MAGEA4 Recombinant monoclonal antibody

MAGEA4 Uni-rAb® Recombinant Antibody for IHC, ELISA
Cat No. 84248-8-RR
Clone No.241558D9

Host / Isotype

Rabbit / IgG

Reactivity

human

Applications

IHC, ELISA

Cancer/testis antigen 1.4, CT1.4, MAGE 4 antigen, MAGE 41, MAGE 41 antigen

Formulation:  PBS, Azide, Glycerol
PBS, Azide, Glycerol
PBS Only
Conjugate:  Unconjugated
Unconjugated
Size/Concentration: 

-/ -

Freight/Packing: -

Quantity

Please visit your regions distributor:


Tested Applications

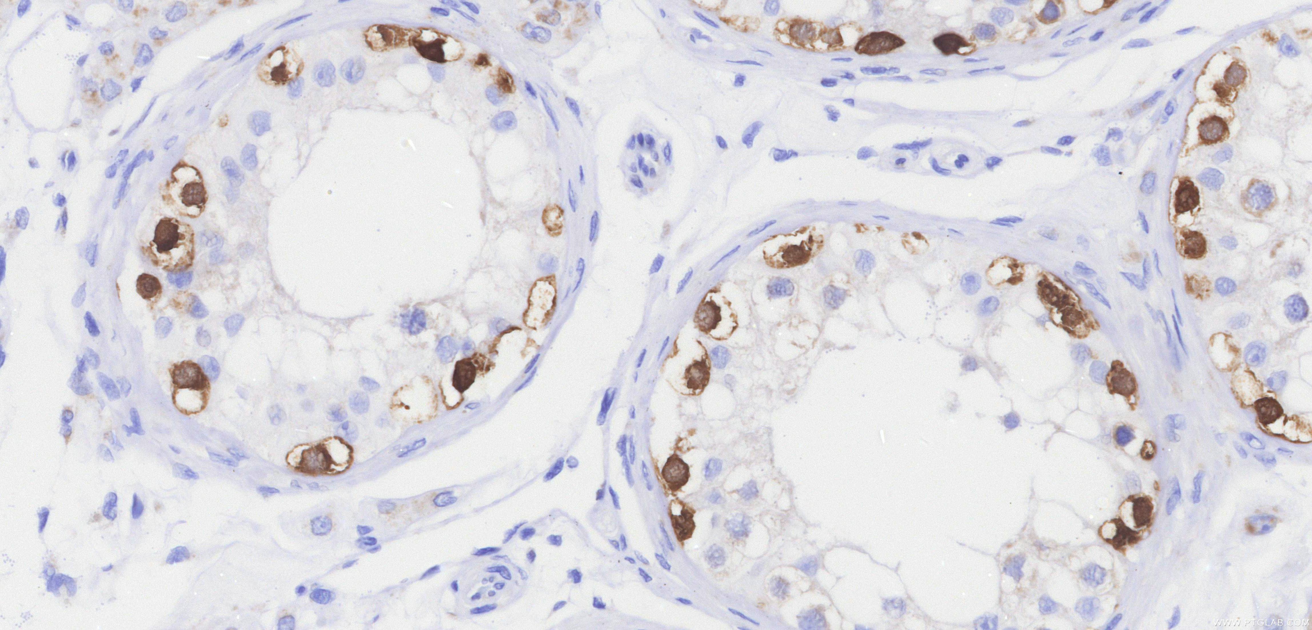
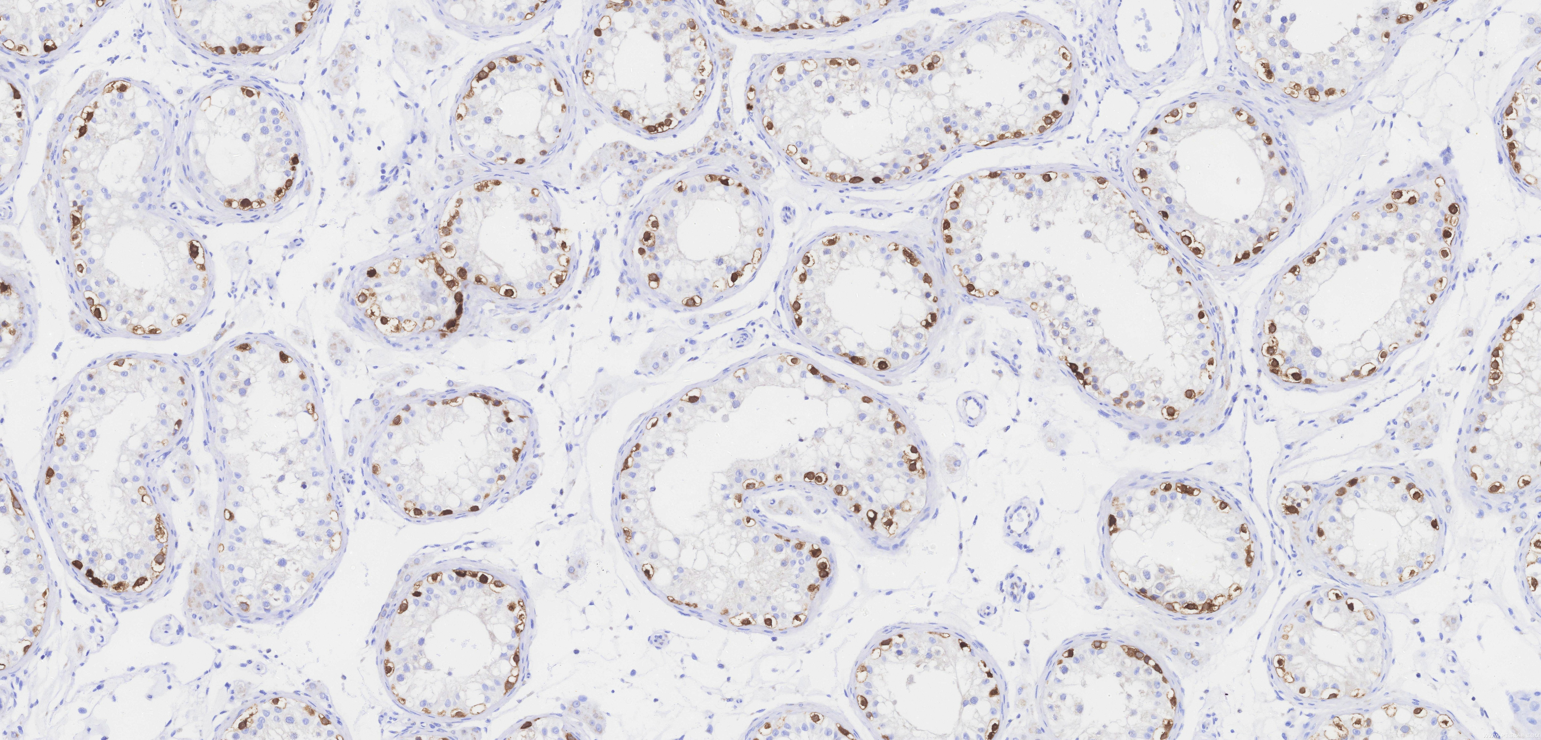
Positive IHC detected inhuman testis tissue
Note: suggested antigen retrieval with TE buffer pH 9.0; (*) Alternatively, antigen retrieval may be performed with citrate buffer pH 6.0

Recommended dilution

ApplicationDilution
Immunohistochemistry (IHC)IHC : 1:1500-1:6000
It is recommended that this reagent should be titrated in each testing system to obtain optimal results.
Sample-dependent, Check data in validation data gallery.

Product Information

84248-8-RR targets MAGEA4 in IHC, ELISA applications and shows reactivity with human samples.

Tested Reactivity human
Host / Isotype Rabbit / IgG
Class Recombinant
Type Antibody
Immunogen

CatNo: Ag3193

Product name: Recombinant human MAGEA4 protein

Source: e coli.-derived, PGEX-4T

Tag: GST

Domain: 1-317 aa of BC017723

Sequence: MSSEQKSQHCKPEEGVEAQEEALGLVGAQAPTTEEQEAAVSSSSPLVPGTLEEVPAAESAGPPQSPQGASALPTTISFTCWRQPNEGSSSQEEEGPSTSPDAESLFREALSNKVDELAHFLLRKYRAKELVTKAEMLERVIKNYKRCFPVIFGKASESLKMIFGIDVKEVDPTSNTYTLVTCLGLSYDGLLGNNQIFPKTGLLIIVLGTIAMEGDSASEEEIWEELGVMGVYDGREHTVYGEPRKLLTQDWVQENYLEYRQVPGSNPARYEFLWGPRALAETSYVKVLEHVVRVNARVRIAYPSLREAALLEEEEGV

Predict reactive species
Full Name melanoma antigen family A, 4
Calculated Molecular Weight 317 aa, 35 kDa
GenBank Accession NumberBC017723
Gene Symbol MAGEA4
Gene ID (NCBI) 4103
Conjugate Unconjugated
FormLiquid
Purification MethodProtein A purification
UNIPROT IDP43358
Storage Buffer PBS with 0.02% sodium azide and 50% glycerol, pH 7.3.
Storage ConditionsStore at -20°C. Stable for one year after shipment. Aliquoting is unnecessary for -20oC storage. 20ul sizes contain 0.1% BSA.

Background Information

MAGEA4, also named MAGE4 and CT1.4, is one of the germ cell-specific markers (PMID:16540528). SMAGEA4 is one of the subgroup I MAGEAs members, which may play important roles in the immune surveillance of certain tumor types and play important roles during embryogenesis.(PMID:15222021)

Protocols

Product Specific Protocols
IHC protocol for MAGEA4 antibody 84248-8-RRDownload protocol
Standard Protocols
Click here to view our Standard Protocols
Loading...
||
New chat

Able

正在加载,请稍候...