKKHNLKLGFMSAFVKASAFALQEQPVVNAVIDDTTKEVVYRDYIDISVAVATPRGLVVPVIRNVEAMNFADIERTITELGEKARKNELAIEDMDG

Predict reactive species
Full Name dihydrolipoamide S-succinyltransferase (E2 component of 2-oxo-glutarate complex)
Calculated Molecular Weight 49 kDa
Observed Molecular Weight40 kDa, 49 kDa
GenBank Accession NumberBC001922
Gene Symbol DLST
Gene ID (NCBI) 1743
Conjugate Unconjugated
FormLiquid
Purification MethodAntigen affinity Purification
UNIPROT IDP36957
Storage Buffer PBS with 0.02% sodium azide and 50% glycerol, pH 7.3.
Storage ConditionsStore at -20°C. Stable for one year after shipment. Aliquoting is unnecessary for -20oC storage. 20ul sizes contain 0.1% BSA.

Background Information

DLST (Dihydrolipoyllysine-residue succinyltransferase component of 2-oxoglutarate dehydrogenase complex) ) is the E2 transferase of α-ketoglutarate dehydrogenase complex (KGDHC) that regulates the irreversible conversion of α-ketoglutarate to succinyl-CoA in the TCA cycle.RNAi knockdown of DLST led to decreased cell viability and induction of apoptosis in human T-ALL cell lines. High DLST expression predicts poor overall and recurrencefree survival among TNBC patients (PMID: 26876595, 34785772). DLST has two isoforms of 40 kDa, 49 kDa.

Protocols

Product Specific Protocols
IF protocol for DLST antibody 31174-1-APDownload protocol
IHC protocol for DLST antibody 31174-1-APDownload protocol
WB protocol for DLST antibody 31174-1-APDownload protocol
Standard Protocols
Click here to view our Standard Protocols
Loading...
||
New chat

Able

正在加载,请稍候...