Tested Applications
| Positive WB detected in | HEK-293 cells, HT-1376 cells, HeLa cells, HepG2 cells |
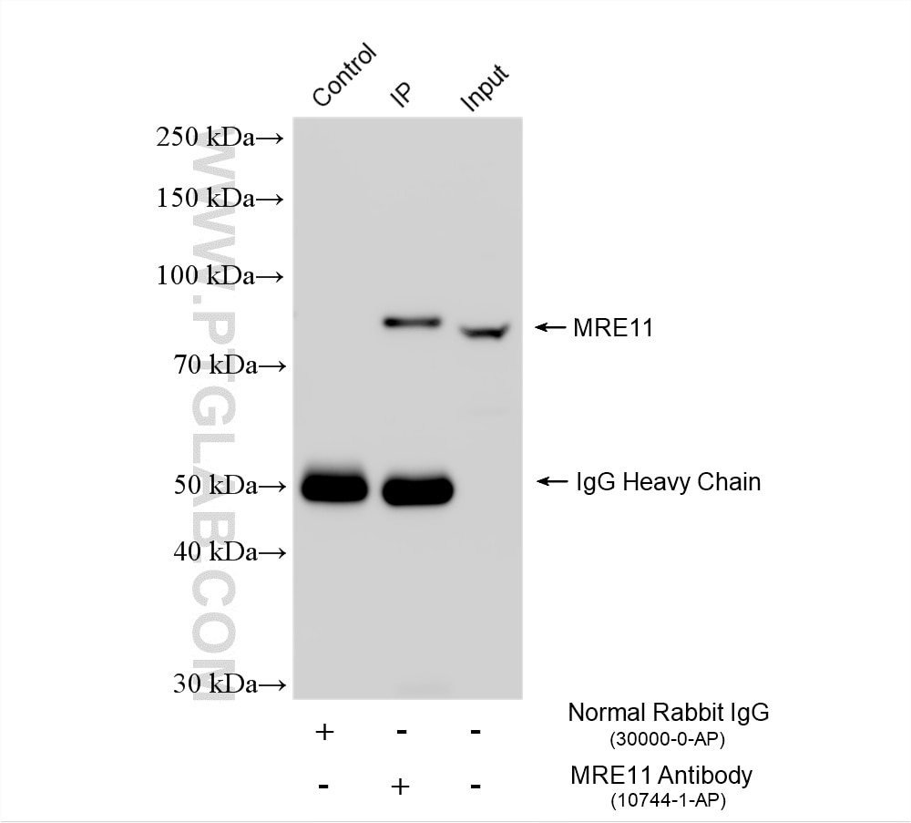
| Positive IP detected in | HeLa cells |
| Positive IHC detected in | human lymphoma tissue Note: suggested antigen retrieval with TE buffer pH 9.0; (*) Alternatively, antigen retrieval may be performed with citrate buffer pH 6.0 |
Recommended dilution
| Application | Dilution |
|---|---|
| Western Blot (WB) | WB : 1:500-1:2000 |
| Immunoprecipitation (IP) | IP : 0.5-4.0 ug for 1.0-3.0 mg of total protein lysate |
| Immunohistochemistry (IHC) | IHC : 1:20-1:200 |
| It is recommended that this reagent should be titrated in each testing system to obtain optimal results. | |
| Sample-dependent, Check data in validation data gallery. | |
Published Applications
| WB | See 14 publications below |
| IHC | See 1 publications below |
| IF | See 3 publications below |
| ChIP | See 1 publications below |
Product Information
10744-1-AP targets MRE11 in WB, IHC, IF, IP, ChIP, ELISA applications and shows reactivity with human, mouse, rat samples.
| Tested Reactivity | human, mouse, rat |
| Cited Reactivity | human, mouse, rat |
| Host / Isotype | Rabbit / IgG |
| Class | Polyclonal |
| Type | Antibody |
| Immunogen |
CatNo: Ag1105 Product name: Recombinant human MRE11A protein Source: e coli.-derived, PGEX-4T Tag: GST Domain: 1-206 aa of BC005241 Sequence: MSTADALDDENTFKILVATDIHLGFMEKDAVRGNDTFVTLDEILRLAQENEVDFILLGGDLFHENKPSRKTLHTCLELLRKYCMGDRPVQFEILSDQSVNFGFSKFPWVNYQDGNLNISIPVFSIHGNHDDPTGADALCALDILSCAGFVNHFGRSMSVEKIDISPVLLQKGSTKIALYGLGSIPDERLYRMFVNKKVTMLRPKED Predict reactive species |
| Full Name | MRE11 meiotic recombination 11 homolog A (S. cerevisiae) |
| Calculated Molecular Weight | 81 kDa |
| Observed Molecular Weight | 81 kDa |
| GenBank Accession Number | BC005241 |
| Gene Symbol | MRE11A |
| Gene ID (NCBI) | 4361 |
| RRID | AB_2145118 |
| Conjugate | Unconjugated |
| Form | Liquid |
| Purification Method | Antigen affinity purification |
| UNIPROT ID | P49959 |
| Storage Buffer | PBS with 0.02% sodium azide and 50% glycerol, pH 7.3. |
| Storage Conditions | Store at -20°C. Stable for one year after shipment. Aliquoting is unnecessary for -20oC storage. 20ul sizes contain 0.1% BSA. |
Background Information
Mre11 (meiotic recombination 11), also named as Mre11A, is a component of the MRN( MRE11/RAD50/NBS1) complex which is a versatile complex, playing a key role in the sensing, processing, and repair of DSBs. MRE11 possesses both endonuclease and 3'-5' exonuclease activity. It contains two DNA-binding domains (DBDs), enabling it to bind both single-stranded DNA (ssDNA) and double-stranded DNA (dsDNA). After DSBs, MRE11 is loaded onto DSBs sites and cleaves DNA by cooperating with CtIP (CtBP [C terminal binding protein] interacting protein) to initiate end resection. It's reported that MRE11 is over-expressed in breast cancers. (PMID:38128537; 22914783)
Protocols
| Product Specific Protocols | |
|---|---|
| IF protocol for MRE11 antibody 10744-1-AP | Download protocol |
| IHC protocol for MRE11 antibody 10744-1-AP | Download protocol |
| IP protocol for MRE11 antibody 10744-1-AP | Download protocol |
| WB protocol for MRE11 antibody 10744-1-AP | Download protocol |
| Standard Protocols | |
|---|---|
| Click here to view our Standard Protocols |
Publications
| Species | Application | Title |
|---|---|---|
Sci Transl Med Guanosine diphosphate-mannose suppresses homologous recombination repair and potentiates antitumor immunity in triple-negative breast cancer | ||
Nat Commun Crosstalk between SUMOylation and ubiquitylation controls DNA end resection by maintaining MRE11 homeostasis on chromatin | ||
Oncogene TRIM24 is critical for the cellular response to DNA double-strand breaks through regulating the recruitment of MRN complex | ||
Cell Death Dis Acquired temozolomide resistance in MGMTlow gliomas is associated with regulation of homologous recombination repair by ROCK2. | ||
Int Immunopharmacol Ibuprofen modulates macrophage polarization by downregulating poly (ADP-ribose) polymerase 1 | ||
Cell Genom NRDE2 deficiency impairs homologous recombination repair and sensitizes hepatocellular carcinoma to PARP inhibitors |
Reviews
The reviews below have been submitted by verified Proteintech customers who received an incentive for providing their feedback.
FH Arnaud (Verified Customer) (05-15-2025) | Works well
|







