Tested Applications
| Positive WB detected in | HeLa cells, HepG2 cells |
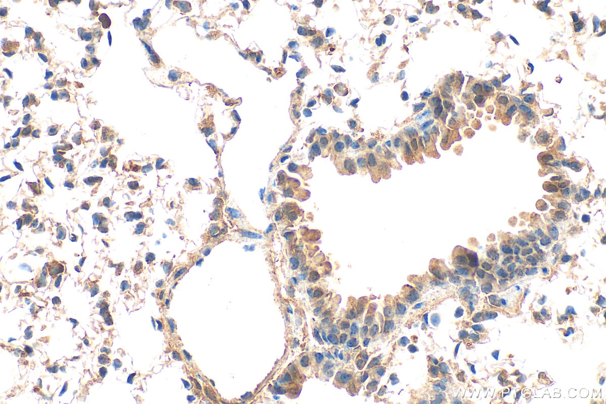
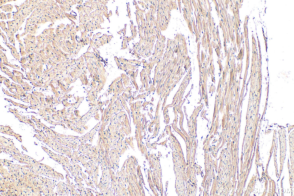
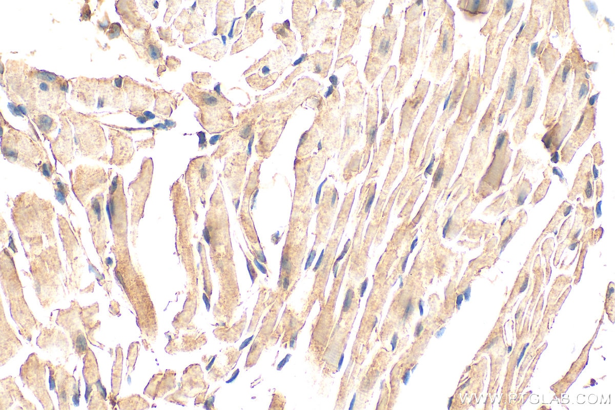
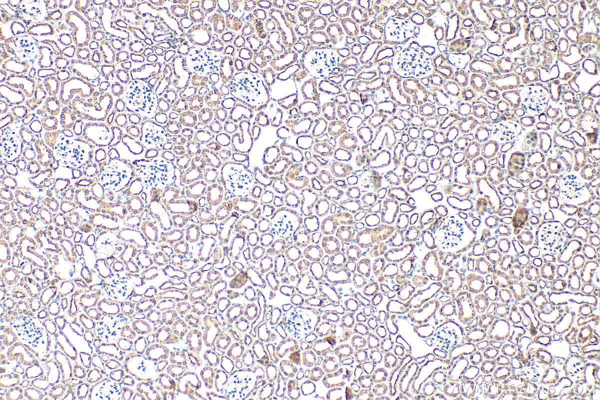
| Positive IHC detected in | mouse lung tissue, mouse heart tissue, mouse kidney tissue Note: suggested antigen retrieval with TE buffer pH 9.0; (*) Alternatively, antigen retrieval may be performed with citrate buffer pH 6.0 |
Recommended dilution
| Application | Dilution |
|---|---|
| Western Blot (WB) | WB : 1:500-1:2000 |
| Immunohistochemistry (IHC) | IHC : 1:50-1:500 |
| It is recommended that this reagent should be titrated in each testing system to obtain optimal results. | |
| Sample-dependent, Check data in validation data gallery. | |
Product Information
33280-1-AP targets NOTCH4 in WB, IHC, ELISA applications and shows reactivity with human, mouse samples.
| Tested Reactivity | human, mouse |
| Host / Isotype | Rabbit / IgG |
| Class | Polyclonal |
| Type | Antibody |
| Immunogen |
CatNo: Ag36738 Product name: Recombinant human NOTCH4 protein Source: e coli.-derived, PET28a Tag: 6*His Domain: 309-648 aa of BC140782 Sequence: DCSEDVDECETQGPPHCRNGGTCQNSAGSFHCVCVSGWGGTSCEENLDDCIAATCAPGSTCIDRVGSFSCLCPPGRTGLLCHLEDMCLSQPCHGDAQCSTNPLTGSTLCLCQPGYSGPTCHQDLDECLMAQQGPSPCEHGGSCLNTPGSFNCLCPPGYTGSRCEADHNECLSQPCHPGSTCLDLLATFHCLCPPGLEGQLCEVETNECASAPCLNHADCHDLLNGFQCICLPGFSGTRCEEDIDECRSSPCANGGQCQDQPGAFHCKCLPGFEGPRCQTEVDECLSDPCPVGASCLDLPGAFFCLCPSGFTGQLCEVPLCAPNLCQPKQICKDQKDKANC Predict reactive species |
| Full Name | Notch homolog 4 (Drosophila) |
| Calculated Molecular Weight | 2003 aa, 210 kDa |
| Observed Molecular Weight | 210 kDa |
| GenBank Accession Number | BC140782 |
| Gene Symbol | NOTCH4 |
| Gene ID (NCBI) | 4855 |
| Conjugate | Unconjugated |
| Form | Liquid |
| Purification Method | Antigen affinity Purification |
| UNIPROT ID | Q99466 |
| Storage Buffer | PBS with 0.02% sodium azide and 50% glycerol, pH 7.3. |
| Storage Conditions | Store at -20°C. Stable for one year after shipment. Aliquoting is unnecessary for -20oC storage. 20ul sizes contain 0.1% BSA. |
Background Information
Neurogenic locus notch homolog protein 4 (NOTCH4) is a receptor involved in the Notch signaling pathway, which is synthesized as a precursor that undergoes proteolytic cleavage to form an active receptor. NOTCH4 interacts with various ligands, leading to the release of the Notch intracellular domain (NICD), which translocates to the nucleus and regulates gene expression (PMID: 28794168; 19379690; 17148788). NOTCH4 is involved in various biological processes, including embryonic development, immune cell differentiation, and tumorigenesis (PMID: 24667410; 34925319).
Protocols
| Product Specific Protocols | |
|---|---|
| IHC protocol for NOTCH4 antibody 33280-1-AP | Download protocol |
| WB protocol for NOTCH4 antibody 33280-1-AP | Download protocol |
| Standard Protocols | |
|---|---|
| Click here to view our Standard Protocols |













