Tested Applications
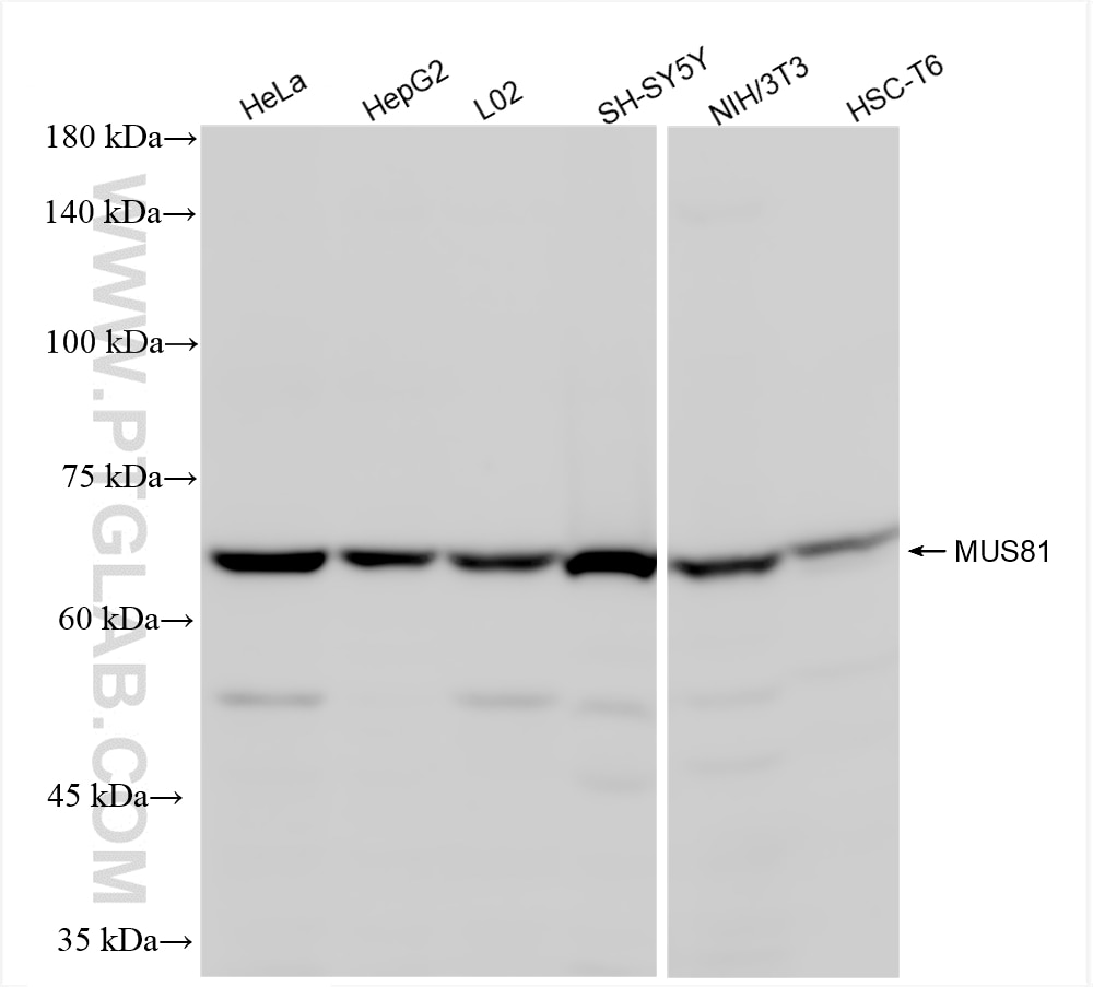
| Positive WB detected in | HeLa cells, HepG2 cells, L02 cells, SH-SY5Y cells, NIH/3T3 cells, HSC-T6 cells |
Recommended dilution
| Application | Dilution |
|---|---|
| Western Blot (WB) | WB : 1:5000-1:50000 |
| It is recommended that this reagent should be titrated in each testing system to obtain optimal results. | |
| Sample-dependent, Check data in validation data gallery. | |
Product Information
87462-1-RR targets MUS81 in WB, ELISA applications and shows reactivity with human, mouse, rat samples.
| Tested Reactivity | human, mouse, rat |
| Host / Isotype | Rabbit / IgG |
| Class | Recombinant |
| Type | Antibody |
| Immunogen |
CatNo: Ag1476 Product name: Recombinant human MUS81 protein Source: e coli.-derived, PGEX-4T Tag: GST Domain: 202-551 aa of BC009999 Sequence: RYSLTPEGLELAQKLAESEGLSLLNVGIGPKEPPGEETAVPGAASAELASEAGVQQQPLELRPGEYRVLLCVDIGETRGGGHRPELLRELQRLHVTHTVRKLHVGDFVWVAQETNPRDPANPGELVLDHIVERKRLDDLCSSIIDGRFREQKFRLKRCGLERRVYLVEEHGSVHNLSLPESTLLQAVTNTQVIDGFFVKRTADIKESAAYLALLTRGLQRLYQGHTLRSRPWGTPGNPESGAMTSPNPLCSLLTFSDFNAGAIKNKAQSVREVFARQLMQVRGVSGEKAAALVDRYSTPASLLAAYDACATPKEQETLLSTIKCGRLQRNLGPALSRTLSQLYCSYGPLT Predict reactive species |
| Full Name | MUS81 endonuclease homolog (S. cerevisiae) |
| Calculated Molecular Weight | 61 kDa |
| Observed Molecular Weight | 52-72 kDa |
| GenBank Accession Number | BC009999 |
| Gene Symbol | MUS81 |
| Gene ID (NCBI) | 80198 |
| Conjugate | Unconjugated |
| Form | Liquid |
| Purification Method | Protein A purification |
| UNIPROT ID | Q96NY9 |
| Storage Buffer | PBS with 0.02% sodium azide and 50% glycerol, pH 7.3. |
| Storage Conditions | Store at -20°C. Stable for one year after shipment. Aliquoting is unnecessary for -20oC storage. 20ul sizes contain 0.1% BSA. |
Background Information
The Crossover junction endonuclease MUS81 has associated endonuclease activity against structure-specific oligonucleotide substrates, including synthetic Holliday junctions(PMID:11741546). It interacts with EME1 and EME2 to form a DNA structure-specific endonuclease with substrate preference for branched DNA structures with a 5'-end at the branch nick. The open reading frame of human MUS81 predicts a translation product of 551 amino acids with a molecular mass of 59 kD. There are some reports showed that the enzyme can express a 72 kDa protein in human tissues(PMID:12724407).
Protocols
| Product Specific Protocols | |
|---|---|
| WB protocol for MUS81 antibody 87462-1-RR | Download protocol |
| Standard Protocols | |
|---|---|
| Click here to view our Standard Protocols |



