Tested Applications
| Positive WB detected in | HT-1376 cells, SW 1990 cells, Saos-2 cells, HEK-293 cells, Caco-2 cells |
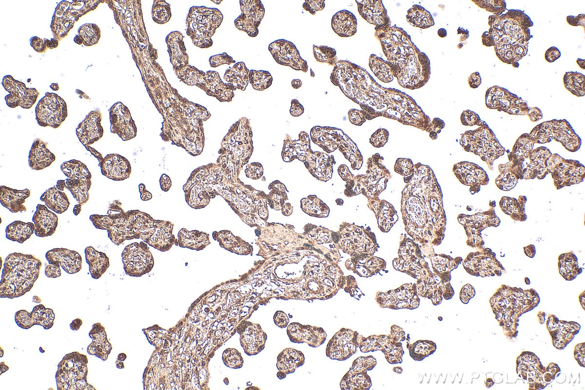
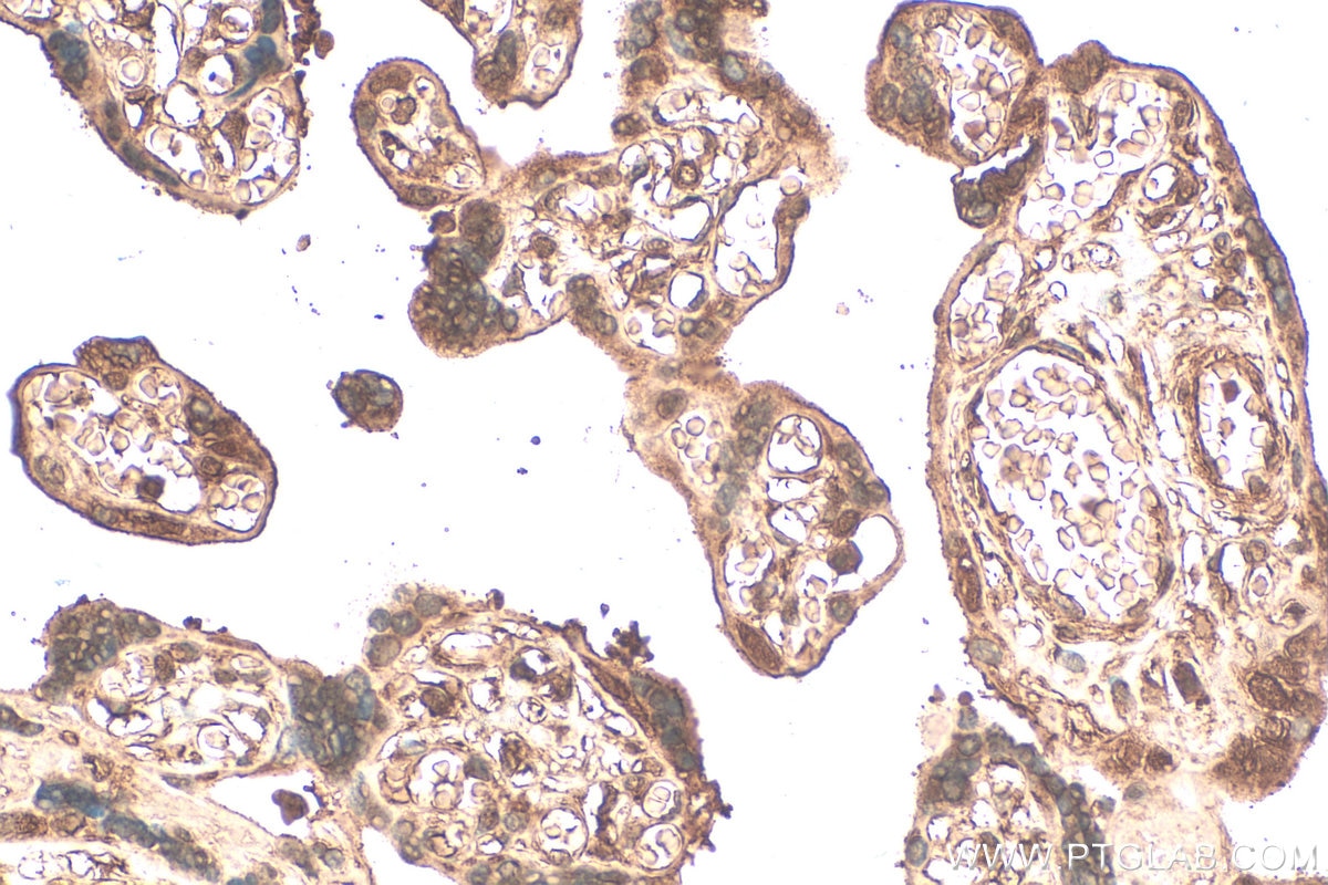
| Positive IHC detected in | human placenta tissue Note: suggested antigen retrieval with TE buffer pH 9.0; (*) Alternatively, antigen retrieval may be performed with citrate buffer pH 6.0 |
Recommended dilution
| Application | Dilution |
|---|---|
| Western Blot (WB) | WB : 1:2000-1:10000 |
| Immunohistochemistry (IHC) | IHC : 1:50-1:500 |
| It is recommended that this reagent should be titrated in each testing system to obtain optimal results. | |
| Sample-dependent, Check data in validation data gallery. | |
Published Applications
| WB | See 1 publications below |
| IHC | See 1 publications below |
Product Information
68550-1-Ig targets MSX2 in WB, IHC, ELISA applications and shows reactivity with human samples.
| Tested Reactivity | human |
| Cited Reactivity | human, rat |
| Host / Isotype | Mouse / IgG1 |
| Class | Monoclonal |
| Type | Antibody |
| Immunogen |
CatNo: Ag33220 Product name: Recombinant human MSX2 protein Source: e coli.-derived, PET28a Tag: 6*His Domain: 1-267 aa of BC015509 Sequence: MASPSKGNDLFSPDEEGPAVVAGPGPGPGGAEGAAEERRVKVSSLPFSVEALMSDKKPPKEASPLPAESASAGATLRPLLLSGHGAREAHSPGPLVKPFETASVKSENSEDGAAWMQEPGRYSPPPRHTSPTTCTLRKHKTNRKPRTPFTTSQLLALERKFRQKQYLSIAERAEFSSSLNLTETQVKIWFQNRRAKAKRLQEAELEKLKMAAKPMLPSSFSLPFPISSPLQAASIYGASYPFHRPVLPIPPVGLYATPVGYGMYHLS Predict reactive species |
| Full Name | msh homeobox 2 |
| Calculated Molecular Weight | 29 kDa |
| Observed Molecular Weight | 28-35 kDa |
| GenBank Accession Number | BC015509 |
| Gene Symbol | MSX2 |
| Gene ID (NCBI) | 4488 |
| RRID | AB_3085254 |
| Conjugate | Unconjugated |
| Form | Liquid |
| Purification Method | Protein G purification |
| UNIPROT ID | P35548 |
| Storage Buffer | PBS with 0.02% sodium azide and 50% glycerol, pH 7.3. |
| Storage Conditions | Store at -20°C. Stable for one year after shipment. Aliquoting is unnecessary for -20oC storage. 20ul sizes contain 0.1% BSA. |
Background Information
MSX2 (Msh Homeobox 2) is a transcription factor belonging to the MSX homeobox gene family, which plays crucial roles in embryonic development, cell differentiation, and tissue homeostasis. The apparent molecular weight is larger than the calculated molecular weight of 29 kDa, which is likely due to posttranslational modification.
Protocols
| Product Specific Protocols | |
|---|---|
| IHC protocol for MSX2 antibody 68550-1-Ig | Download protocol |
| WB protocol for MSX2 antibody 68550-1-Ig | Download protocol |
| Standard Protocols | |
|---|---|
| Click here to view our Standard Protocols |







