Tested Applications
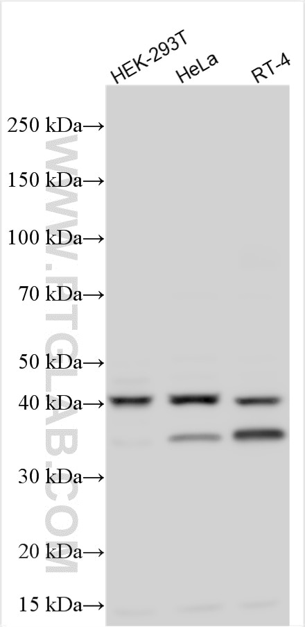
| Positive WB detected in | HEK-293T cells, HeLa cells, RT-4 cells |
Recommended dilution
| Application | Dilution |
|---|---|
| Western Blot (WB) | WB : 1:500-1:2000 |
| It is recommended that this reagent should be titrated in each testing system to obtain optimal results. | |
| Sample-dependent, Check data in validation data gallery. | |
Product Information
32944-1-AP targets GTPBP10 in WB, ELISA applications and shows reactivity with human, mouse samples.
| Tested Reactivity | human, mouse |
| Host / Isotype | Rabbit / IgG |
| Class | Polyclonal |
| Type | Antibody |
| Immunogen |
CatNo: Ag37974 Product name: Recombinant human GTPBP10 protein Source: e coli.-derived, PGEX-4T Tag: GST Domain: 1-387 aa of BC107714 Sequence: MVHCSCVLFRKYGNFIDKLRLFTRGGSGGMGYPRLGGEGGKGGDVWVVAQNRMTLKQLKDRYPGKRFVAGVGANSKISALKGSKGKDWEIPVPVGISVTDENGKIIGELNKENDRILVAQGGLGGKLLTNFLPLKGQKRIIHLDLKLIADVGLVGFPNAGKSSLLSCVSHAKPAIADYAFTTLKPELGKIMYSDFKQISVADLPGLIEGAHMNKGMGHKFLKHIERTRQLLFVVDISGFQLSSHTQYRTAFETIILLTKELELYKEELQTKPALLAVNKMDLPDAQDKFHELMSQLQNPKDFLHLFEKNMIPERTVEFQHIIPISAVTGEGIEELKNCIRKSLDEQANQENDALHKKQLLNLWISDTMSSTEPPSKHAVTTSKMDII Predict reactive species |
| Full Name | GTP-binding protein 10 (putative) |
| Calculated Molecular Weight | 43, 34, 12 kDa |
| Observed Molecular Weight | 42, 34, 20 kDa |
| GenBank Accession Number | BC107714 |
| Gene Symbol | GTPBP10 |
| Gene ID (NCBI) | 85865 |
| Conjugate | Unconjugated |
| Form | Liquid |
| Purification Method | Antigen affinity Purification |
| UNIPROT ID | A4D1E9 |
| Storage Buffer | PBS with 0.02% sodium azide and 50% glycerol, pH 7.3. |
| Storage Conditions | Store at -20°C. Stable for one year after shipment. Aliquoting is unnecessary for -20oC storage. 20ul sizes contain 0.1% BSA. |
Background Information
GTPBP10, a member of the conserved Obg family of P-loop small G proteins, is a mitochondrial protein. The absence of GTPBP10 leads to attenuated mtLSU and mtSSU levels and the virtual absence of the 55S monosome, which entirely prevents mitochondrial protein synthesis. GTPBP10 physically interacts with the 16S rRNA, but not with the 12S rRNA, and crosslinks with several mtLSU proteins. Additionally, GTPBP10 is indirectly required for efficient processing of the 12S-16S rRNA precursor transcript, which could explain the mtSSU accumulation defect (PMID: 30321378).
Protocols
| Product Specific Protocols | |
|---|---|
| WB protocol for GTPBP10 antibody 32944-1-AP | Download protocol |
| Standard Protocols | |
|---|---|
| Click here to view our Standard Protocols |

