Product Information
87549-1-PBS targets FBX4 in WB, IF/ICC, Indirect ELISA applications and shows reactivity with human, mouse samples.
| Tested Reactivity | human, mouse |
| Host / Isotype | Rabbit / IgG |
| Class | Recombinant |
| Type | Antibody |
| Immunogen |
CatNo: Ag5013 Product name: Recombinant human FBX4 protein Source: e coli.-derived, PET28a Tag: 6*His Domain: 1-387 aa of BC048098 Sequence: MAGSEPRSGTNSPPPPFSDWGRLEAAILSGWKTFWQSVSKERVARTTSREEVDEAASTLTRLPIDVQLYILSFLSPHDLCQLGSTNHYWNETVRDPILWRYFLLRDLPSWSSVDWKSLPDLEILKKPISEVTDGAFFDYMAVYRMCCPYTRRASKSSRPMYGAVTSFLHSLIIQNEPRFAMFGPGLEELNTSLVLSLMSSEELCPTAGLPQRQIDGIGSGVNFQLNNQHKFNILILYSTTRKERDRAREEHTSAVNKMFSRHNEGDDQQGSRYSVIPQIQKVCEVVDGFIYVANAEAHKRHEWQDEFSHIMAMTDPAFGSSGRPLLVLSCISQGDVKRMPCFYLAHELHLNLLNHPWLVQDTEAETLTGFLNGIEWILEEVESKRAR Predict reactive species |
| Full Name | F-box protein 4 |
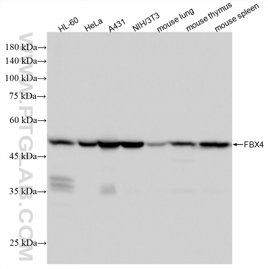
| Calculated Molecular Weight | 44 kDa |
| Observed Molecular Weight | 48 kDa |
| GenBank Accession Number | BC048098 |
| Gene Symbol | FBXO4/FBX4 |
| Gene ID (NCBI) | 26272 |
| Conjugate | Unconjugated |
| Form | Liquid |
| Purification Method | Protein A purification |
| UNIPROT ID | Q9UKT5 |
| Storage Buffer | PBS only, pH 7.3. |
| Storage Conditions | Store at -80°C. |
Background Information
FBX4 (F-Box Protein 4), also known as FBXO4, is a member of the F-box protein family. FBX4 is involved in the ubiquitination of various target proteins, leading to their degradation. It has been shown to regulate the cell cycle by targeting proteins such as cyclin D1 for ubiquitination and degradation. Mutations in FBX4 have been linked to various diseases, including spermatogenic failure and esophageal cancer. In cancer, FBX4 has been shown to act as a tumor suppressor. Loss of FBX4 function can lead to increased cell proliferation and tumor development. For example, FBX4 knockout mice have been shown to develop various tumors, including lymphoblastic lymphoma and mammary carcinoma. FBX4 has two isforms: 44 kDa and 35 kDa. The observd molecular weight is consistent with the result in PMID: 21242966.



