Ferritin heavy chain Monoclonal antibody

Ferritin heavy chain Monoclonal Antibody for WB, IHC, IF/ICC, ELISA
Cat No. 60875-5-Ig
Clone No.3G8D7

Host / Isotype

Mouse / IgG2a

Reactivity

human, rat, rabbit

Applications

WB, IHC, IF/ICC, ELISA

Ferritin, FTH1, Cell proliferation-inducing gene 15 protein, EC:1.16.3.1, Ferritin heavy chain, N-terminally processed

Formulation:  PBS, Azide, Glycerol
PBS, Azide, Glycerol
PBS Only
Conjugate:  Unconjugated
Unconjugated
Size/Concentration: 

-/ -

Freight/Packing: -

Quantity

Please visit your regions distributor:


Tested Applications

Positive WB detected inA549 cells, K-562 cells, rabbit brain tissue, U-251 cells, HeLa cells, rat brain tissue, rabbit heart tissue, PC-3 cells, HaCaT cells
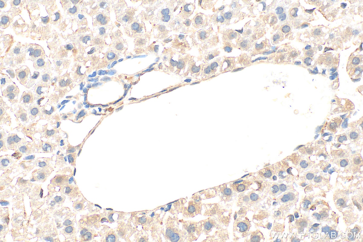
Positive IHC detected inrat liver tissue, mouse liver tissue
Note: suggested antigen retrieval with TE buffer pH 9.0; (*) Alternatively, antigen retrieval may be performed with citrate buffer pH 6.0
Positive IF/ICC detected inHepG2 cells, HeLa cells

Recommended dilution

ApplicationDilution
Western Blot (WB)WB : 1:5000-1:50000
Immunohistochemistry (IHC)IHC : 1:250-1:1000
Immunofluorescence (IF)/ICCIF/ICC : 1:200-1:800
It is recommended that this reagent should be titrated in each testing system to obtain optimal results.
Sample-dependent, Check data in validation data gallery.

Product Information

60875-5-Ig targets Ferritin heavy chain in WB, IHC, IF/ICC, ELISA applications and shows reactivity with human, rat, rabbit samples.

Tested Reactivity human, rat, rabbit
Host / Isotype Mouse / IgG2a
Class Monoclonal
Type Antibody
Immunogen

CatNo: Ag21386

Product name: Recombinant human FTH1 protein

Source: e coli.-derived, PET28a

Tag: 6*His

Domain: 1-183 aa of BC000857

Sequence: MTTASTSQVRQNYHQDSEAAINRQINLELYASYVYLSMSYYFDRDDVALKNFAKYFLHQSHEEREHAEKLMKLQNQRGGRIFLQDIKKPDCDDWESGLNAMECALHLEKNVNQSLLELHKLATDKNDPHLCDFIETHYLNEQVKAIKELGDHVTNLRKMGAPESGLAEYLFDKHTLGDSDNES

Predict reactive species
Full Name ferritin, heavy polypeptide 1
Calculated Molecular Weight 183 aa, 21 kDa
Observed Molecular Weight 21 kDa
GenBank Accession NumberBC000857
Gene Symbol FTH1
Gene ID (NCBI) 2495
Conjugate Unconjugated
FormLiquid
Purification MethodProtein A purification
UNIPROT IDP02794
Storage Buffer PBS with 0.02% sodium azide and 50% glycerol, pH 7.3.
Storage ConditionsStore at -20°C. Stable for one year after shipment. Aliquoting is unnecessary for -20oC storage. 20ul sizes contain 0.1% BSA.

Background Information

Ferritin heavy chain(FTH1, ferritin, heavy polypeptide 1 ), as a 21 kDa subunit of the ferritin complex, exhibits ferroxidase activity, which serves an essential role in catalyzing the conversion of the ferrous ions (Fe2+) to the ferric form (Fe3+). FTH1 regulates angiogenesis during inflammation and malignancy by binding to high molecular weight kininogen (HKa) and blocking its anti-angiogenic activity on endothelial cells in vitro and in vivo(PMID: 33260500). FTH1 has been shown to protect proximal tube epithelial cells and kidneys against the activity of free iron in reactive oxygen species generation. FTH1 plays an important role in the maintenance of the cellular iron balance in ferroptosis.

Protocols

Product Specific Protocols
IF protocol for Ferritin heavy chain antibody 60875-5-IgDownload protocol
IHC protocol for Ferritin heavy chain antibody 60875-5-IgDownload protocol
WB protocol for Ferritin heavy chain antibody 60875-5-IgDownload protocol
Standard Protocols
Click here to view our Standard Protocols

Publications

SpeciesApplicationTitle

Int J Surg

Targeting SIRT3 to regulate mitophagy-dependent ferroptosis for preventing glucocorticoid-induced osteoporosis

Authors - Yunhao Hu

Int Immunopharmacol

Propionate alleviated colitis by modulating iron homeostasis to inhibit ferroptosis and macrophage polarization

Authors - Ting Yao
Loading...
||
New chat

Able

正在加载,请稍候...