Tested Applications
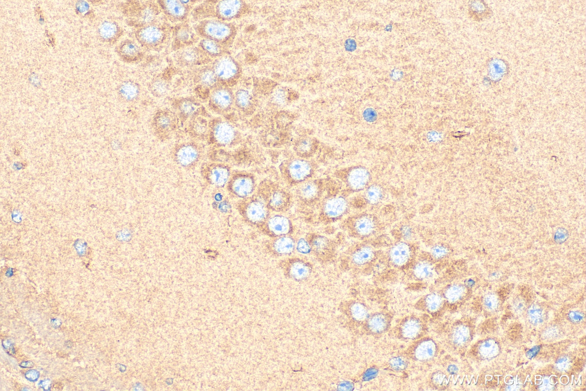
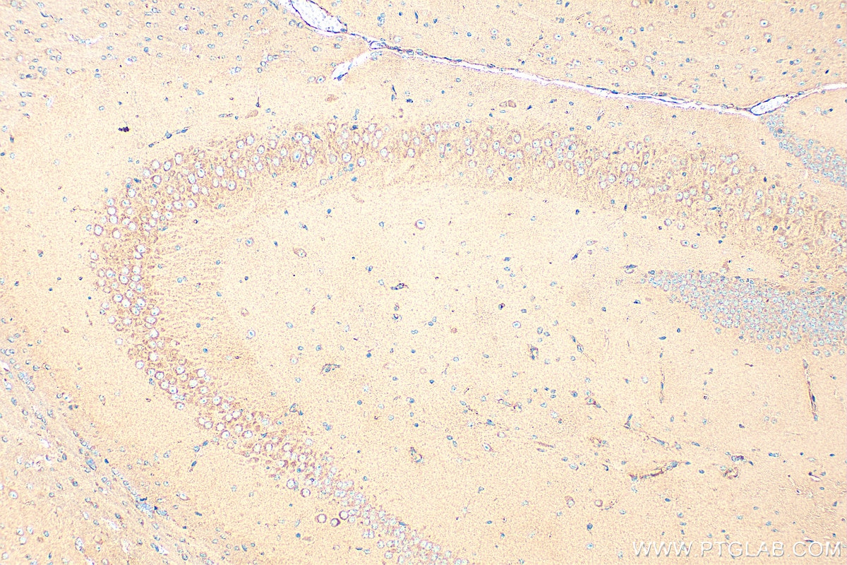
| Positive IHC detected in | mouse brain tissue Note: suggested antigen retrieval with TE buffer pH 9.0; (*) Alternatively, antigen retrieval may be performed with citrate buffer pH 6.0 |
Recommended dilution
| Application | Dilution |
|---|---|
| Immunohistochemistry (IHC) | IHC : 1:50-1:500 |
| It is recommended that this reagent should be titrated in each testing system to obtain optimal results. | |
| Sample-dependent, Check data in validation data gallery. | |
Product Information
18842-1-AP targets LPPR5 in IHC, ELISA applications and shows reactivity with human, mouse samples.
| Tested Reactivity | human, mouse |
| Host / Isotype | Rabbit / IgG |
| Class | Polyclonal |
| Type | Antibody |
| Immunogen |
Peptide Predict reactive species |
| Full Name | phosphatidic acid phosphatase type 2 |
| Calculated Molecular Weight | 35 kDa |
| GenBank Accession Number | NM_001010861 |
| Gene Symbol | PAP2D |
| Gene ID (NCBI) | 163404 |
| Conjugate | Unconjugated |
| Form | Liquid |
| Purification Method | Antigen affinity purification |
| UNIPROT ID | Q32ZL2 |
| Storage Buffer | PBS with 0.02% sodium azide and 50% glycerol, pH 7.3. |
| Storage Conditions | Store at -20°C. Stable for one year after shipment. Aliquoting is unnecessary for -20oC storage. 20ul sizes contain 0.1% BSA. |
Background Information
The lipid phosphate phosphatase-related proteins (LPPRs), also known as plasticity-related genes (PRGs), are a family of six transmembrane proteins that are enriched in brain. To date, five members have been identified (LPPR1-LPPR5). LPPR5 is an integral membrane protein linked to neuronal plasticity, which impedes NogoA- and LPA-mediated RhoA kinase signaling. LPPR5 modulates the Rho-GTPase pathway involved in cancer growth, vascularization, and the adaptive response to changes in the microenvironment. LPPR5 is pivotal in influencing growth, angiogenesis, and therapeutic resistance. (PMID: 26183180, PMID: 35328529)
Protocols
| Product Specific Protocols | |
|---|---|
| IHC protocol for LPPR5 antibody 18842-1-AP | Download protocol |
| Standard Protocols | |
|---|---|
| Click here to view our Standard Protocols |



