Tested Applications
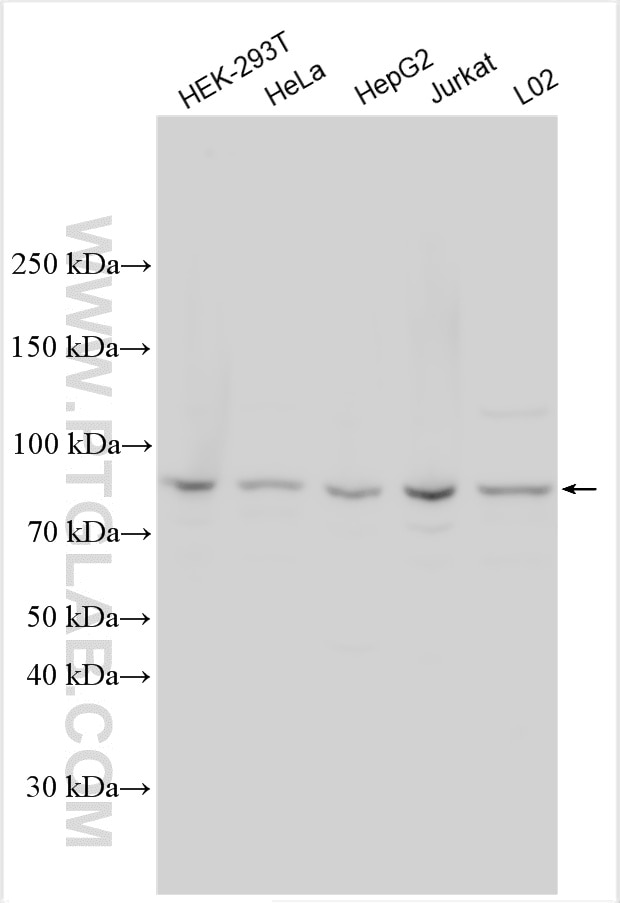
| Positive WB detected in | HEK-293T cells, HeLa cells, HepG2 cells, Jurkat cells, L02 cells |
Recommended dilution
| Application | Dilution |
|---|---|
| Western Blot (WB) | WB : 1:1000-1:8000 |
| It is recommended that this reagent should be titrated in each testing system to obtain optimal results. | |
| Sample-dependent, Check data in validation data gallery. | |
Product Information
32688-1-AP targets RNF214 in WB, ELISA applications and shows reactivity with human samples.
| Tested Reactivity | human |
| Host / Isotype | Rabbit / IgG |
| Class | Polyclonal |
| Type | Antibody |
| Immunogen |
CatNo: Ag38337 Product name: Recombinant human RNF214 protein Source: e coli.-derived, PET28a Tag: 6*His Domain: 1-352 aa of BC146891 Sequence: MAASEVAGVVANAPSPPESSSLCASKSDEGLPDGLSTKDSAQKQKNSPLLSVSSQTITKENNRNVHLEHSEQNPGSSAGDTSAAHQVVLGENLIATALCLSGSGSQSDLKDVASTAGEEGDTSLRESLHPVTRSLKAGCHTKQLASRNCSEEKSPQTSILKEGNRDTSLDFRPVVSPANGVEGVRVDQDDDQDSSSLKLSQNIAVQTDFKTADSEVNTDQDIEKNLDKMMTERTLLKERYQEVLDKQRQVENQLQVQLKQLQQRREEEMKNHQEILKAIQDVTIKREETKKKIEKEKKEFLQKEQDLKAEIEKLCEKGRREVWEMELDRLKNQDGEINRNIMEETERAWKAE Predict reactive species |
| Full Name | ring finger protein 214 |
| Observed Molecular Weight | 77 kDa |
| GenBank Accession Number | BC146891 |
| Gene Symbol | RNF214 |
| Gene ID (NCBI) | 257160 |
| Conjugate | Unconjugated |
| Form | Liquid |
| Purification Method | Antigen affinity Purification |
| UNIPROT ID | Q8ND24 |
| Storage Buffer | PBS with 0.02% sodium azide and 50% glycerol, pH 7.3. |
| Storage Conditions | Store at -20°C. Stable for one year after shipment. Aliquoting is unnecessary for -20oC storage. 20ul sizes contain 0.1% BSA. |
Protocols
| Product Specific Protocols | |
|---|---|
| WB protocol for RNF214 antibody 32688-1-AP | Download protocol |
| Standard Protocols | |
|---|---|
| Click here to view our Standard Protocols |

