Tested Applications
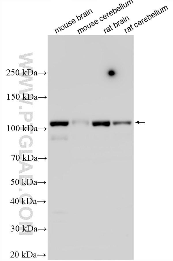
| Positive WB detected in | mouse brain tissue, pig heart tissue, mouse cerebellum tissue, rat brain tissue, rat cerebellum tissue |
| Positive IHC detected in | mouse brain tissue Note: suggested antigen retrieval with TE buffer pH 9.0; (*) Alternatively, antigen retrieval may be performed with citrate buffer pH 6.0 |
Recommended dilution
| Application | Dilution |
|---|---|
| Western Blot (WB) | WB : 1:500-1:2000 |
| Immunohistochemistry (IHC) | IHC : 1:50-1:500 |
| It is recommended that this reagent should be titrated in each testing system to obtain optimal results. | |
| Sample-dependent, Check data in validation data gallery. | |
Published Applications
| WB | See 2 publications below |
Product Information
19966-1-AP targets KCNQ3 in WB, IHC, ELISA applications and shows reactivity with human, mouse, rat, pig samples.
| Tested Reactivity | human, mouse, rat, pig |
| Cited Reactivity | mouse |
| Host / Isotype | Rabbit / IgG |
| Class | Polyclonal |
| Type | Antibody |
| Immunogen |
Peptide Predict reactive species |
| Full Name | potassium voltage-gated channel, KQT-like subfamily, member 3 |
| Calculated Molecular Weight | 97 kDa |
| Observed Molecular Weight | 90-100 kDa |
| GenBank Accession Number | NM_004519 |
| Gene Symbol | KCNQ3 |
| Gene ID (NCBI) | 3786 |
| RRID | AB_2878632 |
| Conjugate | Unconjugated |
| Form | Liquid |
| Purification Method | Antigen affinity purification |
| UNIPROT ID | O43525 |
| Storage Buffer | PBS with 0.02% sodium azide and 50% glycerol, pH 7.3. |
| Storage Conditions | Store at -20°C. Stable for one year after shipment. Aliquoting is unnecessary for -20oC storage. 20ul sizes contain 0.1% BSA. |
Background Information
KCNQ3, also named as BFNC2, EBN2 and KV7.3, belongs to the potassium channel family and KQT subfamily. KCNQ3 is probably important in the regulation of neuronal excitability. Associates with KCNQ2 or KCNQ5, KCNQ3 forms a potassium channel with essentially identical properties to the channel underlying the native M-current, a slowly activating and deactivating potassium conductance which plays a critical role in determining the subthreshold electrical excitability of neurons as well as the responsiveness to synaptic inputs. Defects in KCNQ3 are the cause of benign neonatal epilepsy type 2 (EBN2). The antibody recognizes the C-term of KCNQ3.
Protocols
| Product Specific Protocols | |
|---|---|
| IHC protocol for KCNQ3 antibody 19966-1-AP | Download protocol |
| WB protocol for KCNQ3 antibody 19966-1-AP | Download protocol |
| Standard Protocols | |
|---|---|
| Click here to view our Standard Protocols |
Publications
| Species | Application | Title |
|---|---|---|
Hippocampus Impacted spike frequency adaptation associated with reduction of KCNQ2/3 exacerbates seizure activity in temporal lobe epilepsy | ||
Genes (Basel) Differential Dorsolateral Prefrontal Cortex Proteomic Profiles of Suicide Victims with Mood Disorders. |







