Tested Applications
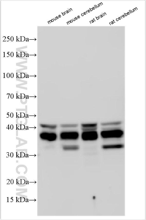
| Positive WB detected in | mouse brain tissue, mouse cerebellum tissue, rat brain tissue, rat cerebellum tissue |
Recommended dilution
| Application | Dilution |
|---|---|
| Western Blot (WB) | WB : 1:5000-1:50000 |
| It is recommended that this reagent should be titrated in each testing system to obtain optimal results. | |
| Sample-dependent, Check data in validation data gallery. | |
Product Information
33254-1-AP targets NDRG4 in WB, ELISA applications and shows reactivity with human, mouse, rat samples.
| Tested Reactivity | human, mouse, rat |
| Host / Isotype | Rabbit / IgG |
| Class | Polyclonal |
| Type | Antibody |
| Immunogen |
CatNo: Ag38351 Product name: Recombinant human NDRG4 protein Source: e coli.-derived, PGEX-4T Tag: GST Domain: 42-223 aa of BC011795 Sequence: NHKLCFNTFFNFEDMQEITKHFVVCHVDAPGQQVGASQFPQGYQFPSMEQLAAMLPSVVQHFGFKYVIGIGVGAGAYVLAKFALIFPDLVEGLVLVNIDPNGKGWIDWAATKLSGLTSTLPDTVLSHLFSQEELVNNTELVQSYRQQIGNVVNQANLQLFWNMYNSRRDLDINRPGTVPNAK Predict reactive species |
| Full Name | NDRG family member 4 |
| Calculated Molecular Weight | 339 aa, 37 kDa |
| Observed Molecular Weight | 37 kDa, 38 kDa and 41 kDa |
| GenBank Accession Number | BC011795 |
| Gene Symbol | NDRG4 |
| Gene ID (NCBI) | 65009 |
| Conjugate | Unconjugated |
| Form | Liquid |
| Purification Method | Antigen affinity Purification |
| UNIPROT ID | Q9ULP0 |
| Storage Buffer | PBS with 0.02% sodium azide and 50% glycerol, pH 7.3. |
| Storage Conditions | Store at -20°C. Stable for one year after shipment. Aliquoting is unnecessary for -20oC storage. 20ul sizes contain 0.1% BSA. |
Background Information
NDRG4 (N-myc downstream-regulated gene 4) is a member of the NDRG family (NDRG1-4), a group of evolutionarily conserved proteins implicated in cell differentiation, stress responses, and tumor suppression. Unlike other family members (e.g., NDRG1 linked to cancer metastasis), NDRG4 is highly expressed in the brain and heart, with emerging roles in neuronal development and cardiovascular function. Methylation of NDRG4 in stool DNA is a diagnostic marker for colorectal cancer.
Protocols
| Product Specific Protocols | |
|---|---|
| WB protocol for NDRG4 antibody 33254-1-AP | Download protocol |
| Standard Protocols | |
|---|---|
| Click here to view our Standard Protocols |

