LHFPL1 Polyclonal antibody

LHFPL1 Polyclonal Antibody for IHC, ELISA
Cat No. 21005-1-AP

Host / Isotype

Rabbit / IgG

Reactivity

human

Applications

IHC, ELISA

LHFPL1

Formulation:  PBS, Azide, Glycerol
PBS, Azide, Glycerol
Conjugate:  Unconjugated
Unconjugated
Size/Concentration: 

-/ -

Freight/Packing: -

Quantity

Please visit your regions distributor:


Tested Applications

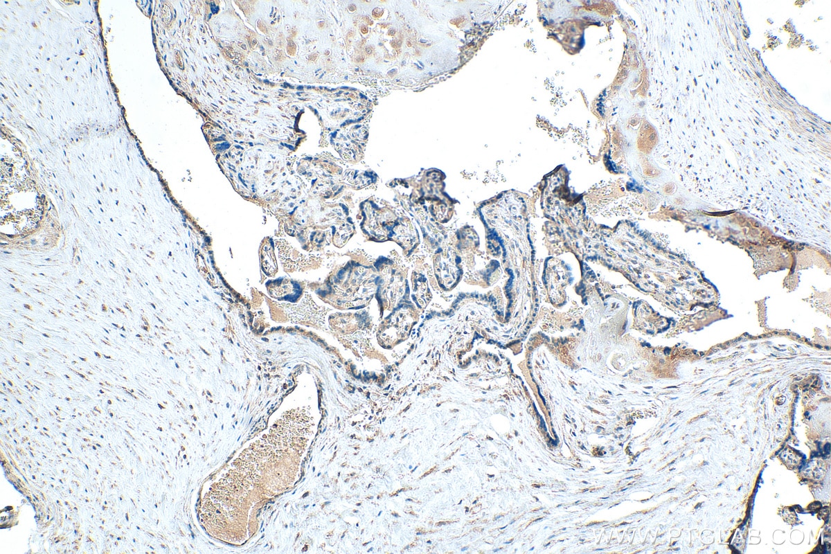
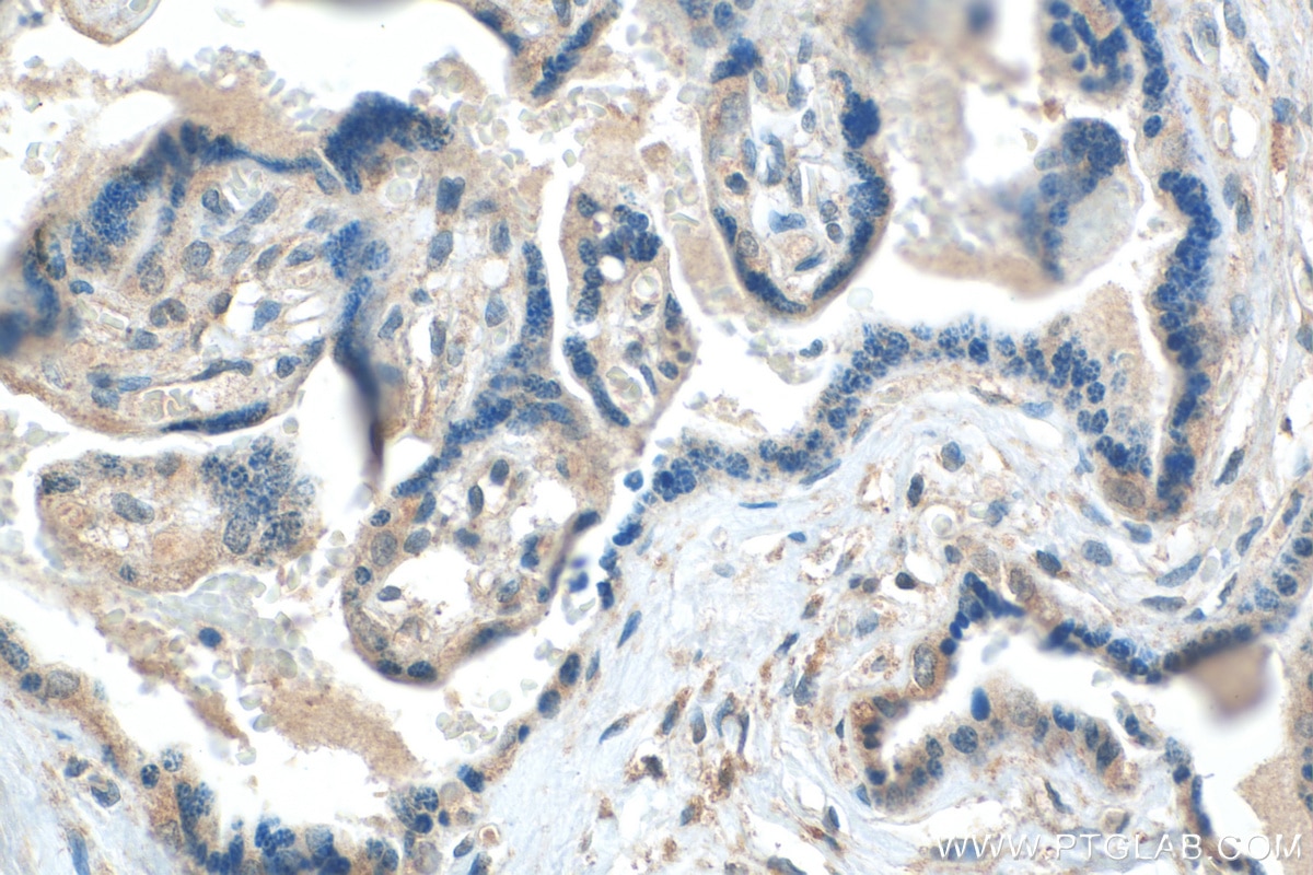
Positive IHC detected inhuman placenta tissue
Note: suggested antigen retrieval with TE buffer pH 9.0; (*) Alternatively, antigen retrieval may be performed with citrate buffer pH 6.0

Recommended dilution

ApplicationDilution
Immunohistochemistry (IHC)IHC : 1:50-1:500
It is recommended that this reagent should be titrated in each testing system to obtain optimal results.
Sample-dependent, Check data in validation data gallery.

Product Information

21005-1-AP targets LHFPL1 in IHC, ELISA applications and shows reactivity with human samples.

Tested Reactivity human
Host / Isotype Rabbit / IgG
Class Polyclonal
Type Antibody
Immunogen

CatNo: Ag15208

Product name: Recombinant human LHFPL1 protein

Source: e coli.-derived, PGEX-4T

Tag: GST

Domain: 137-187 aa of BC100786

Sequence: YCAGGGAAAAMLICTWLSCFAGRNPKPVILVESIMRNTNSYAMELDHCLKP

Predict reactive species
Full Name lipoma HMGIC fusion partner-like 1
Calculated Molecular Weight 220 aa, 24 kDa
GenBank Accession NumberBC100786
Gene Symbol LHFPL1
Gene ID (NCBI) 340596
RRIDAB_3085631
Conjugate Unconjugated
FormLiquid
Purification MethodAntigen affinity purification
UNIPROT IDQ86WI0
Storage Buffer PBS with 0.02% sodium azide and 50% glycerol, pH 7.3.
Storage ConditionsStore at -20°C. Stable for one year after shipment. Aliquoting is unnecessary for -20oC storage. 20ul sizes contain 0.1% BSA.

Protocols

Product Specific Protocols
IHC protocol for LHFPL1 antibody 21005-1-APDownload protocol
Standard Protocols
Click here to view our Standard Protocols
Loading...
||
New chat

Able

正在加载,请稍候...