GPR148 Polyclonal antibody

GPR148 Polyclonal Antibody for IHC, ELISA
Cat No. 25996-1-AP

Host / Isotype

Rabbit / IgG

Reactivity

human, mouse

Applications

IHC, ELISA

BTR, G protein coupled receptor 148, PGR6

Formulation:  PBS, Azide, Glycerol
PBS, Azide, Glycerol
Conjugate:  Unconjugated
Unconjugated
Size/Concentration: 

-/ -

Freight/Packing: -

Quantity

Please visit your regions distributor:


Tested Applications

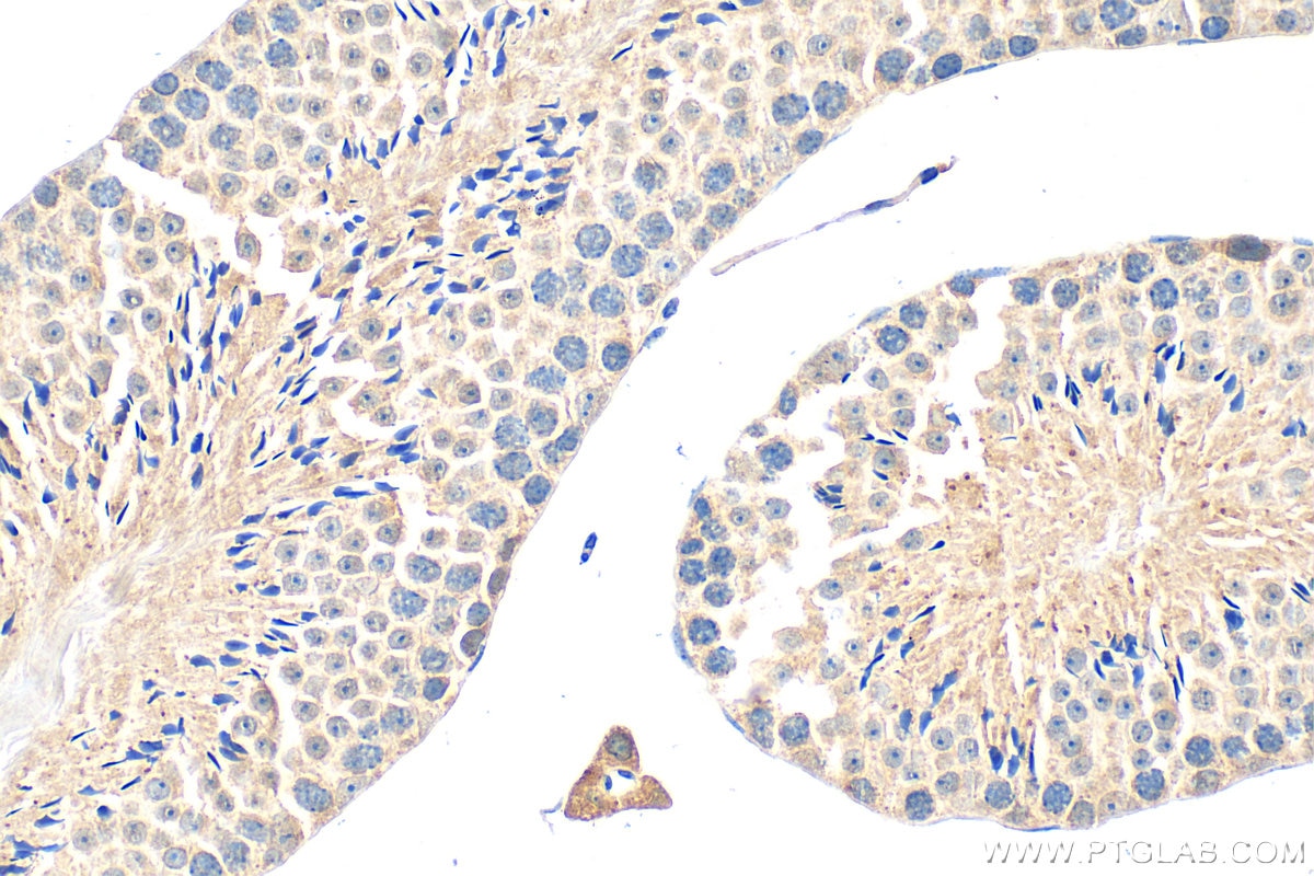
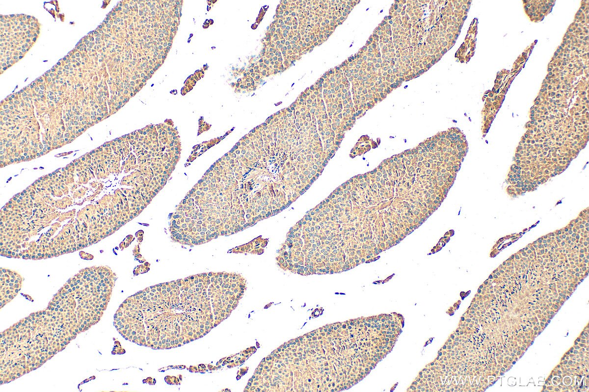
Positive IHC detected inmouse testis tissue
Note: suggested antigen retrieval with TE buffer pH 9.0; (*) Alternatively, antigen retrieval may be performed with citrate buffer pH 6.0

Recommended dilution

ApplicationDilution
Immunohistochemistry (IHC)IHC : 1:50-1:500
It is recommended that this reagent should be titrated in each testing system to obtain optimal results.
Sample-dependent, Check data in validation data gallery.

Product Information

25996-1-AP targets GPR148 in IHC, ELISA applications and shows reactivity with human, mouse samples.

Tested Reactivity human, mouse
Host / Isotype Rabbit / IgG
Class Polyclonal
Type Antibody
Immunogen

CatNo: Ag22948

Product name: Recombinant human GPR148 protein

Source: e coli.-derived, PGEX-4T

Tag: GST

Domain: 1-95 aa of BC105013

Sequence: MGDELAPCPVGTTAWPALIQLISKTPCMPQAASNTSLGLGDLRVPSSMLYWLFLPSSLLAAATLAVSPLLLVTILRNQRLRQEPHYLLPANILLS

Predict reactive species
Full Name G protein-coupled receptor 148
Calculated Molecular Weight 347 aa, 38 kDa
GenBank Accession NumberBC105013
Gene Symbol GPR148
Gene ID (NCBI) 344561
Conjugate Unconjugated
FormLiquid
Purification MethodAntigen affinity purification
UNIPROT IDQ8TDV2
Storage Buffer PBS with 0.02% sodium azide and 50% glycerol, pH 7.3.
Storage ConditionsStore at -20°C. Stable for one year after shipment. Aliquoting is unnecessary for -20oC storage. 20ul sizes contain 0.1% BSA.

Background Information

GPR148, also known as BTR or PGR6, belongs to a G protein-coupled receptor (GPCR) family. It is primarily expressed in the brain and testis, suggesting a role in specific sensory functions and possibly in reproductive processes. As a GPCR, GPR148 is likely to be involved in signal transduction pathways triggered by the binding of specific ligands, such as odorants or other small molecules.

Protocols

Product Specific Protocols
IHC protocol for GPR148 antibody 25996-1-APDownload protocol
Standard Protocols
Click here to view our Standard Protocols
Loading...
||
New chat

Able

正在加载,请稍候...