Tested Applications
| Positive WB detected in | K-562 cells, SH-SY5Y cells, SW 1990 cells, mouse thymus tissue, NIH/3T3 cells |
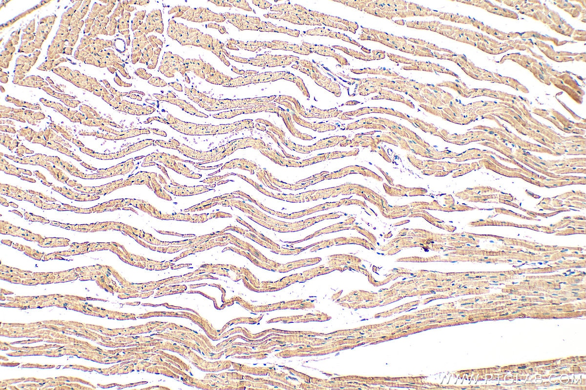
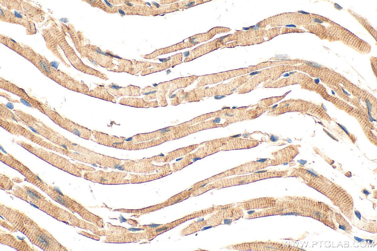
| Positive IHC detected in | mouse heart tissue, human heart tissue, human skeletal muscle tissue, mouse skeletal muscle tissue Note: suggested antigen retrieval with TE buffer pH 9.0; (*) Alternatively, antigen retrieval may be performed with citrate buffer pH 6.0 |
| Positive IF/ICC detected in | HeLa cells |
Recommended dilution
| Application | Dilution |
|---|---|
| Western Blot (WB) | WB : 1:800-1:3000 |
| Immunohistochemistry (IHC) | IHC : 1:50-1:500 |
| Immunofluorescence (IF)/ICC | IF/ICC : 1:200-1:800 |
| It is recommended that this reagent should be titrated in each testing system to obtain optimal results. | |
| Sample-dependent, Check data in validation data gallery. | |
Published Applications
| KD/KO | See 2 publications below |
| WB | See 6 publications below |
| IHC | See 1 publications below |
| IF | See 1 publications below |
Product Information
18088-1-AP targets PLA2G4E in WB, IHC, IF/ICC, ELISA applications and shows reactivity with human, mouse samples.
| Tested Reactivity | human, mouse |
| Cited Reactivity | human, mouse |
| Host / Isotype | Rabbit / IgG |
| Class | Polyclonal |
| Type | Antibody |
| Immunogen |
CatNo: Ag12808 Product name: Recombinant human PLA2G4E protein Source: e coli.-derived, PGEX-4T Tag: GST Domain: 519-868 aa of BC101584 Sequence: KDDVSNQDFREWFEFSPYEVGLQKYGAFIPSELFGSEFFMGRLVKRIPESRICYMLGLWSSIFSLNLLDAWNLSHTSEEFFHRWTREKVQDIEDEPILPEIPKCDANILETTVVIPGSWLSNSFREILTHRSFVSEFHNFLSGLQLHTNYLQNGQFSRWKDTVLDGFPNQLTESANHLCLLDTAFFVNSSYPPLLRPERKADLIIHLNYCAGSQTKPLKQTCEYCTVQNIPFPKYELPDENENLKECYLMENPQEPDAPIVTFFPLINDTFRKYKAPGVERSPEELEQGQVDIYGPKTPYATKELTYTEATFDKLVKLSEYNILNNKDTLLQALRLAVEKKKRLKGQCPS Predict reactive species |
| Full Name | phospholipase A2, group IVE |
| Calculated Molecular Weight | 868 aa, 99 kDa |
| Observed Molecular Weight | 99 kDa, 57 kDa |
| GenBank Accession Number | BC101584 |
| Gene Symbol | PLA2G4E |
| Gene ID (NCBI) | 123745 |
| RRID | AB_10859777 |
| Conjugate | Unconjugated |
| Form | Liquid |
| Purification Method | Antigen affinity purification |
| UNIPROT ID | Q3MJ16 |
| Storage Buffer | PBS with 0.02% sodium azide and 50% glycerol, pH 7.3. |
| Storage Conditions | Store at -20°C. Stable for one year after shipment. Aliquoting is unnecessary for -20oC storage. 20ul sizes contain 0.1% BSA. |
Background Information
PLA2G4E (Phospholipase A2 group IVE), also known as cPLA2-epsilon. Calcium-dependent N-acyltransferase is involved in the biosynthesis of N-acyl ethanolamines (NAEs) in the brain (PMID:29447909). Transfers the sn-1 fatty acyl chain of phosphatidylcholine (fatty acyl donor) to the amine group of phosphatidylethanolamine (fatty acyl acceptor) to generate N-acyl phosphatidylethanolamine (NAPE). Similarly can use plasmenylethanolamine as a fatty acyl acceptor to form N-acyl plasmenylethanolamine (N-Acyl-PlsEt). Both NAPE and N-Acyl-PlsEt can serve as precursors of bioactive NAEs like N-arachidonoyl phosphatidylethanolamine also called anandamide (PMID:29447909; 30517655).
Protocols
| Product Specific Protocols | |
|---|---|
| IF protocol for PLA2G4E antibody 18088-1-AP | Download protocol |
| IHC protocol for PLA2G4E antibody 18088-1-AP | Download protocol |
| WB protocol for PLA2G4E antibody 18088-1-AP | Download protocol |
| Standard Protocols | |
|---|---|
| Click here to view our Standard Protocols |
Publications
| Species | Application | Title |
|---|---|---|
Autophagy Inhibition of PLA2G4E/cPLA2 promotes survival of random skin flaps by alleviating Lysosomal membrane permeabilization-Induced necroptosis.
| ||
Prog Neurobiol PLA2G4E, a candidate gene for resilience in Alzheimer´s disease and a new target for dementia treatment.
| ||
FASEB J Group IVE cytosolic phospholipase A2 limits psoriatic inflammation by mobilizing the anti-inflammatory lipid N-acylethanolamine. | ||
Front Genet Deletion of the Capn1 Gene Results in Alterations in Signaling Pathways Related to Alzheimer's Disease, Protein Quality Control and Synaptic Plasticity in Mouse Brain. | ||
J Neuroinflammation Elamipretide alleviates pyroptosis in traumatically injured spinal cord by inhibiting cPLA2-induced lysosomal membrane permeabilization | ||
J Pharm Biomed Anal Integrating proteomics, metabolomics, and network pharmacology to investigate the mechanism of Cordyceps sinensis in the treatment of COPD rats |

























