Tested Applications
| Positive WB detected in | IFN gamma treated THP-1 cells |
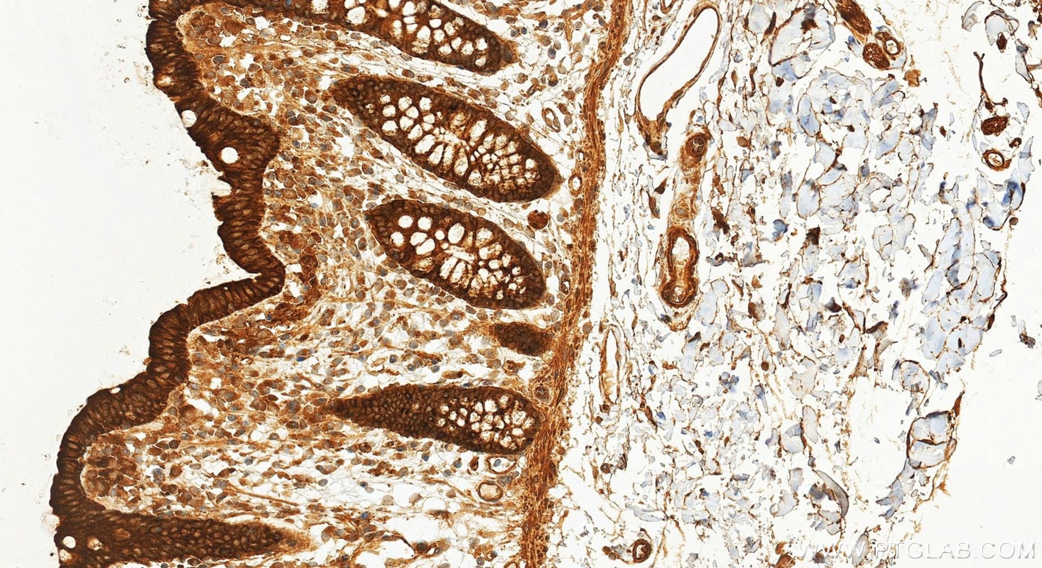
| Positive IHC detected in | human colon tissue Note: suggested antigen retrieval with TE buffer pH 9.0; (*) Alternatively, antigen retrieval may be performed with citrate buffer pH 6.0 |
| Positive FC (Intra) detected in | IFN gamma treated THP-1 cells |
| Positive ChIP-qPCR detected in | IFN-γ (50 ng/ml, 30min) HT-1080 cells |
Recommended dilution
| Application | Dilution |
|---|---|
| Western Blot (WB) | WB : 1:2000-1:10000 |
| Immunohistochemistry (IHC) | IHC : 1:200-1:800 |
| Flow Cytometry (FC) (INTRA) | FC (INTRA) : 0.13 ug per 10^6 cells in a 100 µl suspension |
| CHIP-QPCR | CHIP-QPCR : 1:10-1:100 |
| It is recommended that this reagent should be titrated in each testing system to obtain optimal results. | |
| Sample-dependent, Check data in validation data gallery. | |
Published Applications
| WB | See 2 publications below |
| IF | See 1 publications below |
Product Information
82674-10-RR targets Phospho-STAT1 (Tyr701) in WB, IHC, IF, FC (Intra), ELISA, ChIP-qPCR applications and shows reactivity with human samples.
| Tested Reactivity | human |
| Cited Reactivity | human, rat |
| Host / Isotype | Rabbit / IgG |
| Class | Recombinant |
| Type | Antibody |
| Immunogen |
Peptide Predict reactive species |
| Full Name | signal transducer and activator of transcription 1, 91kDa |
| Calculated Molecular Weight | 83 kDa |
| Observed Molecular Weight | 84-91 kDa |
| GenBank Accession Number | BC002704 |
| Gene Symbol | STAT1 |
| Gene ID (NCBI) | 6772 |
| RRID | AB_3085362 |
| Conjugate | Unconjugated |
| Form | Liquid |
| Purification Method | Protein A purification |
| UNIPROT ID | P42224 |
| Storage Buffer | PBS with 0.02% sodium azide and 50% glycerol, pH 7.3. |
| Storage Conditions | Store at -20°C. Stable for one year after shipment. Aliquoting is unnecessary for -20oC storage. 20ul sizes contain 0.1% BSA. |
Background Information
STAT1 (signal transducers and activators of transcription 1) is a member of the STAT protein family. STAT family members are phosphorylated by the receptor associated kinases, and then form homo-or heterodimers that translocate to the cell nucleus where they act as transcription activators. The phosphorylation of STAT1 at Tyr701 promotes the dimerization of STAT1 and its translocation into the nucleus where it binds the GAS promoter to allow the transcription of inflammatory response genes(PMID: 31408005). The transcript of STAT1 undergoes alternative splicing, resulting in two isoforms: STAT1α (91 kDa) and STAT1β (84 kDa)(PMID: 20159032).
Protocols
| Product Specific Protocols | |
|---|---|
| IHC protocol for Phospho-STAT1 (Tyr701) antibody 82674-10-RR | Download protocol |
| WB protocol for Phospho-STAT1 (Tyr701) antibody 82674-10-RR | Download protocol |
| Standard Protocols | |
|---|---|
| Click here to view our Standard Protocols |
Publications
| Species | Application | Title |
|---|---|---|
Dose Response TSN Disrupts Fanconi Anemia Pathway Activation Through JAK/STAT1-Mediated Transcriptional Repression of FA Core Subunits in Bladder Cancer. | ||
Gut Microbes Simulated microgravity induces cerebral dysfunction by disturbing protective microbiota-metabolite-microglia signaling across the gut‒brain axis. |







