Tested Applications
| Positive WB detected in | HEK-293T cells, HeLa cells, Jurkat cells, Raji cells |
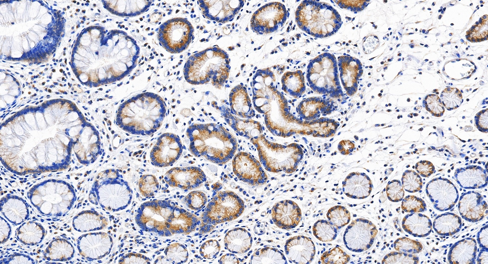
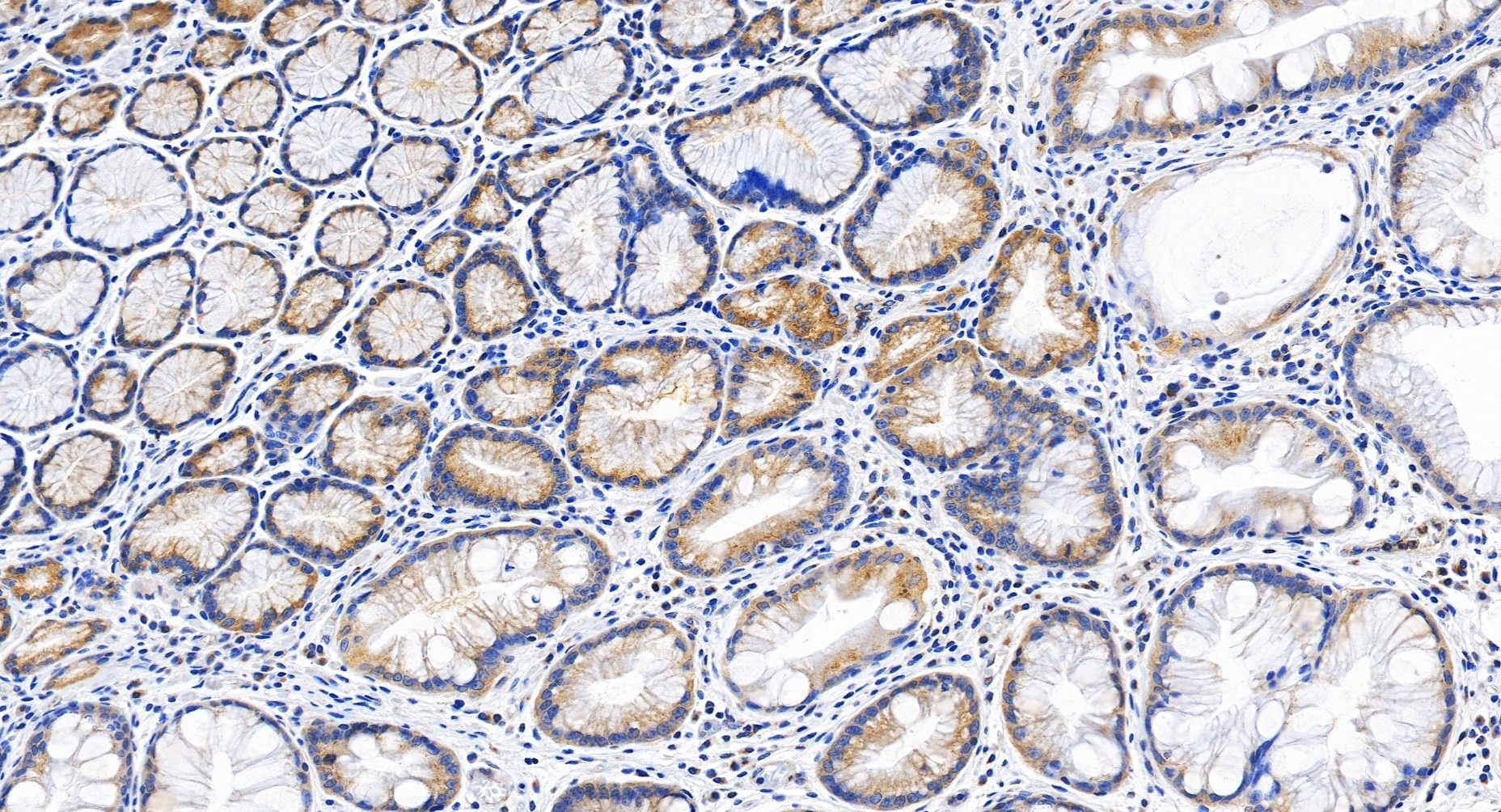
| Positive IHC detected in | human stomach cancer tissue Note: suggested antigen retrieval with TE buffer pH 9.0; (*) Alternatively, antigen retrieval may be performed with citrate buffer pH 6.0 |
Recommended dilution
| Application | Dilution |
|---|---|
| Western Blot (WB) | WB : 1:5000-1:50000 |
| Immunohistochemistry (IHC) | IHC : 1:2000-1:8000 |
| It is recommended that this reagent should be titrated in each testing system to obtain optimal results. | |
| Sample-dependent, Check data in validation data gallery. | |
Product Information
32217-1-AP targets GCC2 in WB, IHC, ELISA applications and shows reactivity with human samples.
| Tested Reactivity | human |
| Host / Isotype | Rabbit / IgG |
| Class | Polyclonal |
| Type | Antibody |
| Immunogen |
CatNo: Ag17535 Product name: Recombinant human GCC2 protein Source: e coli.-derived, PGEX-4T Tag: GST Domain: 1-343 aa of BC146789 Sequence: MKQEVEDSVTKMGDAHKELEQSHINYVKEIENLKNELMAVRSKYSEDKANLQKQLEEAMNTQLELSEQLKFQNNSEDNVKKLQEEIEKIRPGFEEQILYLQKQLDATTDEKKETVTQLQNIIEANSQHYQKNINSLQEELLQLKAIHQEEVKELMCQIEASAKEHEAEINKLNELKENLVKQCEASEKNIQKKYECELENLRKATSNANQDNQICSILLQENTFVEQVVNEKVKHLEDTLKELESQHSILKDEVTYMNNLKLKLEMDAQHIKDEFFHEREDLEFKINELLLAKEEQGCVIEKLKSELAGLNKQFCYTVEQHNREVQSLKEQHQKEISELNETF Predict reactive species |
| Full Name | GRIP and coiled-coil domain containing 2 |
| Calculated Molecular Weight | 1583 aa, 185 kDa |
| Observed Molecular Weight | 200 kDa |
| GenBank Accession Number | BC146789 |
| Gene Symbol | GCC2 |
| Gene ID (NCBI) | 9648 |
| Conjugate | Unconjugated |
| Form | Liquid |
| Purification Method | Antigen affinity Purification |
| UNIPROT ID | Q8IWJ2 |
| Storage Buffer | PBS with 0.02% sodium azide and 50% glycerol, pH 7.3. |
| Storage Conditions | Store at -20°C. Stable for one year after shipment. Aliquoting is unnecessary for -20oC storage. 20ul sizes contain 0.1% BSA. |
Background Information
The GCC2 protein, fully named GRIP and Coiled-Coil Domain-Containing Protein 2, is a key adaptor protein in the intracellular Golgi-endosomal membrane transport system. It specifically anchors to the Golgi membrane via its GRIP domain and is primarily responsible for mediating retrograde vesicular transport from endosomes to the Golgi apparatus, participating in the recycling and sorting of various cargo proteins, such as the mannose-6-phosphate receptor. Recent studies have revealed that GCC2 regulates the subcellular localization of the GATOR complex, thereby acting as an important upstream regulator of the mTORC1 signaling pathway, which influences cell growth, metabolism, and autophagy. Dysfunction of GCC2 is closely associated with neurodevelopmental disorders and tumorigenesis, underscoring its significance in cell biology and disease research.
Protocols
| Product Specific Protocols | |
|---|---|
| IHC protocol for GCC2 antibody 32217-1-AP | Download protocol |
| WB protocol for GCC2 antibody 32217-1-AP | Download protocol |
| Standard Protocols | |
|---|---|
| Click here to view our Standard Protocols |







