Tested Applications
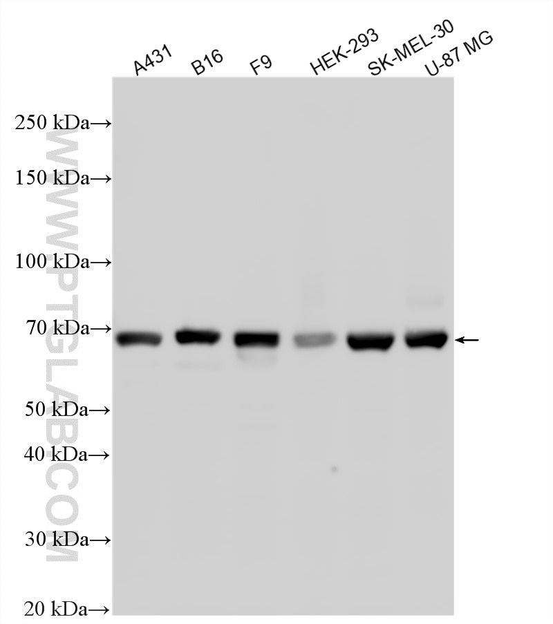
| Positive WB detected in | A431 cells, HEK-293 cells, mouse skin tissue, B16 cells, F9 cells, SK-MEL-30 cells, U-87 MG cells |
| Positive IP detected in | mouse skin tissue |
Recommended dilution
| Application | Dilution |
|---|---|
| Western Blot (WB) | WB : 1:1000-1:4000 |
| Immunoprecipitation (IP) | IP : 0.5-4.0 ug for 1.0-3.0 mg of total protein lysate |
| It is recommended that this reagent should be titrated in each testing system to obtain optimal results. | |
| Sample-dependent, Check data in validation data gallery. | |
Published Applications
| WB | See 2 publications below |
| IHC | See 1 publications below |
Product Information
21386-1-AP targets PAX3 in WB, IHC, IP, ELISA applications and shows reactivity with human, mouse, rat samples.
| Tested Reactivity | human, mouse, rat |
| Cited Reactivity | human, mouse, hamster |
| Host / Isotype | Rabbit / IgG |
| Class | Polyclonal |
| Type | Antibody |
| Immunogen |
CatNo: Ag16021 Product name: Recombinant human PAX3 protein Source: e coli.-derived, PGEX-4T Tag: GST Domain: 341-426 aa of BC101301 Sequence: QSTIPSNPDSSSAYCLPSTRHGFSSYTDSFVPPSGPSNPMNPTIGNGLSPQVMGLLTNHGGVPHQPQTDYALSPLTGGLEPTTTVS Predict reactive species |
| Full Name | paired box 3 |
| Calculated Molecular Weight | 484 aa, 53 kDa |
| Observed Molecular Weight | 56-60 kDa |
| GenBank Accession Number | BC101301 |
| Gene Symbol | PAX3 |
| Gene ID (NCBI) | 5077 |
| RRID | AB_10732817 |
| Conjugate | Unconjugated |
| Form | Liquid |
| Purification Method | Antigen affinity purification |
| UNIPROT ID | P23760 |
| Storage Buffer | PBS with 0.02% sodium azide and 50% glycerol, pH 7.3. |
| Storage Conditions | Store at -20°C. Stable for one year after shipment. Aliquoting is unnecessary for -20oC storage. 20ul sizes contain 0.1% BSA. |
Background Information
PAX3, a transcription factor and multifunctional regulatory protein, is normally expressed during embryonic development. In the nervous system, PAX3 is involved in neural tube closure, neural crest development, and peripheral neuron differentiation. In the present study, PAX3 was reported as a novel regulator of GFAP transcription, and the overexpression and suppression of PAX3 could inhibit and promote NSC differentiation, respectively. In muscle development, PAX3 ensures the survival of myogenic progenitor cells with Pax3-expressing progenitors giving rise to both skeletal and smooth muscle cells. PAX3 also has a well-established role in the development of melanocytes during embryogenesis, and has recently been characterized as a molecular switch in the mature melanocyte. Mutations in PAX3 can cause Waardenburg syndrome.
Protocols
| Product Specific Protocols | |
|---|---|
| IP protocol for PAX3 antibody 21386-1-AP | Download protocol |
| WB protocol for PAX3 antibody 21386-1-AP | Download protocol |
| Standard Protocols | |
|---|---|
| Click here to view our Standard Protocols |
Publications
| Species | Application | Title |
|---|---|---|
Birth Defects Res Cigarette smoke induced neural tube defects by down-regulating noggin expression. | ||
Stem Cells Int Noggin Combined With Human Dental Pulp Stem Cells to Promote Skeletal Muscle Regeneration | ||
Neurochem Int Cycloleucine induces neural tube defects by reducing Pax3 expression and impairing the balance of proliferation and apoptosis in early neurulation | ||
Adv Sci (Weinh) RPS27L Enhances Myogenesis and Muscle Mass by Targeting IGF1 Through Liquid-Liquid Phase Separation | ||
Neurogastroenterol Motil Electroacupuncture Improves Anorectal Function in Neurogenic Fecal Incontinence Rats, Related to Reversing Anal Sphincter Atrophy and Enhancing Muscle Satellite Cell Activity |







