Tested Applications
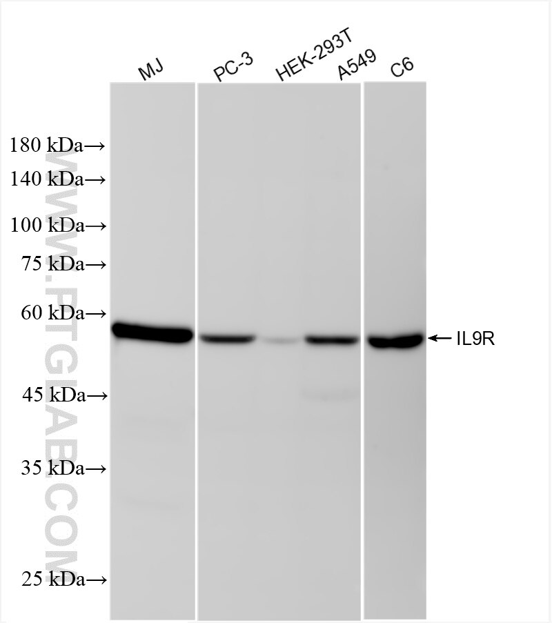
| Positive WB detected in | MJ cells, PC-3 cells, HEK-293T cells, A549 cells, C6 cells |
Recommended dilution
| Application | Dilution |
|---|---|
| Western Blot (WB) | WB : 1:2000-1:10000 |
| It is recommended that this reagent should be titrated in each testing system to obtain optimal results. | |
| Sample-dependent, Check data in validation data gallery. | |
Product Information
87379-1-RR targets IL9R in WB, ELISA applications and shows reactivity with human, rat samples.
| Tested Reactivity | human, rat |
| Host / Isotype | Rabbit / IgG |
| Class | Recombinant |
| Type | Antibody |
| Immunogen |
CatNo: Eg2902 Product name: recombinant human IL9R protein Source: mammalian cells-derived, V37 Tag: C-rFc Domain: 40-270 aa of NM_002186.2 Sequence: VSVTGEGQGPRSRTFTCLTNNILRIDCHWSAPELGQGSSPWLLFTSNQAPGGTHKCILRGSECTVVLPPEAVLVPSDNFTITFHHCMSGREQVSLVDPEYLPRRHVKLDPPSDLQSNISSGHCILTWSISPALEPMTTLLSYELAFKKQEEAWEQAQHRDHIVGVTWLILEAFELDPGFIHEARLRVQMATLEDDVVEEERYTGQWSEWSQPVCFQAPQRQGPLIPPWGWP Predict reactive species |
| Full Name | interleukin 9 receptor |
| Calculated Molecular Weight | 57 kDa |
| Observed Molecular Weight | 57 kDa |
| GenBank Accession Number | NM_002186.2 |
| Gene Symbol | IL9R |
| Gene ID (NCBI) | 3581 |
| Conjugate | Unconjugated |
| Form | Liquid |
| Purification Method | Protein A purification |
| UNIPROT ID | Q01113-1 |
| Storage Buffer | PBS with 0.02% sodium azide and 50% glycerol, pH 7.3. |
| Storage Conditions | Store at -20°C. Stable for one year after shipment. Aliquoting is unnecessary for -20oC storage. 20ul sizes contain 0.1% BSA. |
Background Information
Interleukin-9 (IL-9) is a cytokine produced by various cell types including TH2, TH9, TH17, regulatory T (Treg) cells, mast cells, type 2 innate lymphoid cells (ILC2), and CD8+ T cells. IL-9 activates the phosphorylation of Janus kinase 1 (JAK1) and JAK3 by binding to its receptor, IL-9R, thus initiating downstream transcriptional signaling and exerting its biological functions.
Protocols
| Product Specific Protocols | |
|---|---|
| WB protocol for IL9R antibody 87379-1-RR | Download protocol |
| Standard Protocols | |
|---|---|
| Click here to view our Standard Protocols |



