Tested Applications
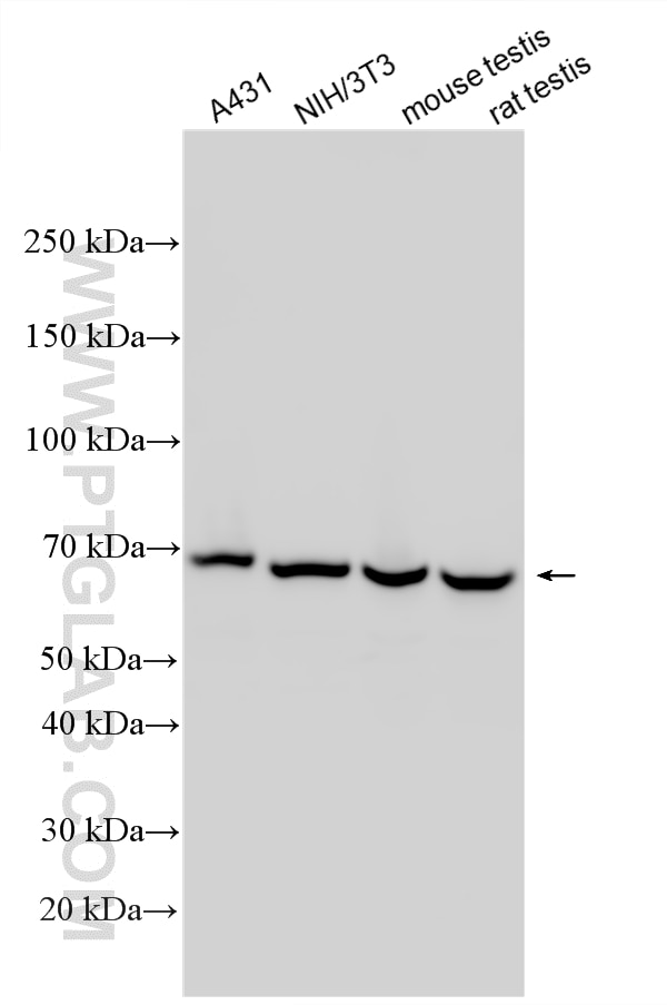
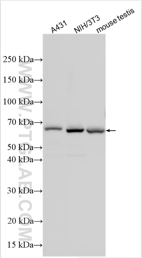
| Positive WB detected in | A431 cells, NIH/3T3 cells, mouse testis tissue, rat testis tissue |
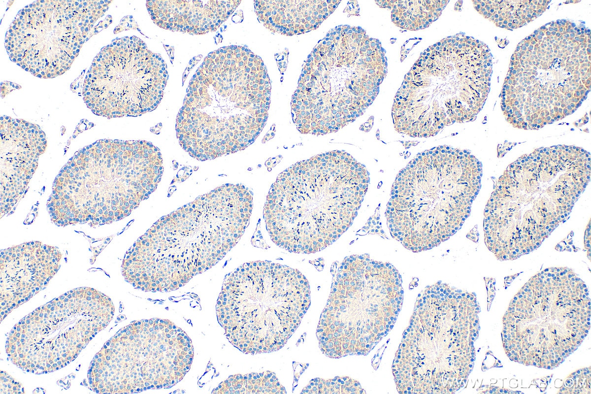
| Positive IHC detected in | mouse testis tissue, mouse lung tissue Note: suggested antigen retrieval with TE buffer pH 9.0; (*) Alternatively, antigen retrieval may be performed with citrate buffer pH 6.0 |
| Positive IF-P detected in | mouse testis tissue, mouse lung tissue |
Recommended dilution
| Application | Dilution |
|---|---|
| Western Blot (WB) | WB : 1:5000-1:50000 |
| Immunohistochemistry (IHC) | IHC : 1:1500-1:6000 |
| Immunofluorescence (IF)-P | IF-P : 1:50-1:500 |
| It is recommended that this reagent should be titrated in each testing system to obtain optimal results. | |
| Sample-dependent, Check data in validation data gallery. | |
Product Information
33259-1-AP targets NF-κB p65 in WB, IHC, IF-P, ELISA applications and shows reactivity with human, mouse, rat samples.
| Tested Reactivity | human, mouse, rat |
| Host / Isotype | Rabbit / IgG |
| Class | Polyclonal |
| Type | Antibody |
| Immunogen |
CatNo: Ag40017 Product name: Recombinant mouse Rela protein Source: e coli.-derived, PGEX-4T Tag: GST Domain: 425-549 aa of BC094053 Sequence: KSTQAGEGTLSEALLHLQFDADEDLGALLGNSTDPGVFTDLASVDNSEFQQLLNQGVSMSHSTAEPMLMEYPEAITRLVTGSQRPPDPAPTPLGTSGLPNGLSGDEDFSSIADMDFSALLSQISS* Predict reactive species |
| Full Name | v-rel reticuloendotheliosis viral oncogene homolog A (avian) |
| Observed Molecular Weight | 60 kDa |
| GenBank Accession Number | BC094053 |
| Gene Symbol | Rela |
| Gene ID (NCBI) | 19697 |
| Conjugate | Unconjugated |
| Form | Liquid |
| Purification Method | Antigen affinity Purification |
| UNIPROT ID | Q04207 |
| Storage Buffer | PBS with 0.02% sodium azide and 50% glycerol, pH 7.3. |
| Storage Conditions | Store at -20°C. Stable for one year after shipment. Aliquoting is unnecessary for -20oC storage. 20ul sizes contain 0.1% BSA. |
Background Information
Rela, also known as p65, is one of the most critical and extensively studied members of the nuclear factor κB (NF-κB) transcription factor family. As the core executor of the NF-κB signaling pathway, it typically forms the canonical p65-p50 heterodimer with the p50 subunit. In the resting state, Rela is anchored in the cytoplasm by the IκB inhibitory protein. Once the cell receives external stimuli such as inflammatory cytokines (TNF-α, IL-1), pathogen-associated molecular patterns (PAMPs), or stress signals, the IκB kinase (IKK) complex is activated, leading to the degradation of IκB and the release of Rela/p65. The activated Rela rapidly translocates to the nucleus, initiating the transcription of a large number of target genes that are widely involved in key biological processes such as acute inflammatory responses, cell survival, proliferation, and differentiation. Therefore, Rela serves as the core hub connecting upstream signals with downstream gene expression and plays a crucial role in immune responses, inflammatory diseases, and cancer.
Protocols
| Product Specific Protocols | |
|---|---|
| IF protocol for NF-κB p65 antibody 33259-1-AP | Download protocol |
| IHC protocol for NF-κB p65 antibody 33259-1-AP | Download protocol |
| WB protocol for NF-κB p65 antibody 33259-1-AP | Download protocol |
| Standard Protocols | |
|---|---|
| Click here to view our Standard Protocols |











