FAM50B Polyclonal antibody

FAM50B Polyclonal Antibody for WB, ELISA
Cat No. 32562-1-AP

Host / Isotype

Rabbit / IgG

Reactivity

human

Applications

WB, ELISA

Protein FAM50B, Protein XAP-5-like, X5L

Formulation:  PBS, Azide, Glycerol
PBS, Azide, Glycerol
Conjugate:  Unconjugated
Unconjugated
Size/Concentration: 

-/ -

Freight/Packing: -

Quantity

Please visit your regions distributor:


Tested Applications

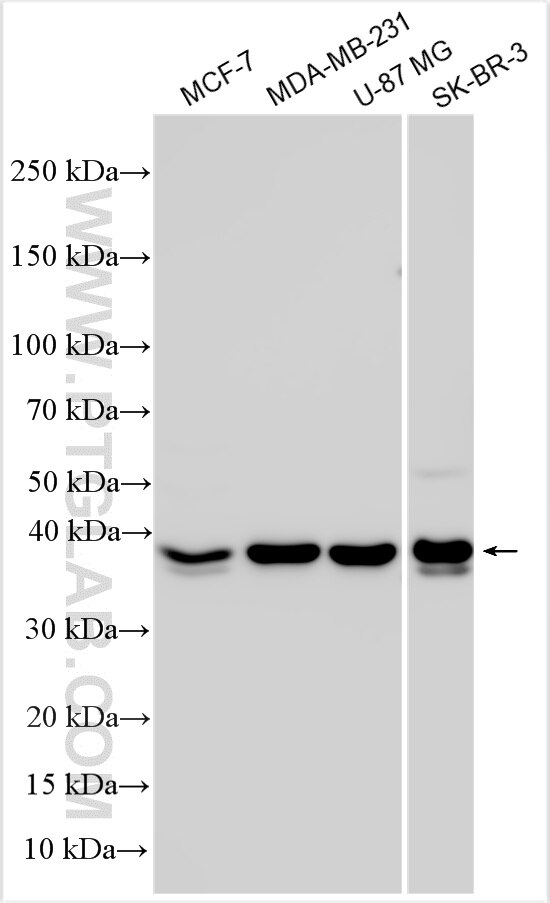
Positive WB detected inMCF-7 cells, MDA-MB-231 cells, U-87 MG cells, SK-BR-3 cells

Recommended dilution

ApplicationDilution
Western Blot (WB)WB : 1:1000-1:4000
It is recommended that this reagent should be titrated in each testing system to obtain optimal results.
Sample-dependent, Check data in validation data gallery.

Product Information

32562-1-AP targets FAM50B in WB, ELISA applications and shows reactivity with human samples.

Tested Reactivity human
Host / Isotype Rabbit / IgG
Class Polyclonal
Type Antibody
Immunogen

CatNo: Ag38226

Product name: Recombinant human FAM50B protein

Source: e coli.-derived, PGEX-4T

Tag: GST

Domain: 73-141 aa of NM_012135.2

Sequence: MKARQEALVRERERQLAKRQHLEEQRLQQERQREQEQRRERKRKISCLSFALDDLDDQADAAEARRAGN

Predict reactive species
Full Name family with sequence similarity 50, member B
Calculated Molecular Weight39kDa,325aa
Observed Molecular Weight38 kDa
GenBank Accession NumberNM_012135.2
Gene Symbol FAM50B
Gene ID (NCBI) 26240
Conjugate Unconjugated
FormLiquid
Purification MethodAntigen affinity Purification
UNIPROT IDQ9Y247
Storage Buffer PBS with 0.02% sodium azide and 50% glycerol, pH 7.3.
Storage ConditionsStore at -20°C. Stable for one year after shipment. Aliquoting is unnecessary for -20oC storage. 20ul sizes contain 0.1% BSA.

Background Information

FAM50B, also known as family with sequence similarity 50, member B, is a protein-coding gene located on chromosome 6. It is widely expressed in various tissues, with particularly high abundance in the testis and both adult and fetal brain. The exact function of FAM50B is not yet fully understood and is still under investigation.

Protocols

Product Specific Protocols
WB protocol for FAM50B antibody 32562-1-APDownload protocol
Standard Protocols
Click here to view our Standard Protocols
Loading...
||
New chat

Able

正在加载,请稍候...