Tested Applications
| Positive WB detected in | mouse lung tissue |
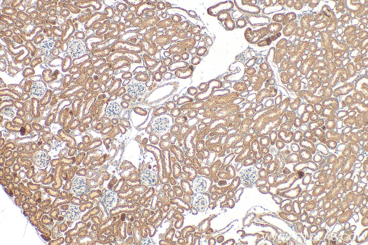
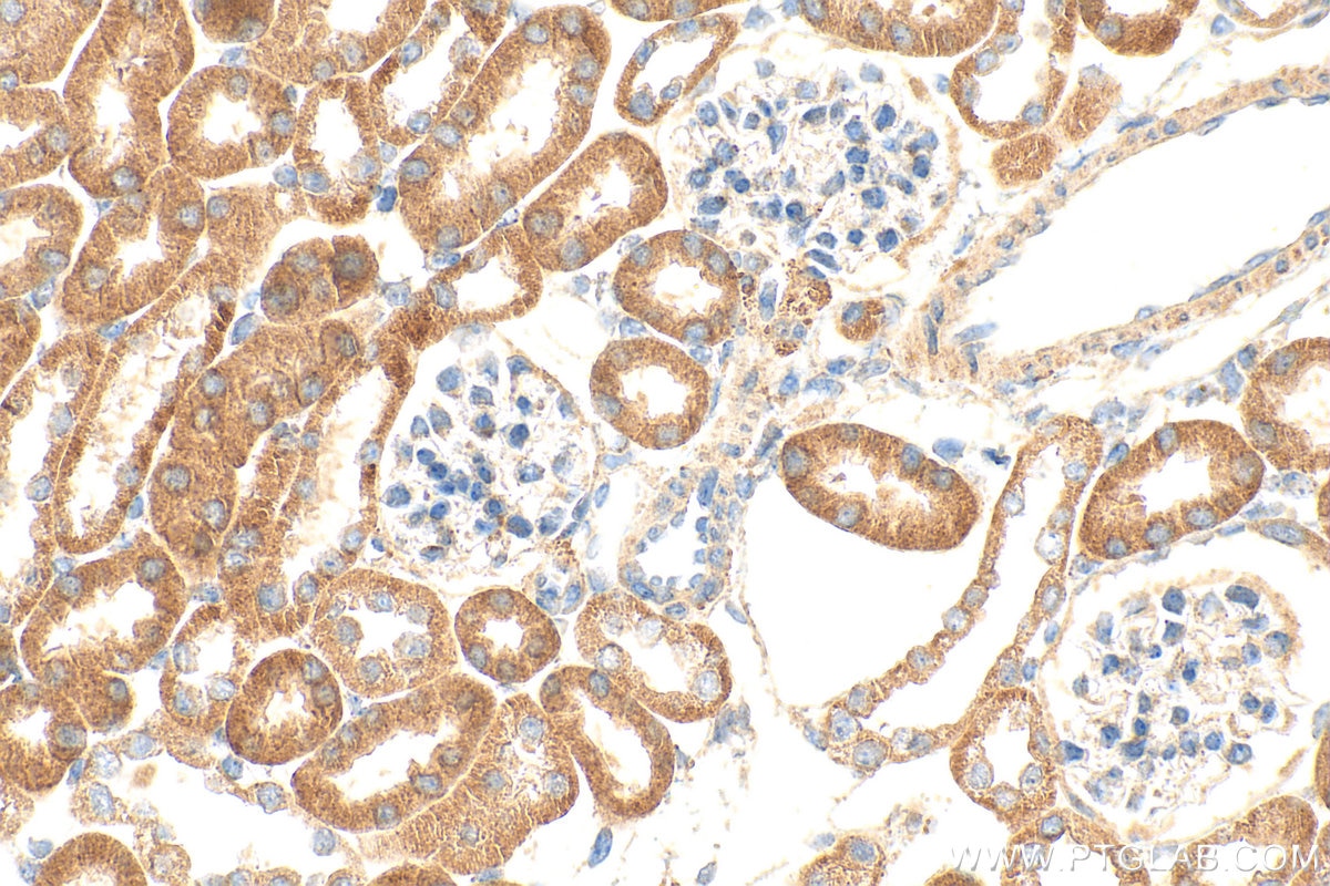
| Positive IHC detected in | human intrahepatic cholangiocarcinoma tissue, human ovary cancer tissue, mouse kidney tissue Note: suggested antigen retrieval with TE buffer pH 9.0; (*) Alternatively, antigen retrieval may be performed with citrate buffer pH 6.0 |
Recommended dilution
| Application | Dilution |
|---|---|
| Western Blot (WB) | WB : 1:500-1:1000 |
| Immunohistochemistry (IHC) | IHC : 1:50-1:500 |
| It is recommended that this reagent should be titrated in each testing system to obtain optimal results. | |
| Sample-dependent, Check data in validation data gallery. | |
Published Applications
| WB | See 4 publications below |
| IF | See 1 publications below |
| ELISA | See 1 publications below |
Product Information
27828-1-AP targets SIGIRR in WB, IHC, IF, ELISA applications and shows reactivity with human, mouse samples.
| Tested Reactivity | human, mouse |
| Cited Reactivity | human, mouse, pig |
| Host / Isotype | Rabbit / IgG |
| Class | Polyclonal |
| Type | Antibody |
| Immunogen |
CatNo: Ag25850 Product name: Recombinant human SIGIRR protein Source: e coli.-derived, PGEX-4T Tag: GST Domain: 1-118 aa of BC025953 Sequence: MPGVCDRAPDFLSPSEDQVLRPALGSSVALNCTAWVVSGPHCSLPSVQWLKDGLPLGIGGHYSLHEYSWVKANLSEVLVSSVLGVNVTSTEVYGAFTCSIQNISFSSFTLQRAGPTSH Predict reactive species |
| Full Name | single immunoglobulin and toll-interleukin 1 receptor (TIR) domain |
| Calculated Molecular Weight | 46 kDa |
| Observed Molecular Weight | 55 kDa |
| GenBank Accession Number | BC025953 |
| Gene Symbol | SIGIRR |
| Gene ID (NCBI) | 59307 |
| RRID | AB_2880984 |
| Conjugate | Unconjugated |
| Form | Liquid |
| Purification Method | Antigen affinity purification |
| UNIPROT ID | Q6IA17 |
| Storage Buffer | PBS with 0.02% sodium azide and 50% glycerol, pH 7.3. |
| Storage Conditions | Store at -20°C. Stable for one year after shipment. Aliquoting is unnecessary for -20oC storage. 20ul sizes contain 0.1% BSA. |
Background Information
SIGIRR (also known as TIR8) is a member of the toll-like receptor (TLR)/interleukin 1 receptor (IL-1R) superfamily, with a single immunoglobulin extracellular domain and a TIR (Toll/IL-1R) intracellular domain. SIGIRR functions as a negative regulator for IL-1 and LPS signaling, through its interaction with the TLR4 and IL-1R complex. SIGIRR is an important modulator of intestinal epithelial homeostasis and a key regulator of mucosal immunity, maintaining microbial tolerance of the intestinal epithelial layer (PMID: 17398123). The molecular weight of the glycosylated SIGIRR was found to be in the range 50-80 kDa (PMID: 10346978; 17495864).
Protocols
| Product Specific Protocols | |
|---|---|
| IHC protocol for SIGIRR antibody 27828-1-AP | Download protocol |
| WB protocol for SIGIRR antibody 27828-1-AP | Download protocol |
| Standard Protocols | |
|---|---|
| Click here to view our Standard Protocols |
Publications
| Species | Application | Title |
|---|---|---|
Viruses Porcine Circovirus Type 2 Induces Single Immunoglobulin Interleukin-1 Related Receptor (SIGIRR) Downregulation to Promote Interleukin-1β Upregulation in Porcine Alveolar Macrophage. | ||
Cell Death Dis IL-37b alleviates endothelial cell apoptosis and inflammation in Kawasaki disease through IL-1R8 pathway. | ||
J Control Release AAV9-delivery of interleukin-37b gene prevents recurrent herpetic stromal keratitis via the SIGIRR pathway in mice | ||
Ital J Pediatr SIGIRR-caspase-8 signaling mediates endothelial apoptosis in Kawasaki disease |













