Tested Applications
| Positive WB detected in | Daudi cells, Raji cells, mouse thymus tissue, rat thymus tissue |
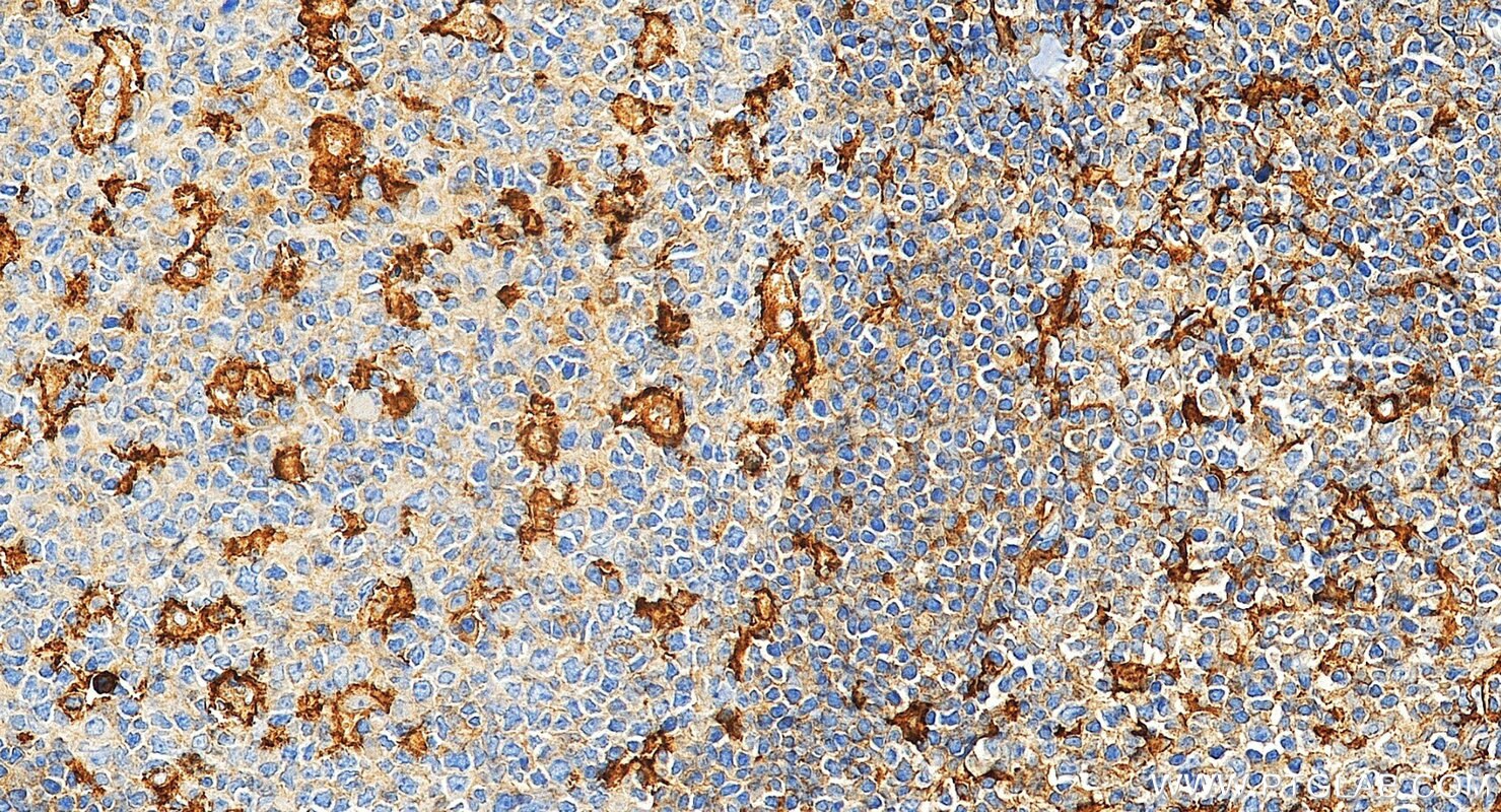
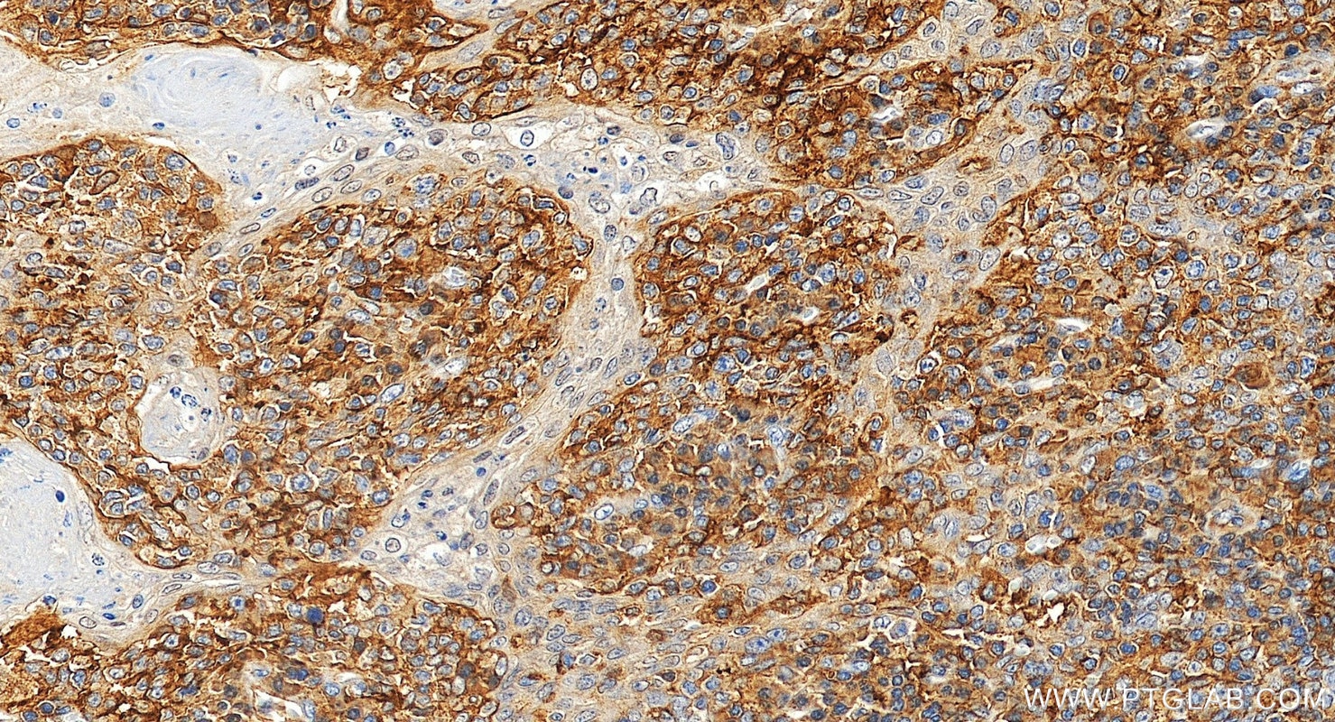
| Positive IHC detected in | human tonsillitis tissue Note: suggested antigen retrieval with TE buffer pH 9.0; (*) Alternatively, antigen retrieval may be performed with citrate buffer pH 6.0 |
Recommended dilution
| Application | Dilution |
|---|---|
| Western Blot (WB) | WB : 1:500-1:2000 |
| Immunohistochemistry (IHC) | IHC : 1:250-1:1000 |
| It is recommended that this reagent should be titrated in each testing system to obtain optimal results. | |
| Sample-dependent, Check data in validation data gallery. | |
Product Information
32754-1-AP targets LY75/DEC-205 in WB, IHC, ELISA applications and shows reactivity with human, mouse, rat samples.
| Tested Reactivity | human, mouse, rat |
| Host / Isotype | Rabbit / IgG |
| Class | Polyclonal |
| Type | Antibody |
| Immunogen |
CatNo: Eg3439 Product name: Recombinant Human LY75/CD205 protein (rFc Tag) Source: mammalian cells-derived, pHZ-KIsec-C-rFc Tag: C-rFc Domain: 28-1666 aa of NM_002349.4 Sequence: SGRAANDPFTIVHGNTGKCIKPVYGWIVADDCDETEDKLWKWVSQHRLFHLHSQKCLGLDITKSVNELRMFSCDSSAMLWWKCEHHSLYGAARYRLALKDGHGTAISNASDVWKKGGSEESLCDQPYHEIYTRDGNSYGRPCEFPFLIDGTWHHDCILDEDHSGPWCATTLNYEYDRKWGICLKPENGCEDNWEKNEQFGSCYQFNTQTALSWKEAYVSCQNQGADLLSINSAAELTYLKEKEGIAKIFWIGLNQLYSARGWEWSDHKPLNFLNWDPDRPSAPTIGGSSCARMDAESGLWQSFSCEAQLPYVCRKPLNNTVELTDVWTYSDTRCDAGWLPNNGFCYLLVNESNSWDKAHAKCKAFSSDLISIHSLADVEVVVTKLHNEDIKEEVWIGLKNINIPTLFQWSDGTEVTLTYWDENEPNVPYNKTPNCVSYLGELGQWKVQSCEEKLKYVCKRKGEKLNDASSDKMCPPDEGWKRHGETCYKIYEDEVPFGTNCNLTITSRFEQEYLNDLMKKYDKSLRKYFWTGLRDVDSCGEYNWATVGGRRRAVTFSNWNFLEPASPGGCVAMSTGKSVGKWEVKDCRSFKALSICKKMSGPLGPEEASPKPDDPCPEGWQSFPASLSCYKVFHAERIVRKRNWEEAERFCQALGAHLSSFSHVDEIKEFLHFLTDQFSGQHWLWIGLNKRSPDLQGSWQWSDRTPVSTIIMPNEFQQDYDIRDCAAVKVFHRPWRRGWHFYDDREFIYLRPFACDTKLEWVCQIPKGRTPKTPDWYNPDRAGIHGPPLIIEGSEYWFVADLHLNYEEAVLYCASNHSFLATITSFVGLKAIKNKIANISGDGQKWWIRISEWPIDDHFTYSRYPWHRFPVTFGEECLYMSAKTWLIDLGKPTDCSTKLPFICEKYNVSSLEKYSPDSAAKVQCSEQWIPFQNKCFLKIKPVSLTFSQASDTCHSYGGTLPSVLSQIEQDFITSLLPDMEATLWIGLRWTAYEKINKWTDNRELTYSNFHPLLVSGRLRIPENFFEEESRYHCALILNLQKSPFTGTWNFTSCSERHFVSLCQKYSEVKSRQTLQNASETVKYLNNLYKIIPKTLTWHSAKRECLKSNMQLVSITDPYQQAFLSVQALLHNSSLWIGLFSQDDELNFGWSDGKRLHFSRWAETNGQLEDCVVLDTDGFWKTVDCNDNQPGAICYYSGNETEKEVKPVDSVKCPSPVLNTPWIPFQNCCYNFIITKNRHMATTQDEVHTKCQKLNPKSHILSIRDEKENNFVLEQLLYFNYMASWVMLGITYRNKSLMWFDKTPLSYTHWRAGRPTIKNEKFLAGLSTDGFWDIQTFKVIEEAVYFHQHSILACKIEMVDYKEEYNTTLPQFMPYEDGIYSVIQKKVTWYEALNMCSQSGGHLASVHNQNGQLFLEDIVKRDGFPLWVGLSSHDGSESSFEWSDGSTFDYIPWKGQTSPGNCVLLDPKGTWKHEKCNSVKDGAICYKPTKSKKLSRLTYSSRCPAAKENGSRWIQYKGHCYKSDQALHSFSEAKKLCSKHDHSATIVSIKDEDENKFVSRLMRENNNITMRVWLGLSQHSVDQSWSWLDGSEVTFVKWENKSKSGVGRCSMLIASNETWKKVECEHGFGRVVCKVPLGPD Predict reactive species |
| Full Name | lymphocyte antigen 75 |
| Calculated Molecular Weight | 198kDa |
| Observed Molecular Weight | 198-250 kDa |
| GenBank Accession Number | NM_002349.4 |
| Gene Symbol | CD205 |
| Gene ID (NCBI) | 4065 |
| Conjugate | Unconjugated |
| Form | Liquid |
| Purification Method | Antigen affinity Purification |
| UNIPROT ID | O60449-1 |
| Storage Buffer | PBS with 0.02% sodium azide and 50% glycerol, pH 7.3. |
| Storage Conditions | Store at -20°C. Stable for one year after shipment. Aliquoting is unnecessary for -20oC storage. 20ul sizes contain 0.1% BSA. |
Background Information
LY75, also known as DEC-205 or CD205, is a type I transmembrane protein belonging to the C-type lectin receptor family. It is primarily expressed on dendritic cells (DCs) and thymic epithelium, but is also found on monocytes, T and B lymphocytes, and various other tissues, including intestinal and pulmonary epithelia.
Protocols
| Product Specific Protocols | |
|---|---|
| IHC protocol for LY75/DEC-205 antibody 32754-1-AP | Download protocol |
| WB protocol for LY75/DEC-205 antibody 32754-1-AP | Download protocol |
| Standard Protocols | |
|---|---|
| Click here to view our Standard Protocols |







