Multi-rAb® GSK3B Multi-Recombinant antibody

GSK3B Multi-Recombinant Antibody for WB, IHC, IF/ICC, ELISA
Cat No. RMX00019

Host / Isotype

Rabbit / IgG

Reactivity

human, mouse, rat

Applications

WB, IHC, IF/ICC, ELISA

GSK3 beta, EC:2.7.11.1, EC:2.7.11.26, GSK 3 beta, GSK-3 beta

Formulation:  PBS, Azide, Glycerol
PBS, Azide, Glycerol
Conjugate:  Unconjugated
Unconjugated
Size/Concentration: 

-/ -

Freight/Packing: -

Quantity

Please visit your regions distributor:


Tested Applications

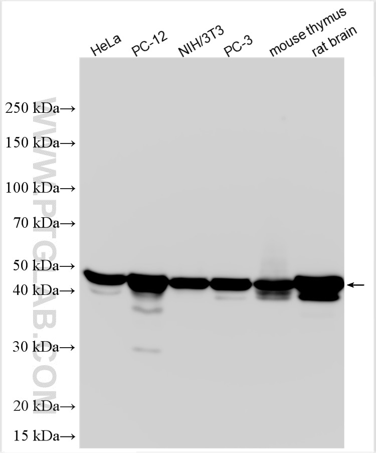
Positive WB detected inHeLa cells, PC-12 cells, NIH/3T3 cells, PC-3 cells, mouse thymus tissue, rat brain tissue
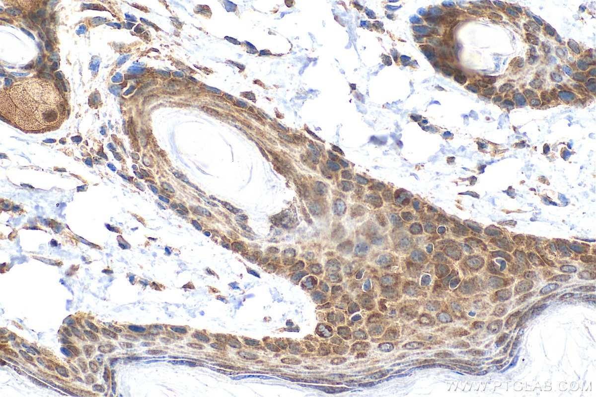
Positive IHC detected inmouse skin tissue
Note: suggested antigen retrieval with TE buffer pH 9.0; (*) Alternatively, antigen retrieval may be performed with citrate buffer pH 6.0
Positive IF/ICC detected inMCF-7 cells

Recommended dilution

ApplicationDilution
Western Blot (WB)WB : 1:5000-1:50000
Immunohistochemistry (IHC)IHC : 1:500-1:2000
Immunofluorescence (IF)/ICCIF/ICC : 1:200-1:800
It is recommended that this reagent should be titrated in each testing system to obtain optimal results.
Sample-dependent, Check data in validation data gallery.

Product Information

RMX00019 targets GSK3B in WB, IHC, IF/ICC, ELISA applications and shows reactivity with human, mouse, rat samples.

Tested Reactivity human, mouse, rat
Host / Isotype Rabbit / IgG
Class Multi-Recombinant
Type Antibody
Immunogen

Mixture

Predict reactive species
Full Name glycogen synthase kinase 3 beta
Calculated Molecular Weight 433 aa, 48 kDa
Observed Molecular Weight 46-48 kDa
GenBank Accession NumberBC000251
Gene Symbol GSK3B
Gene ID (NCBI) 2932
Conjugate Unconjugated
FormLiquid
Purification MethodN/A
UNIPROT IDP49841
Storage Buffer PBS with 0.02% sodium azide and 50% glycerol, pH 7.3.
Storage ConditionsStore at -20°C. Stable for one year after shipment. Aliquoting is unnecessary for -20oC storage. 20ul sizes contain 0.1% BSA.

Background Information

Glycogen synthase kinase-3 (GSK3) is a proline-directed serine-threonine kinase that was initially identified as a phosphorylating and inactivating glycogen synthase.GSK3B is involved in energy metabolism, neuronal cell development, and body pattern formation.In skeletal muscle, it contributes to INS regulation of glycogen synthesis by phosphorylating and inhibiting GYS1 activity and hence glycogen synthesis.

Protocols

Product Specific Protocols
IF protocol for GSK3B antibody RMX00019Download protocol
IHC protocol for GSK3B antibody RMX00019Download protocol
WB protocol for GSK3B antibody RMX00019Download protocol
Standard Protocols
Click here to view our Standard Protocols
Loading...
||
New chat

Able

正在加载,请稍候...