MUC13 Recombinant monoclonal antibody, PBS Only (Capture)

MUC13 Uni-rAb® Recombinant Antibody for WB, IHC, IF/ICC, Cytometric bead array, Indirect ELISA
Cat No. 87107-2-PBS
Clone No.252211G3

Host / Isotype

Rabbit / IgG

Reactivity

human

Applications

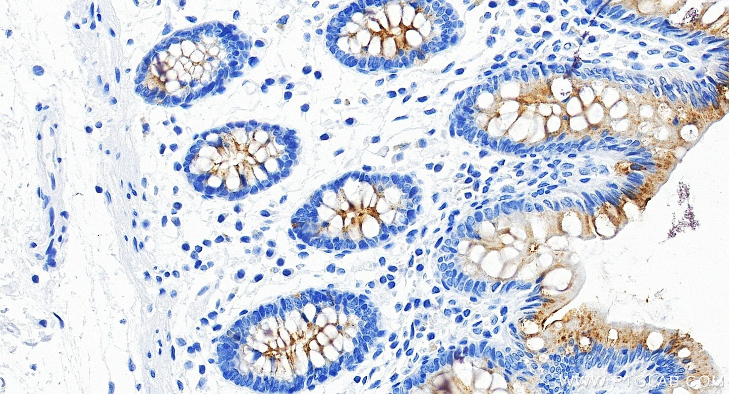
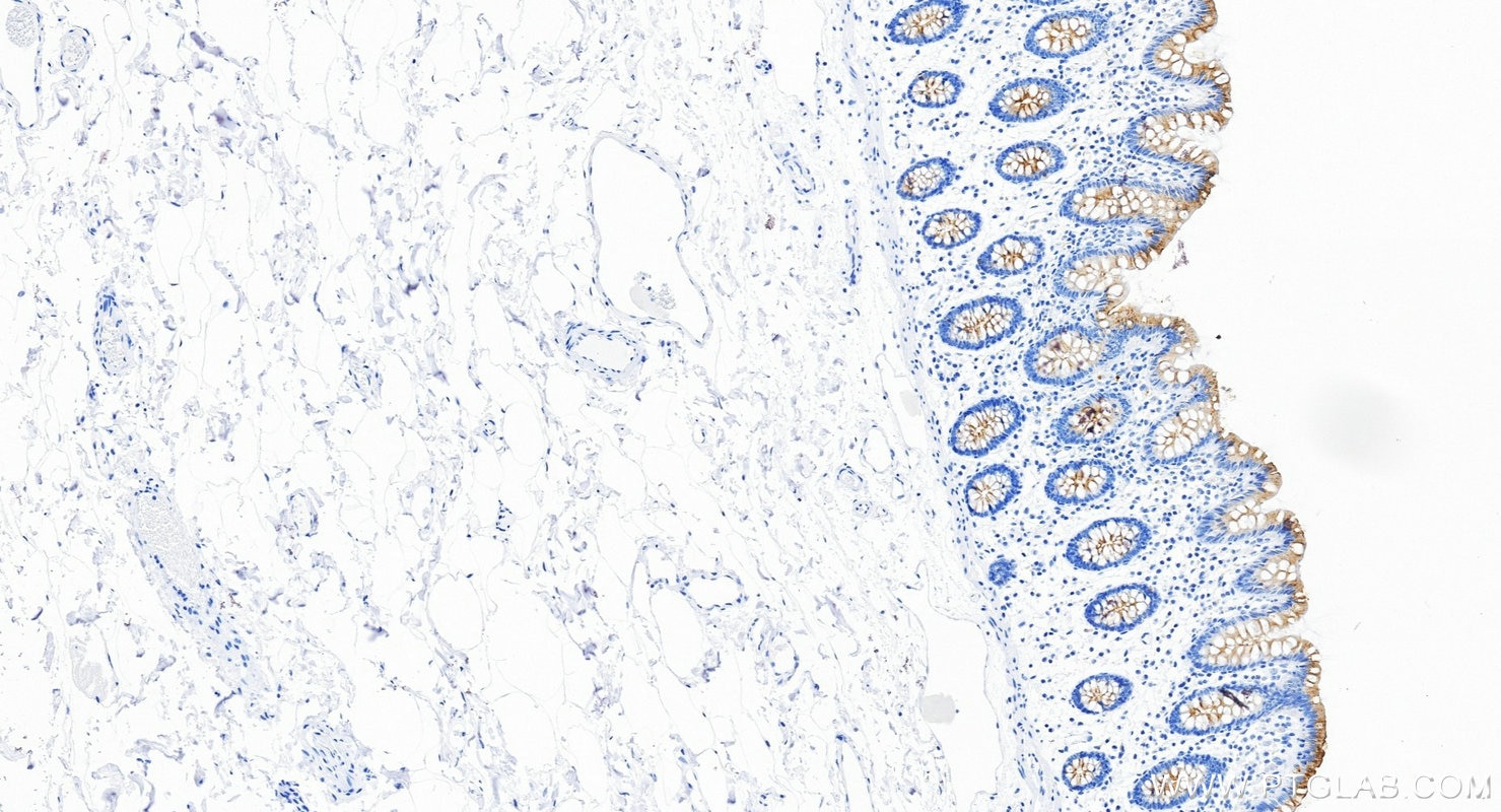
WB, IHC, IF/ICC, Cytometric bead array, Indirect ELISA

Down-regulated in colon cancer 1, DRCC1, MUC-13, Mucin-13, RECC

Formulation:  PBS Only
Conjugate:  Unconjugated
Size/Concentration: 

-/ -

Freight/Packing: -

Quantity

Please visit your regions distributor:


Product Information

87107-2-PBS targets MUC13 as part of a matched antibody pair:

MP02867-1: 87107-2-PBS capture and 87107-1-PBS detection (validated in Cytometric bead array)

Unconjugated rabbit recombinant monoclonal antibody in PBS only (BSA and azide free) storage buffer at a concentration of 1 mg/mL, ready for conjugation. Created using Proteintech’s proprietary in-house recombinant technology. Recombinant production enables unrivalled batch-to-batch consistency, easy scale-up, and future security of supply.

This conjugation ready format makes antibodies ideal for use in many applications including: ELISAs, multiplex assays requiring matched pairs, mass cytometry, and multiplex imaging applications.Antibody use should be optimized by the end user for each application and assay.

Tested Reactivity human
Host / Isotype Rabbit / IgG
Class Recombinant
Type Antibody
Immunogen

CatNo: Eg6586

Product name: Recombinant Human MUC13 protein (rFc Tag)

Source: mammalian cells-derived, V37

Tag: C-rFc

Domain: 19-421 aa of NM_033049.4

Sequence: TNQGNSADAVTTTETATSGPTVAAADTTETNFPETASTTANTPSFPTATSPAPPIISTHSSSTIPTPAPPIISTHSSSTIPIPTAADSESTTNVNSLATSDIITASSPNDGLITMVPSETQSNNEMSPTTEDNQSSGPPTGTALLETSTLNSTGPSNPCQDDPCADNSLCVKLHNTSFCLCLEGYYYNSSTCKKGKVFPGKISVTVSETFDPEEKHSMAYQDLHSEITSLFKDVFGTSVYGQTVILTVSTSLSPRSEMRADDKFVNVTIVTILAETTSDNEKTVTEKINKAIRSSSSNFLNYDLTLRCDYYGCNQTADDCLNGLACDCKSDLQRPNPQSPFCVASSLKCPDACNAQHKQCLIKKSGGAPECACVPGYQEDANGNCQKCAFGYSGLDCKDKFQL

Predict reactive species
Full Name mucin 13, cell surface associated
Calculated Molecular Weight55 kDa
Observed Molecular Weight120 kDa
GenBank Accession NumberNM_033049.4
Gene Symbol MUC13
Gene ID (NCBI) 56667
Conjugate Unconjugated
FormLiquid
Purification MethodProtein A purification
UNIPROT IDQ9H3R2
Storage Buffer PBS only, pH 7.3.
Storage ConditionsStore at -80°C.

Background Information

Mucins (MUC) are highly glycosylated proteins that are abundantly expressed in mammalian epithelial cells. Mucin 13 (MUC13) is a member of the transmembrane glycoprotein mucins, which are normally expressed in the large intestine, trachea, kidney, small intestine, and gastric epithelium (PMID: 22027689). MUC13 is involved in the tumorigenesis of multiple malignancies, including pancreatic cancer, colorectal cancer, renal cancer, and lung cancer (PMID: 22027689; PMID: 31427737; PMID: 28205224; PMID: 34966453).

Loading...
||
New chat

Able

正在加载,请稍候...