Tested Applications
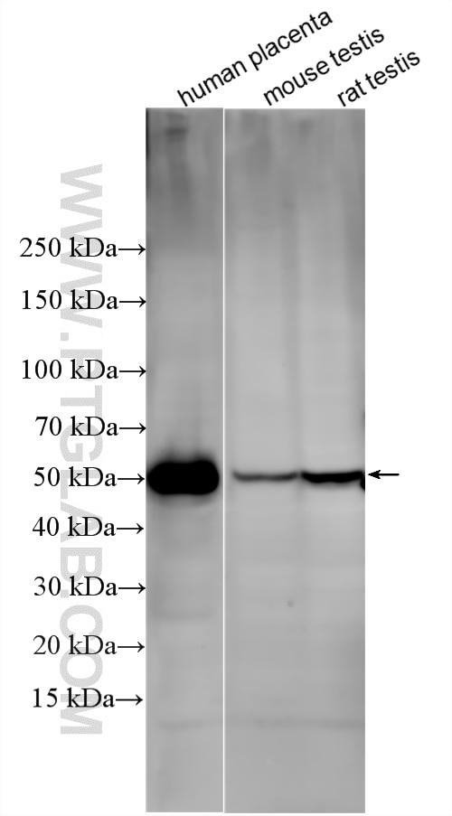
| Positive WB detected in | human placenta tissue, mouse testis tissue, rat testis tissue |
| Positive IHC detected in | mouse testis tissue Note: suggested antigen retrieval with TE buffer pH 9.0; (*) Alternatively, antigen retrieval may be performed with citrate buffer pH 6.0 |
Recommended dilution
| Application | Dilution |
|---|---|
| Western Blot (WB) | WB : 1:1000-1:4000 |
| Immunohistochemistry (IHC) | IHC : 1:50-1:500 |
| It is recommended that this reagent should be titrated in each testing system to obtain optimal results. | |
| Sample-dependent, Check data in validation data gallery. | |
Product Information
20791-1-AP targets GPR172B in WB, IHC, ELISA applications and shows reactivity with human, mouse, rat samples.
| Tested Reactivity | human, mouse, rat |
| Host / Isotype | Rabbit / IgG |
| Class | Polyclonal |
| Type | Antibody |
| Immunogen |
CatNo: Ag14525 Product name: Recombinant human GPR172B protein Source: e coli.-derived, PET28a Tag: 6*His Domain: 201-290 aa of BC060810 Sequence: TALLVTSAAAFRGLLLLLPSLPSVTTGGSGPELQLGSPGAEEEEKEEEEALPLQEPPSQAAGTIPGPDPEVHQLFSAHGAFLLGLMAFTS Predict reactive species |
| Full Name | G protein-coupled receptor 172B |
| Calculated Molecular Weight | 448 aa, 46 kDa |
| Observed Molecular Weight | 50 kDa |
| GenBank Accession Number | BC060810 |
| Gene Symbol | GPR172B |
| Gene ID (NCBI) | 55065 |
| Conjugate | Unconjugated |
| Form | Liquid |
| Purification Method | Antigen affinity purification |
| UNIPROT ID | Q9NWF4 |
| Storage Buffer | PBS with 0.02% sodium azide and 50% glycerol, pH 7.3. |
| Storage Conditions | Store at -20°C. Stable for one year after shipment. Aliquoting is unnecessary for -20oC storage. 20ul sizes contain 0.1% BSA. |
Background Information
GPR172B, also known as solute carrier family 52 member 1 (SLC52A1) or riboflavin transporter 1 (RFT1), is a G protein-coupled receptor (GPCR) that plays a significant role in the transport of riboflavin, a vital component for the production of flavin adenine dinucleotide (FAD) and flavin mononucleotide (FMN). GPR172B plays a role in cellular aging. Knockdown of GPR172B promotes senescence induced by DNA damage in both tumor and normal cells. The anti-senescence effect of GPR172B is dependent on its riboflavin transport activity, which leads to the activation of mitochondrial membrane potential (MMP) mediated by mitochondrial electron transport chain complex II, ultimately inhibiting the AMPK-p53 pathway, a central mediator of senescence-associated with mitochondrial dysfunction.
Protocols
| Product Specific Protocols | |
|---|---|
| IHC protocol for GPR172B antibody 20791-1-AP | Download protocol |
| WB protocol for GPR172B antibody 20791-1-AP | Download protocol |
| Standard Protocols | |
|---|---|
| Click here to view our Standard Protocols |





