MAFK Polyclonal antibody

MAFK Polyclonal Antibody for WB, IF/ICC, ELISA
Cat No. 33199-1-AP

Host / Isotype

Rabbit / IgG

Reactivity

human

Applications

WB, IF/ICC, ELISA

Erythroid transcription factor NF-E2 p18 subunit, Transcription factor MafK

Formulation:  PBS, Azide, Glycerol
PBS, Azide, Glycerol
Conjugate:  Unconjugated
Unconjugated
Size/Concentration: 

-/ -

Freight/Packing: -

Quantity

Please visit your regions distributor:


Tested Applications

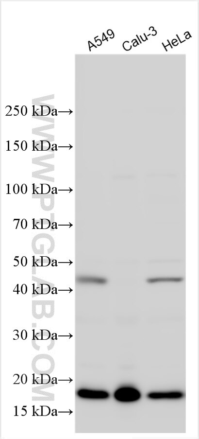
Positive WB detected inA549 cells, Calu-3 cells, HeLa cells
Positive IF/ICC detected inHeLa cells

Recommended dilution

ApplicationDilution
Western Blot (WB)WB : 1:1000-1:8000
Immunofluorescence (IF)/ICCIF/ICC : 1:400-1:1600
It is recommended that this reagent should be titrated in each testing system to obtain optimal results.
Sample-dependent, Check data in validation data gallery.

Product Information

33199-1-AP targets MAFK in WB, IF/ICC, ELISA applications and shows reactivity with human samples.

Tested Reactivity human
Host / Isotype Rabbit / IgG
Class Polyclonal
Type Antibody
Immunogen

CatNo: Ag38230

Product name: Recombinant human MAFK protein

Source: e coli.-derived, PGEX-4T

Tag: GST

Domain: 1-156 aa of NM_002360.3

Sequence: MTTNPKPNKALKVKKEAGENAPVLSDDELVSMSVRELNQHLRGLTKEEVTRLKQRRRTLKNRGYAASCRIKRVTQKEELERQRVELQQEVEKLARENSSMRLELDALRSKYEALQTFARTVARGPVAPSKVATTSVITIVKSTELSSTSVPFSAAS

Predict reactive species
Full Name v-maf musculoaponeurotic fibrosarcoma oncogene homolog K (avian)
Calculated Molecular Weight18 kDa,156aa
Observed Molecular Weight18 kDa
GenBank Accession NumberNM_002360.3
Gene Symbol MAFK
Gene ID (NCBI) 7975
Conjugate Unconjugated
FormLiquid
Purification MethodAntigen affinity Purification
UNIPROT IDO60675
Storage Buffer PBS with 0.02% sodium azide and 50% glycerol, pH 7.3.
Storage ConditionsStore at -20°C. Stable for one year after shipment. Aliquoting is unnecessary for -20oC storage. 20ul sizes contain 0.1% BSA.

Background Information

The small Maf proteins (sMafs) are basic region leucine zipper (bZIP)-type transcription factors. MAFF, MAFG, and MAFK are the three vertebrate sMafs (PMID: 27058431). They act as transcriptional activators by dimerizing with other (usually larger) basic-zipper proteins, such as NFE2, NFE2L1/NRF1, NFE2L2/NRF2, and NFE2L3/NRF3, and recruiting them to specific DNA-binding sites (PMID: 8932385; 9150357). In cancer cell lines, MAFK promotes epithelial-to-mesenchymal transition (EMT) by downregulating E-cadherin expression through the targeting of transmembrane glycoprotein nonmetastatic B (GPNMB), a potent inducer of EMT (PMID: 28400538; 36061142).

Protocols

Product Specific Protocols
IF protocol for MAFK antibody 33199-1-APDownload protocol
WB protocol for MAFK antibody 33199-1-APDownload protocol
Standard Protocols
Click here to view our Standard Protocols
Loading...
||
New chat

Able

正在加载,请稍候...