Tested Applications
| Positive WB detected in | mouse brain membrane protein, rat brain membrane protein |
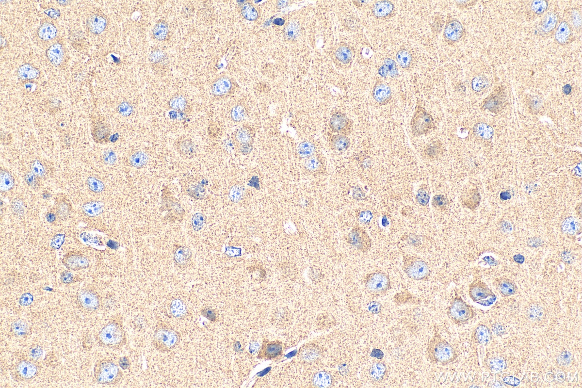
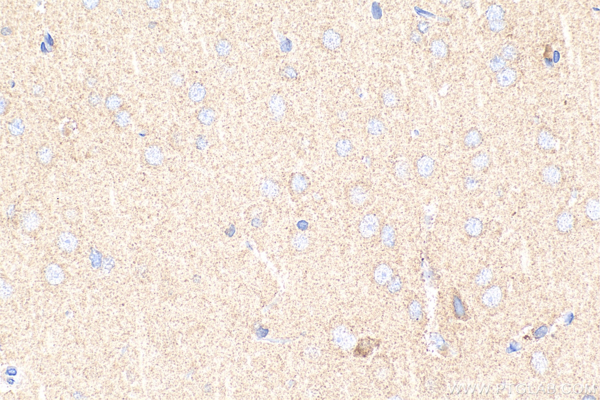
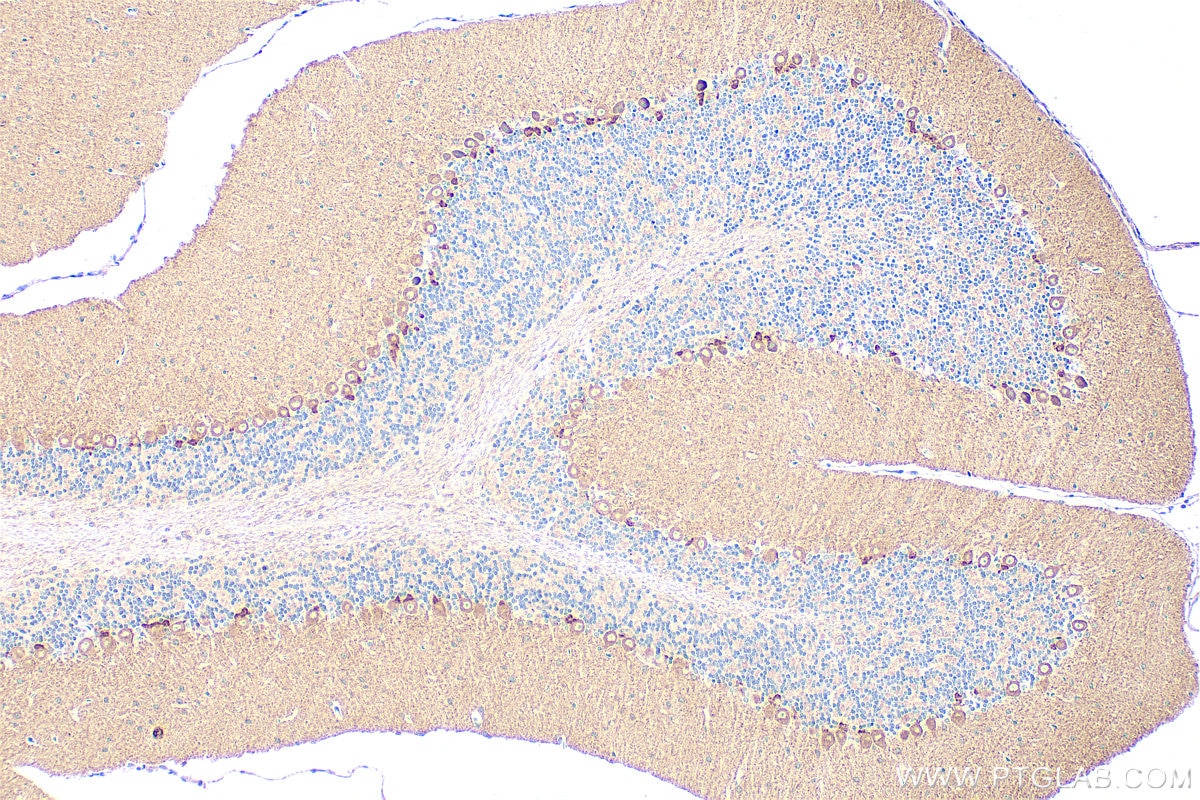
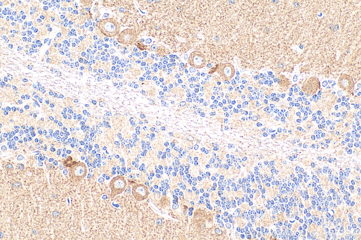
| Positive IHC detected in | mouse cerebellum tissue, mouse brain tissue, rat brain tissue Note: suggested antigen retrieval with TE buffer pH 9.0; (*) Alternatively, antigen retrieval may be performed with citrate buffer pH 6.0 |
| Positive IF-P detected in | mouse brain tissue |
Recommended dilution
| Application | Dilution |
|---|---|
| Western Blot (WB) | WB : 1:500-1:1000 |
| Immunohistochemistry (IHC) | IHC : 1:50-1:500 |
| Immunofluorescence (IF)-P | IF-P : 1:50-1:500 |
| It is recommended that this reagent should be titrated in each testing system to obtain optimal results. | |
| Sample-dependent, Check data in validation data gallery. | |
Product Information
22158-1-AP targets KCNMA1 in WB, IHC, IF-P, ELISA applications and shows reactivity with human, mouse, rat samples.
| Tested Reactivity | human, mouse, rat |
| Host / Isotype | Rabbit / IgG |
| Class | Polyclonal |
| Type | Antibody |
| Immunogen |
CatNo: Ag17802 Product name: Recombinant human KCNMA1 protein Source: e coli.-derived, PGEX-4T Tag: GST Domain: 829-1178 aa of BC137115 Sequence: KREWETLHNFPKVSILPGTPLSRADLRAVNINLCDMCVILSANQNNIDDTSLQDKECILASLNIKSMQFDDSIGVLQANSQGFTPPGMDRSSPDNSPVHGMLRQPSITTGVNIPIITELVNDTNVQFLDQDDDDDPDTELYLTQPFACGTAFAVSVLDSLMSATYFNDNILTLIRTLVTGGATPELEALIAEENALRGGYSTPQTLANRDRCRVAQLALLDGPFADLGDGGCYGDLFCKALKTYNMLCFGIYRLRDAHLSTPSQCTKRYVITNPPYEFELVPTDLIFCLMQFDHNAGQSRASLSHSSHSSQSSSKKSSSVHSIPSTANRQNRPKSRESRDKQKYVQEERL Predict reactive species |
| Full Name | potassium large conductance calcium-activated channel, subfamily M, alpha member 1 |
| Calculated Molecular Weight | 1236 aa, 138 kDa |
| Observed Molecular Weight | ~130 kDa |
| GenBank Accession Number | BC137115 |
| Gene Symbol | KCNMA1 |
| Gene ID (NCBI) | 3778 |
| RRID | AB_3669389 |
| Conjugate | Unconjugated |
| Form | Liquid |
| Purification Method | Antigen affinity purification |
| UNIPROT ID | Q12791 |
| Storage Buffer | PBS with 0.02% sodium azide and 50% glycerol, pH 7.3. |
| Storage Conditions | Store at -20°C. Stable for one year after shipment. Aliquoting is unnecessary for -20oC storage. 20ul sizes contain 0.1% BSA. |
Background Information
Calcium-activated potassium channel subunit alpha-1 also known as large conductance calcium-activated potassium channel, subfamily M, alpha member 1 (KCa1.1), or BK channel alpha subunit, is a voltage-gated potassium channel encoded by the KCNMA1 gene and characterized by their large conductance of potassium ions (K+) through cell membranes. KCNMA1 is widely distributed in human cell membranes, especially in muscle cells and neurons. They regulate the excitability of cells through sensitivity to calcium ions (Ca²⁺) and voltage, thereby affecting key physiological processes such as muscle contraction and nerve signal transduction.
Protocols
| Product Specific Protocols | |
|---|---|
| IF protocol for KCNMA1 antibody 22158-1-AP | Download protocol |
| IHC protocol for KCNMA1 antibody 22158-1-AP | Download protocol |
| WB protocol for KCNMA1 antibody 22158-1-AP | Download protocol |
| Standard Protocols | |
|---|---|
| Click here to view our Standard Protocols |

















