Tested Applications
| Positive WB detected in | L02 cells |
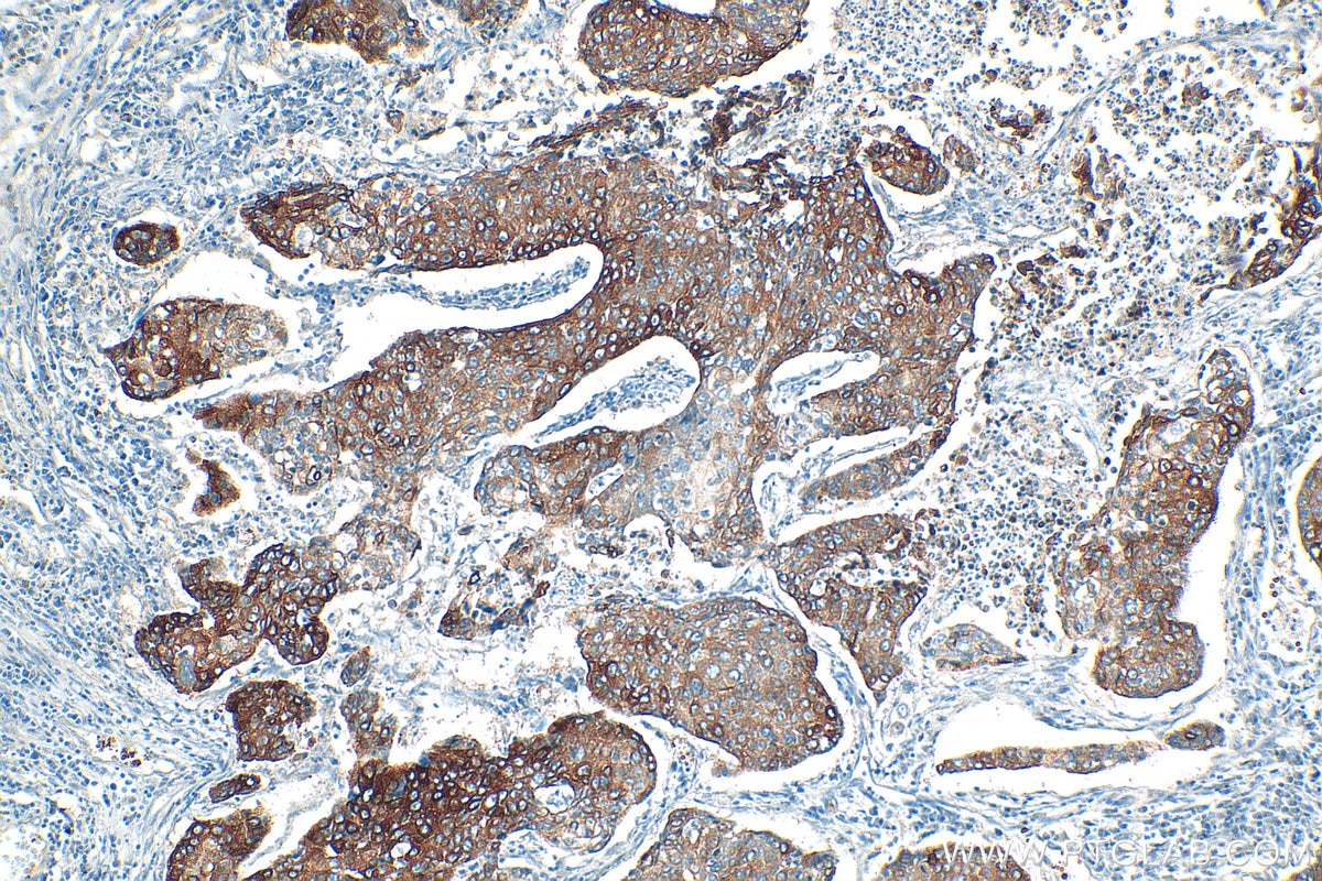
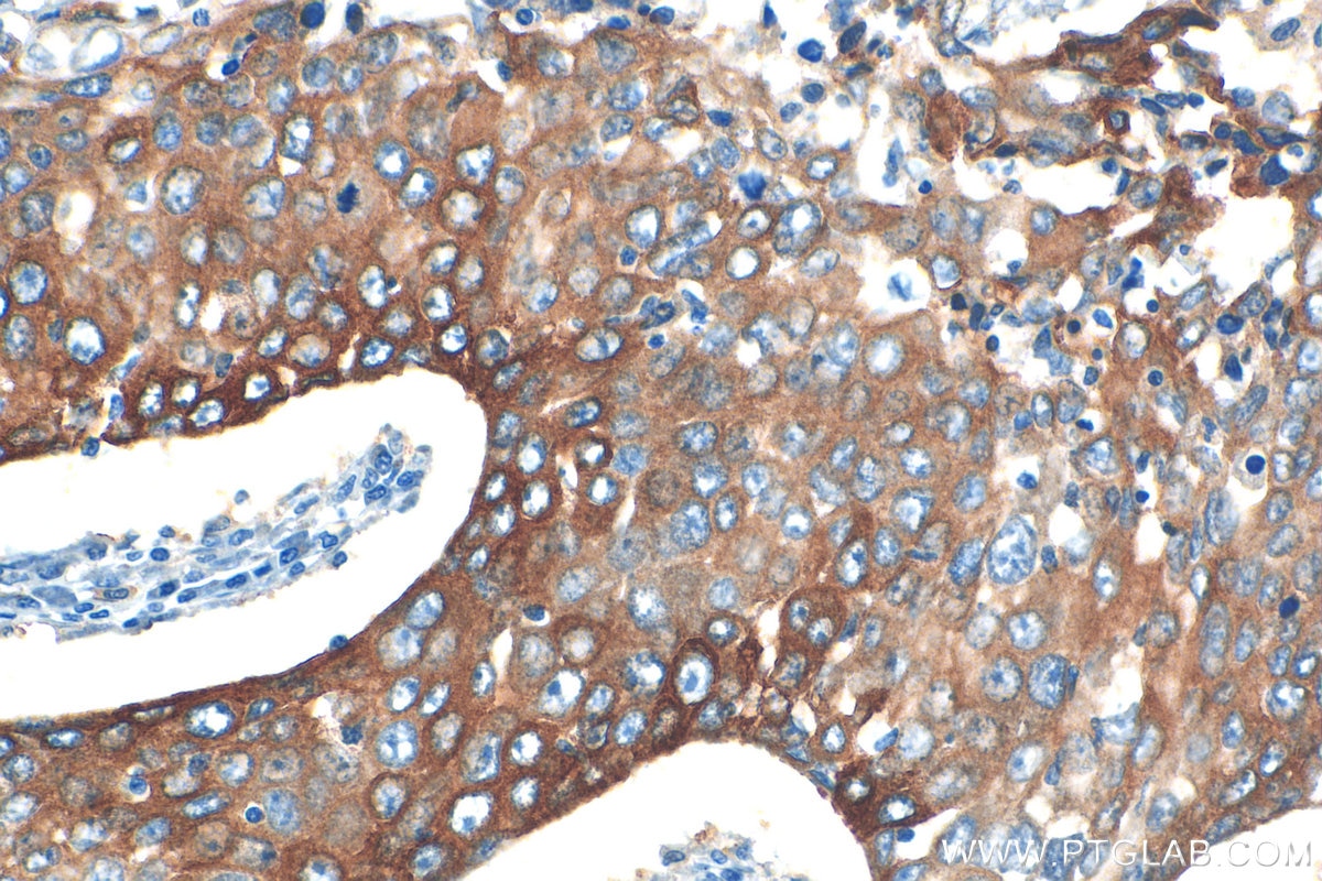
| Positive IHC detected in | human lung cancer tissue Note: suggested antigen retrieval with TE buffer pH 9.0; (*) Alternatively, antigen retrieval may be performed with citrate buffer pH 6.0 |
Recommended dilution
| Application | Dilution |
|---|---|
| Western Blot (WB) | WB : 1:500-1:1000 |
| Immunohistochemistry (IHC) | IHC : 1:200-1:800 |
| It is recommended that this reagent should be titrated in each testing system to obtain optimal results. | |
| Sample-dependent, Check data in validation data gallery. | |
Product Information
31475-1-AP targets EPPK1 in WB, IHC, ELISA applications and shows reactivity with human samples.
| Tested Reactivity | human |
| Host / Isotype | Rabbit / IgG |
| Class | Polyclonal |
| Type | Antibody |
| Immunogen |
CatNo: Ag35749 Product name: Recombinant human EPPK1 protein Source: e coli.-derived, PGEX-4T Tag: GST Domain: 1400-1570 aa of NM_031308.3 Sequence: NKFFFDPSARDQVTYQQLRERCVCDSETGLLLLPLPSDTVLEVDDHTAVALRAMKVPVSTGRFKGCSVSLWDLLLSEYVGADKRRELVALCRSGRAAALRQVVSAVTTLVEAAERQPLQATFRGLRKQVSARDLFRAQLISRKTLDELSQGTTTVKEVAEMDSVKRSLEGG Predict reactive species |
| Full Name | epiplakin 1 |
| Calculated Molecular Weight | 555 kDa |
| Observed Molecular Weight | 500-600 kDa |
| GenBank Accession Number | NM_031308.3 |
| Gene Symbol | EPPK1 |
| Gene ID (NCBI) | 83481 |
| RRID | AB_3669999 |
| Conjugate | Unconjugated |
| Form | Liquid |
| Purification Method | Antigen affinity Purification |
| UNIPROT ID | P58107 |
| Storage Buffer | PBS with 0.02% sodium azide and 50% glycerol, pH 7.3. |
| Storage Conditions | Store at -20°C. Stable for one year after shipment. Aliquoting is unnecessary for -20oC storage. 20ul sizes contain 0.1% BSA. |
Background Information
Epplakin 1 (EPPK1), belonging to the plakin family, is involved in connecting intermediate filaments and regulating their reorganization in stress response. Studies have shown that EPPK1 is involved in the progression of various cancers, such as liver cancer, cervical cancer, and bladder urothelial carcinoma.
Protocols
| Product Specific Protocols | |
|---|---|
| IHC protocol for EPPK1 antibody 31475-1-AP | Download protocol |
| WB protocol for EPPK1 antibody 31475-1-AP | Download protocol |
| Standard Protocols | |
|---|---|
| Click here to view our Standard Protocols |





