RBP2 Polyclonal antibody

RBP2 Polyclonal Antibody for WB, IHC, ELISA
Cat No. 31527-1-AP

Host / Isotype

Rabbit / IgG

Reactivity

human, mouse, rat

Applications

WB, IHC, ELISA

CRBP2, Retinol binding protein 2

Formulation:  PBS, Azide, Glycerol
PBS, Azide, Glycerol
Conjugate:  Unconjugated
Unconjugated
Size/Concentration: 

-/ -

Freight/Packing: -

Quantity

Please visit your regions distributor:


Tested Applications

Positive WB detected inmouse small intestine tissue, rat small intestine tissue
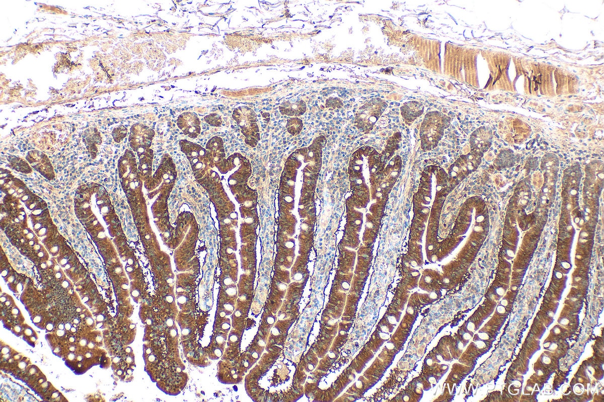
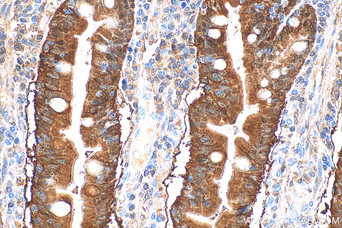
Positive IHC detected inhuman small intestine tissue
Note: suggested antigen retrieval with TE buffer pH 9.0; (*) Alternatively, antigen retrieval may be performed with citrate buffer pH 6.0

Recommended dilution

ApplicationDilution
Western Blot (WB)WB : 1:5000-1:50000
Immunohistochemistry (IHC)IHC : 1:500-1:2000
It is recommended that this reagent should be titrated in each testing system to obtain optimal results.
Sample-dependent, Check data in validation data gallery.

Product Information

31527-1-AP targets RBP2 in WB, IHC, ELISA applications and shows reactivity with human, mouse, rat samples.

Tested Reactivity human, mouse, rat
Host / Isotype Rabbit / IgG
Class Polyclonal
Type Antibody
Immunogen

CatNo: Ag35801

Product name: Recombinant human RBP2 protein

Source: e coli.-derived, PGEX-4T

Tag: GST

Domain: 31-134 aa of NM_004164.2

Sequence: RKIAVRLTQTKVIDQDGDNFKTKTTSTFRNYDVDFTVGVEFDEYTKSLDNRHVKALVTWEGDVLVCVQKGEKENRGWKQWIEGDKLYLELTCGDQVCRQVFKKK

Predict reactive species
Full Name retinol binding protein 2, cellular
Calculated Molecular Weight16 kDa
Observed Molecular Weight 16 kDa
GenBank Accession NumberNM_004164.2
Gene Symbol RBP2
Gene ID (NCBI) 5948
RRIDAB_3670022
Conjugate Unconjugated
FormLiquid
Purification MethodAntigen affinity Purification
UNIPROT IDP50120
Storage Buffer PBS with 0.02% sodium azide and 50% glycerol, pH 7.3.
Storage ConditionsStore at -20°C. Stable for one year after shipment. Aliquoting is unnecessary for -20oC storage. 20ul sizes contain 0.1% BSA.

Background Information

Retinol-binding protein 2 (RBP2) also known as CRBP2, CRBP-II, is an abundant 134-residue protein confined largely to the small intestinal enterocyte. It is thought to participate in the uptake and/or intracellular metabolism of vitamin A(PMID: 3029082).

Protocols

Product Specific Protocols
IHC protocol for RBP2 antibody 31527-1-APDownload protocol
WB protocol for RBP2 antibody 31527-1-APDownload protocol
Standard Protocols
Click here to view our Standard Protocols
Loading...
||
New chat

Able

正在加载,请稍候...