Tested Applications
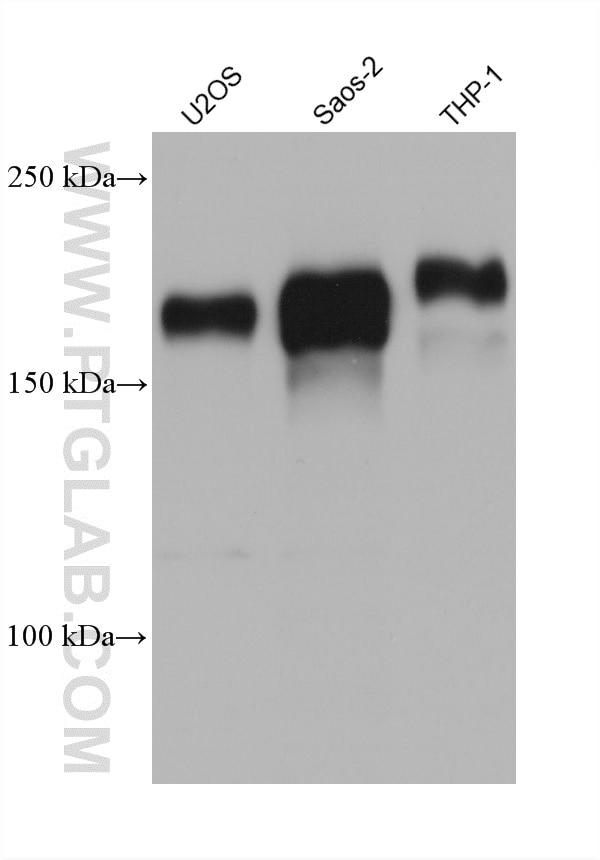
| Positive WB detected in | U2OS cells, Saos-2 cells, THP-1 cells |
Recommended dilution
| Application | Dilution |
|---|---|
| Western Blot (WB) | WB : 1:2000-1:10000 |
| It is recommended that this reagent should be titrated in each testing system to obtain optimal results. | |
| Sample-dependent, Check data in validation data gallery. | |
Product Information
60930-1-Ig targets MRC2 in WB, ELISA applications and shows reactivity with human samples.
| Tested Reactivity | human |
| Host / Isotype | Mouse / IgG1 |
| Class | Monoclonal |
| Type | Antibody |
| Immunogen |
CatNo: Ag15570 Product name: Recombinant human MRC2 protein Source: e coli.-derived, PGEX-4T Tag: GST Domain: 1066-1415 aa of BC146647 Sequence: PSPAPSGNKPTSCAVVLHSPSAHFTGRWDDRSCTEETHGFICQKGTDPSLSPSPAALPPAPGTELSYLNGTFRLLQKPLRWHDALLLCESHNASLAYVPDPYTQAFLTQAARGLRTPLWIGLAGEEGSRRYSWVSEEPLNYVGWQDGEPQQPGGCTYVDVDGAWRTTSCDTKLQGAVCGVSSGPPPPRRISYHGSCPQGLADSAWIPFREHCYSFHMELLLGHKEARQRCQRAGGAVLSILDEMENVFVWEHLQSYEGQSRGAWLGMNFNPKGGTLVWQDNTAVNYSNWGPPGLGPSMLSHNSCYWIQSNSGLWRPGACTNITMGVVCKLPRAEQSSFSPSALPENPAAL Predict reactive species |
| Full Name | mannose receptor, C type 2 |
| Calculated Molecular Weight | 1479 aa, 167 kDa |
| Observed Molecular Weight | 170 kDa |
| GenBank Accession Number | BC146647 |
| Gene Symbol | MRC2 |
| Gene ID (NCBI) | 9902 |
| Conjugate | Unconjugated |
| Form | Liquid |
| Purification Method | Protein G purification |
| UNIPROT ID | Q9UBG0 |
| Storage Buffer | PBS with 0.02% sodium azide and 50% glycerol, pH 7.3. |
| Storage Conditions | Store at -20°C. Stable for one year after shipment. Aliquoting is unnecessary for -20oC storage. 20ul sizes contain 0.1% BSA. |
Background Information
C-type mannose receptor 2 (MRC2), also known as CD280, CLEC13E, ENDO180, KIAA0709, or UPARAP, is a type I transmembrane glycoprotein that belongs to the macrophage mannose receptor protein family (PMID: 10683150; 10636902; 9734811). It contains an N-terminal cysteine-rich domain, a fibronectin type II domain (FNII), eight C-type-lectin-like domains, and a transmembrane region followed by a small cytoplasmic domain (PMID: 34012764). MRC2 is a recycling endocytic receptor that functions in both these cellular activities by promoting cell migration and uptake of collagens for intracellular degradation (PMID: 17974964). MRC2 is expressed in several cells and organs including fibroblasts, endothelial cells, and macrophages. Altered MRC2 expression has been associated with the development and progression of different cancers, including head and neck squamous cell carcinoma, breast cancer, hepatocellular cancer, and prostate cancer (PMID: 36188226; 37666484; 17974964; 25162823).
Protocols
| Product Specific Protocols | |
|---|---|
| WB protocol for MRC2 antibody 60930-1-Ig | Download protocol |
| Standard Protocols | |
|---|---|
| Click here to view our Standard Protocols |

