GRK4 Polyclonal antibody

GRK4 Polyclonal Antibody for WB, ELISA
Cat No. 33470-1-AP

Host / Isotype

Rabbit / IgG

Reactivity

human, mouse

Applications

WB, ELISA

EC:2.7.11.16, G protein-coupled receptor kinase 4, G protein-coupled receptor kinase GRK4, GPRK2L, GPRK4

Formulation:  PBS, Azide, Glycerol
PBS, Azide, Glycerol
Conjugate:  Unconjugated
Unconjugated
Size/Concentration: 

-/ -

Freight/Packing: -

Quantity

Please visit your regions distributor:


Tested Applications

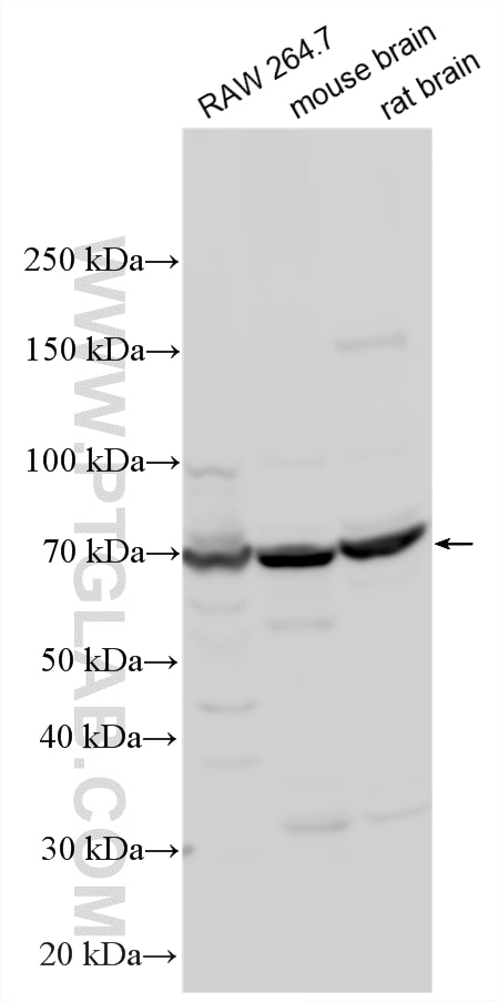
Positive WB detected inRAW 264.7 cells, mouse brain tissue, rat brain tissue

Recommended dilution

ApplicationDilution
Western Blot (WB)WB : 1:500-1:2000
It is recommended that this reagent should be titrated in each testing system to obtain optimal results.
Sample-dependent, Check data in validation data gallery.

Product Information

33470-1-AP targets GRK4 in WB, ELISA applications and shows reactivity with human, mouse samples.

Tested Reactivity human, mouse
Host / Isotype Rabbit / IgG
Class Polyclonal
Type Antibody
Immunogen

CatNo: Ag38007

Product name: Recombinant human GRK4 protein

Source: e coli.-derived, PGEX-4T

Tag: GST

Domain: 381-510 aa of NM_182982.2

Sequence: QGHSPFKKYKEKVKWEEVDQRIKNDTEEYSEKFSEDAKSICRMLLTKNPSKRLGCRGEGAAGVKQHPVFKDINFRRLEANMLEPPFCPDPHAVYCKDVLDIEQFSVVKGIYLDTADEDFYARFATGCVSI

Predict reactive species
Full Name G protein-coupled receptor kinase 4
Calculated Molecular WeightNM_182982.2
Observed Molecular Weight67 kDa
GenBank Accession NumberNM_182982.2
Gene Symbol GRK4
Gene ID (NCBI) 2868
Conjugate Unconjugated
FormLiquid
Purification MethodAntigen affinity Purification
UNIPROT IDP32298
Storage Buffer PBS with 0.02% sodium azide and 50% glycerol, pH 7.3.
Storage ConditionsStore at -20°C. Stable for one year after shipment. Aliquoting is unnecessary for -20oC storage. 20ul sizes contain 0.1% BSA.

Background Information

G protein-coupled receptor kinase 4 (GRK4) is a serine and threonine kinase that phosphorylates G protein-coupled receptors in response to agonist stimulation. It uncouples the dopamine receptor from its G protein. It should also be noted that kinase activity is not necessary for some GRK-mediated functions.

Protocols

Product Specific Protocols
WB protocol for GRK4 antibody 33470-1-APDownload protocol
Standard Protocols
Click here to view our Standard Protocols
Loading...
||
New chat

Able

正在加载,请稍候...