Tested Applications
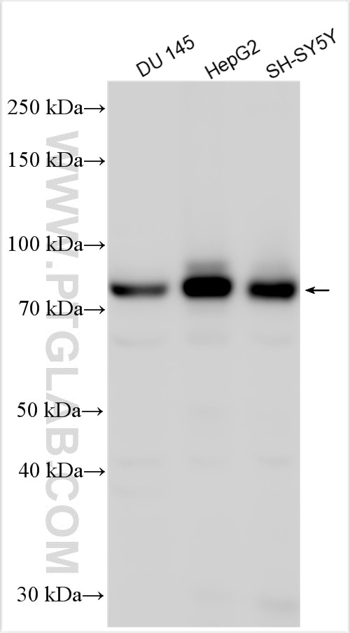
| Positive WB detected in | DU 145 cells, HepG2 cells, SH-SY5Y cells |
Recommended dilution
| Application | Dilution |
|---|---|
| Western Blot (WB) | WB : 1:1000-1:4000 |
| It is recommended that this reagent should be titrated in each testing system to obtain optimal results. | |
| Sample-dependent, Check data in validation data gallery. | |
Product Information
31461-1-AP targets KIAA0323 in WB, ELISA applications and shows reactivity with human samples.
| Tested Reactivity | human |
| Host / Isotype | Rabbit / IgG |
| Class | Polyclonal |
| Type | Antibody |
| Immunogen |
CatNo: Ag35413 Product name: Recombinant human KIAA0323 protein Source: e coli.-derived, PGEX-4T Tag: GST Domain: 590-678 aa of BC042554 Sequence: FLKKPARTQGSSKAQHPSRGFAEHGKQQQGREEEKGSGGIRKTRETERLRRQLLEVFWGQDHKVDFILQREPYCRDINQLSEALLSLNF Predict reactive species |
| Full Name | KIAA0323 |
| Observed Molecular Weight | 75 kDa |
| GenBank Accession Number | BC042554 |
| Gene Symbol | KIAA0323 |
| Gene ID (NCBI) | 23351 |
| RRID | AB_3669995 |
| Conjugate | Unconjugated |
| Form | Liquid |
| Purification Method | Antigen affinity Purification |
| UNIPROT ID | O15037 |
| Storage Buffer | PBS with 0.02% sodium azide and 50% glycerol, pH 7.3. |
| Storage Conditions | Store at -20°C. Stable for one year after shipment. Aliquoting is unnecessary for -20oC storage. 20ul sizes contain 0.1% BSA. |
Background Information
KIAA0323, also known as KHNYN or KH and NYN domain-containing protein, contains a ribonuclease NYN domain and belongs to the N4BP1 family. The protein is a cofactor for the zinc finger antiviral protein (ZAP protein) which targets viral RNA for degradation and restricts SARS-CoV-2 infection.
Protocols
| Product Specific Protocols | |
|---|---|
| WB protocol for KIAA0323 antibody 31461-1-AP | Download protocol |
| Standard Protocols | |
|---|---|
| Click here to view our Standard Protocols |

