Tested Applications
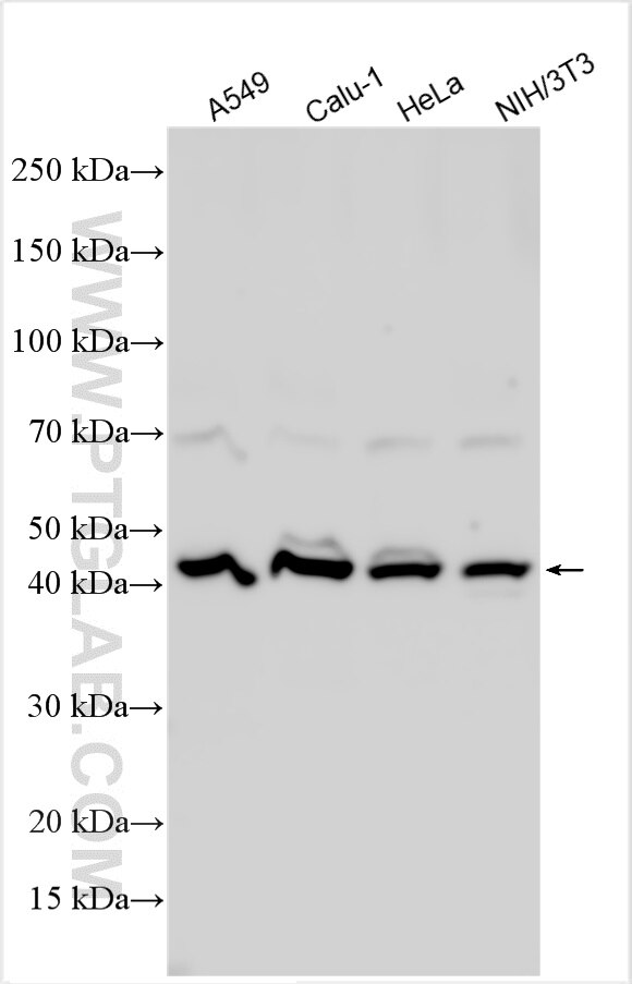
| Positive WB detected in | A549 cells, Calu-1 cells, HeLa cells, NIH/3T3 cells |
Recommended dilution
| Application | Dilution |
|---|---|
| Western Blot (WB) | WB : 1:1000-1:6000 |
| It is recommended that this reagent should be titrated in each testing system to obtain optimal results. | |
| Sample-dependent, Check data in validation data gallery. | |
Product Information
22069-1-AP targets OXGR1 in WB, ELISA applications and shows reactivity with human, mouse samples.
| Tested Reactivity | human, mouse |
| Host / Isotype | Rabbit / IgG |
| Class | Polyclonal |
| Type | Antibody |
| Immunogen |
CatNo: Ag17186 Product name: Recombinant human OXGR1 protein Source: e coli.-derived, PET28a Tag: 6*His Domain: 255-337 aa of BC103881 Sequence: LPFHILRVIRIESRLLSISCSIENQIHEAYIVSRPLAALNTFGNLLLYVVVSDNFQQAVCSTVRCKVSGNLEQAKKISYSNNP Predict reactive species |
| Full Name | oxoglutarate (alpha-ketoglutarate) receptor 1 |
| Calculated Molecular Weight | 337 aa, 38 kDa |
| Observed Molecular Weight | 38-42 kDa |
| GenBank Accession Number | BC103881 |
| Gene Symbol | OXGR1 |
| Gene ID (NCBI) | 27199 |
| Conjugate | Unconjugated |
| Form | Liquid |
| Purification Method | Antigen affinity purification |
| UNIPROT ID | Q96P68 |
| Storage Buffer | PBS with 0.02% sodium azide and 50% glycerol, pH 7.3. |
| Storage Conditions | Store at -20°C. Stable for one year after shipment. Aliquoting is unnecessary for -20oC storage. 20ul sizes contain 0.1% BSA. |
Background Information
2-oxoglutarate receptor 1(OXGR1) also known as GPR99, belongs to the G-protein coupled receptor family. OXGR1is expressed in renal cortical connecting tubule and collecting duct type B intercalated cells. When stimulated by its ligand, OXGR1 mediates cellular calcium uptake, which acts as a signal to promote the chloride-bicarbonate exchanger SLC26A4. Dominant loss-of-function OXGR1 variants are associated with recurrent calcium oxalate NL/NC disease(PMID: 36571463).
Protocols
| Product Specific Protocols | |
|---|---|
| WB protocol for OXGR1 antibody 22069-1-AP | Download protocol |
| Standard Protocols | |
|---|---|
| Click here to view our Standard Protocols |

