Tested Applications
| Positive WB detected in | DU 145 cells |
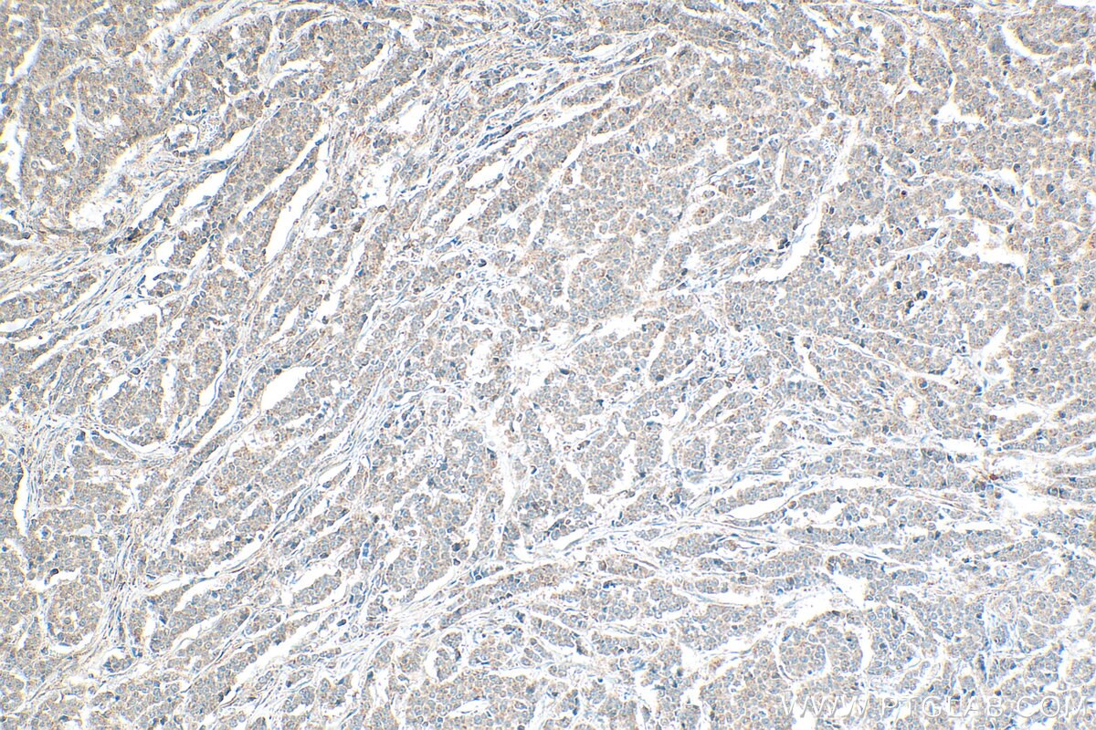
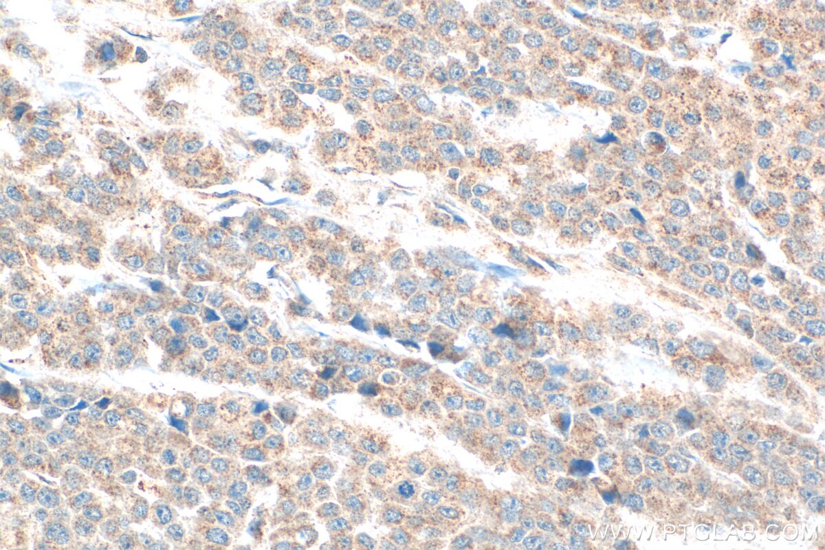
| Positive IHC detected in | human colon cancer tissue Note: suggested antigen retrieval with TE buffer pH 9.0; (*) Alternatively, antigen retrieval may be performed with citrate buffer pH 6.0 |
Recommended dilution
| Application | Dilution |
|---|---|
| Western Blot (WB) | WB : 1:500-1:3000 |
| Immunohistochemistry (IHC) | IHC : 1:300-1:1200 |
| It is recommended that this reagent should be titrated in each testing system to obtain optimal results. | |
| Sample-dependent, Check data in validation data gallery. | |
Product Information
29289-1-AP targets FAM83A in WB, IHC, ELISA applications and shows reactivity with human samples.
| Tested Reactivity | human |
| Host / Isotype | Rabbit / IgG |
| Class | Polyclonal |
| Type | Antibody |
| Immunogen |
CatNo: Ag30946 Product name: Recombinant human FAM83A protein Source: e coli.-derived, PGEX-4T Tag: GST Domain: 1-100 aa of BC007828 Sequence: MSRSRHLGKIRKRLEDVKSQWVRPARADFSDNESARLATDALLDGGSEAYWRVLSQEGEVDFLSSVEAQYIQAQAREPPCPPDTLGGAEAGPKGLDSSSL Predict reactive species |
| Full Name | family with sequence similarity 83, member A |
| Calculated Molecular Weight | 434 aa, 47 kDa |
| Observed Molecular Weight | 47-58 kDa |
| GenBank Accession Number | BC007828 |
| Gene Symbol | FAM83A |
| Gene ID (NCBI) | 84985 |
| Conjugate | Unconjugated |
| Form | Liquid |
| Purification Method | Antigen affinity purification |
| UNIPROT ID | Q86UY5 |
| Storage Buffer | PBS with 0.02% sodium azide and 50% glycerol, pH 7.3. |
| Storage Conditions | Store at -20°C. Stable for one year after shipment. Aliquoting is unnecessary for -20oC storage. 20ul sizes contain 0.1% BSA. |
Background Information
FAM83A plays a pivotal role in various biological processes, such as apoptosis, growth, and metastasis. Growing evidence highlights the pro-tumorigenic activity of FAM83A through various signaling pathways, such as the Wnt/β-catenin, ERK, and PI3K/Akt pathways.
Protocols
| Product Specific Protocols | |
|---|---|
| IHC protocol for FAM83A antibody 29289-1-AP | Download protocol |
| WB protocol for FAM83A antibody 29289-1-AP | Download protocol |
| Standard Protocols | |
|---|---|
| Click here to view our Standard Protocols |





