FAM83B Polyclonal antibody

FAM83B Polyclonal Antibody for WB, IHC, ELISA
Cat No. 26032-1-AP

Host / Isotype

Rabbit / IgG

Reactivity

human

Applications

WB, IHC, ELISA

C6orf143

Formulation:  PBS, Azide, Glycerol
PBS, Azide, Glycerol
Conjugate:  Unconjugated
Unconjugated
Size/Concentration: 

-/ -

Freight/Packing: -

Quantity

Please visit your regions distributor:


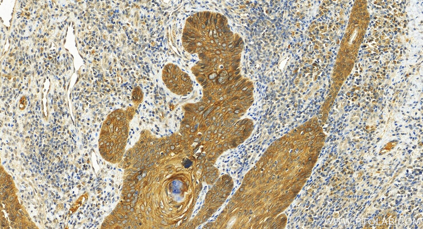
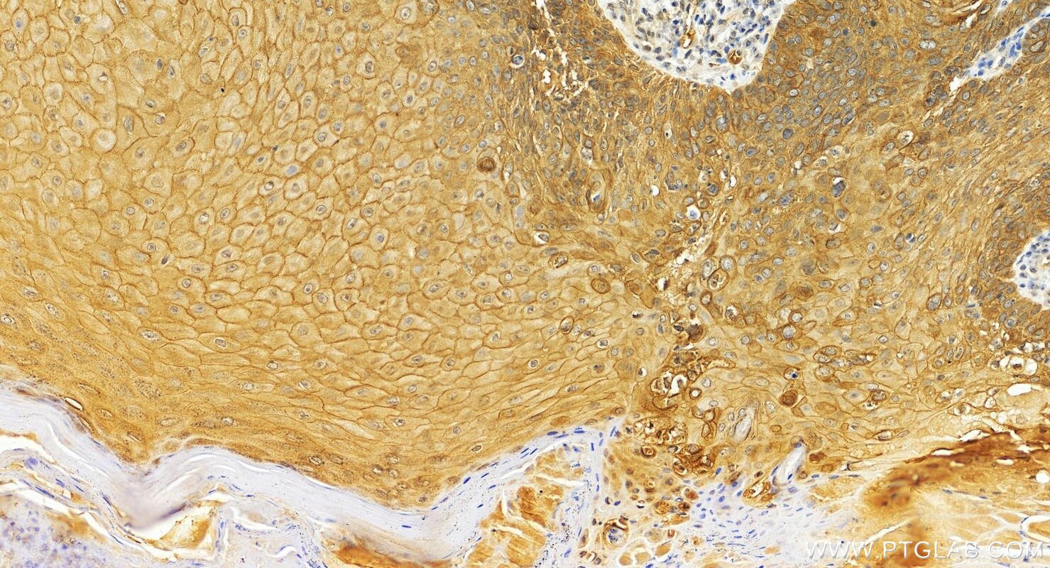
Tested Applications

Positive WB detected inMCF-7 cells
Positive IHC detected inhuman brown disease
Note: suggested antigen retrieval with TE buffer pH 9.0; (*) Alternatively, antigen retrieval may be performed with citrate buffer pH 6.0

Recommended dilution

ApplicationDilution
Western Blot (WB)WB : 1:500-1:3000
Immunohistochemistry (IHC)IHC : 1:50-1:500
It is recommended that this reagent should be titrated in each testing system to obtain optimal results.
Sample-dependent, Check data in validation data gallery.

Product Information

26032-1-AP targets FAM83B in WB, IHC, ELISA applications and shows reactivity with human samples.

Tested Reactivity human
Host / Isotype Rabbit / IgG
Class Polyclonal
Type Antibody
Immunogen

CatNo: Ag22951

Product name: Recombinant human FAM83B protein

Source: e coli.-derived, PGEX-4T

Tag: GST

Domain: 653-1011 aa of BC112275

Sequence: NQQTENLLKRRSFPLFDNSKANLDPGNSKHYVYSTLTRNRVRQPEKPKEDLLKSSKSMHNVTHNLEEDEEEVTKRNSPSGTTTKSVSIAALLDVNKEESNKELASKKEVKGSPSFLKKGSQKLRSLLSLTPDKKENLSKNKAPAFYRLCSSSDTLVSEGEENQKPKKSDTKVDSSPRRKHSSSSNSQGSIHKSKEDVTVSPSQEINAPPDENKRTPSPGPVESKFLERAGDASAPRFNTEQIQYRDSREINAVVNPERRPTSSPRPTSSELLRSHSTDRRVYSRFEPFCKIESSIQPTSNMPNTSINRPEIKSATMGNSYGRSSPLLNYNTGVYRSYQPNENKFRGFMQKFGNFIHKNK

Predict reactive species
Full Name family with sequence similarity 83, member B
Calculated Molecular Weight 1011 aa, 115 kDa
Observed Molecular Weight115 kDa
GenBank Accession NumberBC112275
Gene Symbol FAM83B
Gene ID (NCBI) 222584
RRIDAB_3085837
Conjugate Unconjugated
FormLiquid
Purification MethodAntigen affinity purification
UNIPROT IDQ5T0W9
Storage Buffer PBS with 0.02% sodium azide and 50% glycerol, pH 7.3.
Storage ConditionsStore at -20°C. Stable for one year after shipment. Aliquoting is unnecessary for -20oC storage. 20ul sizes contain 0.1% BSA.

Background Information

FAM83B, also known as C6orf143, belongs to the FAM83 family. FAM83B is an oncogene and promotes cell transformation through activating various pathway in different kinds of tumors. FAM83B over expressed in several kinds of malignant tumors, such as breast cancer, cervical cancer, endometrial cancer, pancreatic ductal adenocarcinoma, etc. Overexpression of FAM83B could promote the malignant biological behaviors of these tumors (PMID: 33423038, 36690987). The calculated molecular weight of FAM83B is 115 kDa.

Protocols

Product Specific Protocols
IHC protocol for FAM83B antibody 26032-1-APDownload protocol
WB protocol for FAM83B antibody 26032-1-APDownload protocol
Standard Protocols
Click here to view our Standard Protocols
Loading...
||
New chat

Able

正在加载,请稍候...